症例詳細
Case detail
奥歯で食事をしたい インプラントとノンクラスプデンチャーによる治療
- 患者様
- 60代男性
- 治療期間
- 1年6ヶ月
- 治療回数
- 5-10回
- 治療計画
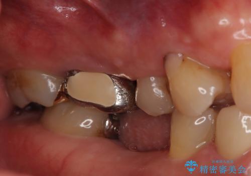
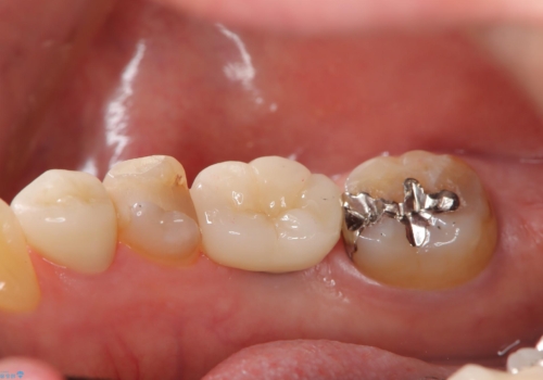
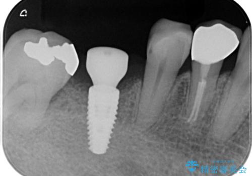
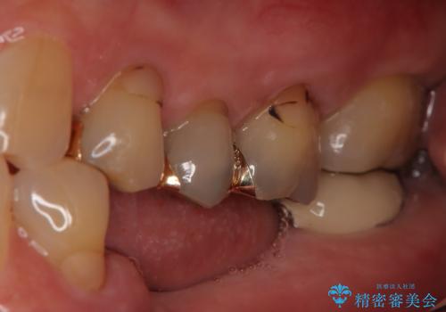
- 定期的に本院に通院されている患者様で、前歯の揺れがあると相談されました。下の奥歯が左右合わせて3本喪失されており、噛み合わせの負担が前歯にも集中していることを説明しました。右下6番の歯に関しては、事前の診査で十分な骨量がありましたのでインプラントを1本埋入しました。左下5番・6番にも本来はインプラントを埋入したかったのですが、骨量が十分でなく、骨を増やす処置をすると神経が近くリスクがあることから、審美性に配慮した金属のばねが見えないノンクラスプデンチャーを製作しました。また、このとき入れ歯を支える左下7番に根尖病変がありましたので、根管治療も行っております。(根管治療は当院院長で専門医を持つDr.林が担当しています。)治療終了後、約1年が経過しましたが、問題なく経過しており患者様も喜ばれていました。
- 費用(概算)
- 902,000円(税込)費用は治療当時の料金となります
インプラント治療について
歯を失った場合、主に以下の4つの方法がとられます。
1 インプラント
2 ブリッジ
3 入れ歯
4 何もせず放置
上記4つのうち、最も自分の歯に使用感が近いといわれるのがインプラントです。しかし、インプラントを口腔内に埋入した後も、自分の歯と同様にメンテナンスが必要になります。
インプラント治療の注意事項(リスク・副作用など)
- 外科手術のため、術後に痛みや腫れ、違和感を伴います
- メンテナンスを怠ったり喫煙により、お口の中に大きな悪影響を及ぼすインプラント周囲炎等にかかる可能性があります
- 糖尿病、肝硬変、心臓病等の場合、インプラント治療ができない可能性があります
- 高血圧、貧血・不整脈等の場合、インプラント治療後に治癒不全を招く可能性があります
- 自費診療(保険適用外治療)となります
入れ歯の注意事項(リスク・副作用など)
- ブリッジやインプラントと比較して、色が合いづらい、見た目の違和感があります
- ブリッジやインプラントと比較して、話しにくい、舌が当たる等の違和感があります
- 慣れるまで微調整で何度か通って頂くことがあります
- 就寝時や食後に毎回取り外して、清掃する必要があります
- 自費診療(保険適用外)となります
当サイトの内容、テキスト、画像等の無断転載、複製、複写、盗用を固く禁じます。













