症例詳細
Case detail
保険治療のプラスチックが劣化し虫歯に。 セラミックでつぎはぎなく治療
治療症例の内容
- 診療科目
- 治療カテゴリ
- 担当医
- 井上季実子(ドクタープロフィール)
- 患者様
- 20代女性
- 治療期間
- 1ヶ月
- 治療回数
- 2-5回
- 治療計画
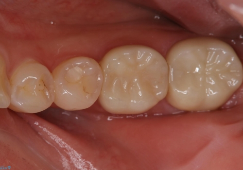
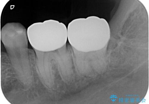
- 奥歯のプラスチックが劣化して二次的に虫歯ができているのを治療しました。
プラスチックがすり減り歯の高さが少ないため、薄くても丈夫なセラミックのかぶせ物(クラウン)を選びました。
本来なら骨外科といって歯周外科手術を行い歯の高さをとることが最適ですが、患者様が外科手術を希望されなかったため、なるべく外れないような形に歯の形を整えるように工夫しました。
外れないようにする工夫はほかにも連結といって2本つなげるという方法がありますが、今回は単冠といってフロスが通るように1本1本分かれた自然な形でかぶせました。
どうしても外れるようなら連結がお勧めですが、今のところ経過は良好です。
- 費用(概算)
- 19.8万円(ヴェレッツァクラウン×2本、仮歯×2本)費用は治療当時の料金となります
治療について
大臼歯にプラスチックで広範囲に治療することは劣化も激しくなり長期的な予後を考えると全くお勧めしない治療です。
こうなった原因の一つである歯ブラシについてはきちんと練習していただき、汚れが落とせるようにセルフケアのアドバイスも併せて行いました。
セラミック治療の注意事項(リスク・副作用など)
- 天然歯を削ります
- 硬い素材は天然歯を傷つけてしまう場合があります
- かみ合わせや歯ぎしりが強すぎる方はセラミックが割れてしまう可能性があります
- 自費診療(保険適用外治療)となります
当サイトの内容、テキスト、画像等の無断転載、複製、複写、盗用を固く禁じます。







