症例詳細
Case detail
インビザライン矯正 過去に矯正治療したが、また前歯にがたつきがでてきて治したい
治療症例の内容
- 患者様
- 20代男性
- 矯正装置
- インビザライン
- 治療期間
- 7ヶ月
- 治療回数
- 5-10回
- 治療計画
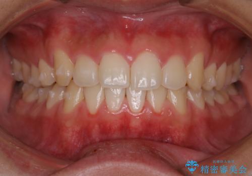
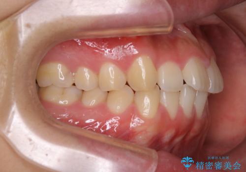
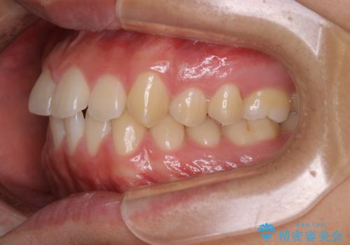
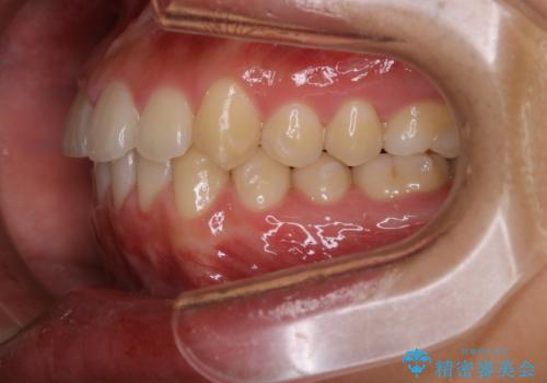
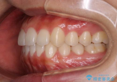
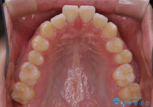
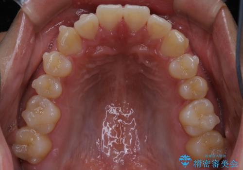
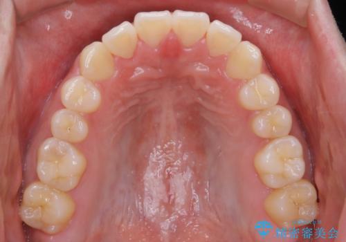
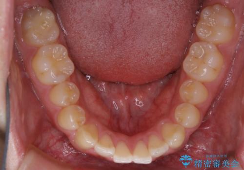
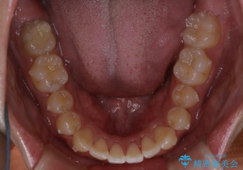
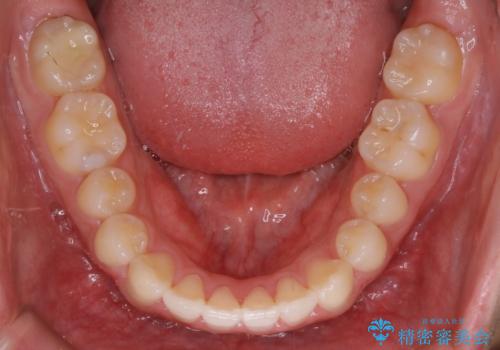
- 過去に矯正治療を受けていたが、再度前歯のがたつきが出てきたことを気にされて来院されました。
奥歯の咬み合わせは、特に問題がなかったため、前歯のがたつきをとる治療計画としました。
がたつきの程度が軽度だったので、歯の側面を削ることをメインとし、歯のかだつきを改善しました。
- 費用(概算)
- 45万円費用は治療当時の料金となります
治療について
今回、奥歯のかみ合わせに問題がなく、前歯のがたつきのみの対応だったため、インビザライン ライトというものを使用しました。インビザライン ライトは歯を動かせる枚数が、最大14枚までと制限があります。お口の中の状態をよく精査し、どの種類のインビザラインを使用するかを判断しています。
マウスピース矯正の注意事項(リスク・副作用など)
- 口腔内・歯並びの状態によっては対応できない場合があります
- マウスピース型矯正装置の長時間装着(1日20時間以上)が必須です
- 治療計画通りに進めるためには、患者様の意志が重要になります
- 矯正治療後の保定が不十分だと後戻り(元の位置に戻ろうとする動き)をします
- 薬機法対象外の矯正歯科装置のため医薬品副作用被害救済制度の対象外となる場合があります
- 自費診療(保険適用外)となります
当サイトの内容、テキスト、画像等の無断転載、複製、複写、盗用を固く禁じます。















