症例詳細
Case detail
1DAYインプラント希望!
- 患者様
- 20代女性
- 治療期間
- 3ヶ月
- 治療回数
- 2-5回
- 治療計画
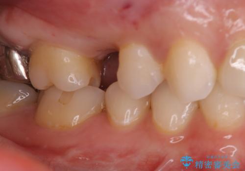
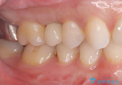
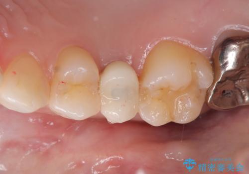
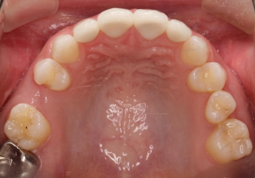
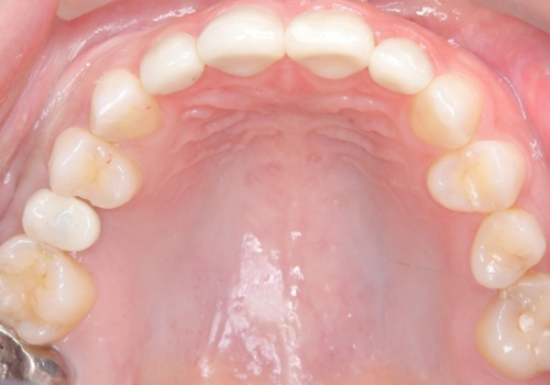
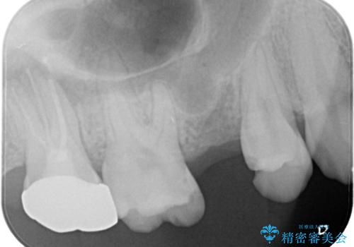
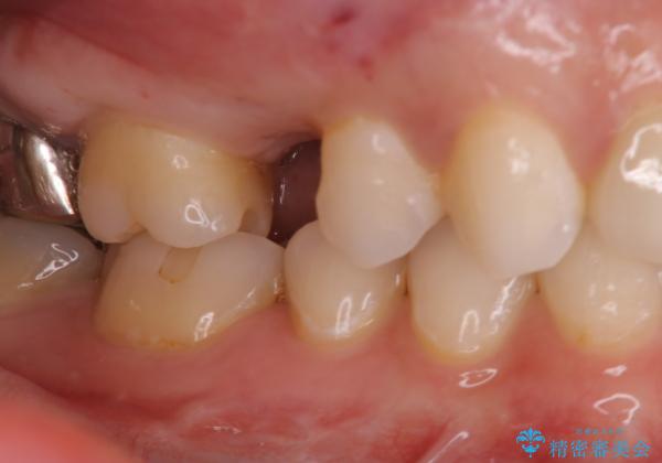
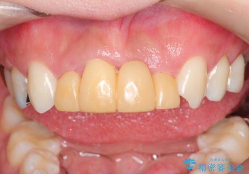
- 数年前に他医院で抜歯したままで過ごし、今回歯を入れたいとのことで来院された患者様です。
治療回数を短くしたいと1DAYインプラントを希望されました。
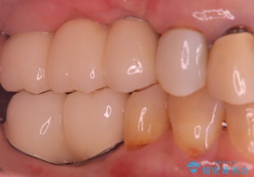
インプラント埋入手術は1回で全て行い、2ヶ月後にはセラミック治療で、審美回復と機能回復をしました。
- 費用(概算)
- 506,000円費用は治療当時の料金となります
治療について
来院回数が少なく、しっかり食事もできるとの事で非常に喜んで頂けました。
インプラント治療の注意事項(リスク・副作用など)
- 外科手術のため、術後に痛みや腫れ、違和感を伴います
- メンテナンスを怠ったり喫煙により、お口の中に大きな悪影響を及ぼすインプラント周囲炎等にかかる可能性があります
- 糖尿病、肝硬変、心臓病等の場合、インプラント治療ができない可能性があります
- 高血圧、貧血・不整脈等の場合、インプラント治療後に治癒不全を招く可能性があります
- 自費診療(保険適用外治療)となります
セラミック治療の注意事項(リスク・副作用など)
- 天然歯を削ります
- 硬い素材は天然歯を傷つけてしまう場合があります
- かみ合わせや歯ぎしりが強すぎる方はセラミックが割れてしまう可能性があります
- 自費診療(保険適用外治療)となります
当サイトの内容、テキスト、画像等の無断転載、複製、複写、盗用を固く禁じます。










