症例詳細
Case detail
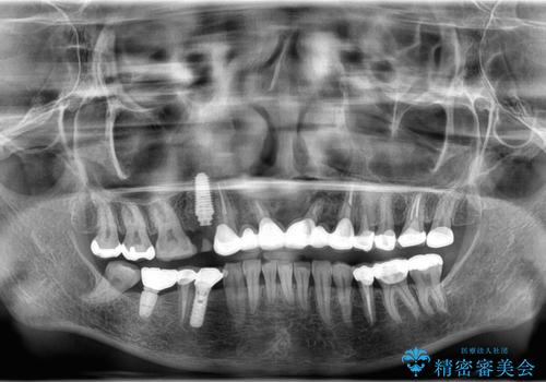
歯が折れている(1DAY インプラント)
- 患者様
- 50代女性
- 治療期間
- 3ヶ月
- 治療回数
- 2-5回
- 治療計画
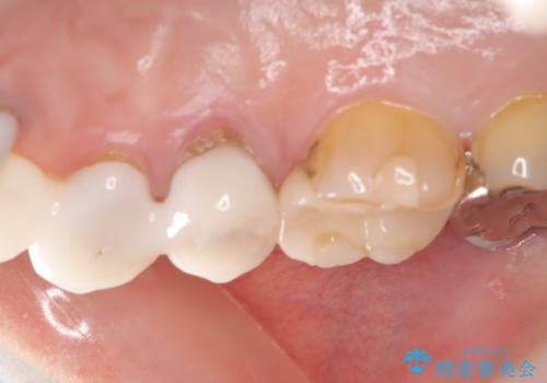
- 右上の歯に異和感があるとの事で来院した患者様です。
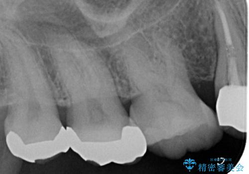
検査の結果、歯根破折が認められたため、抜歯即時インプラント(1DAYインプラント)を行いました。
- 費用(概算)
- 550,000円費用は治療当時の料金となります
治療について
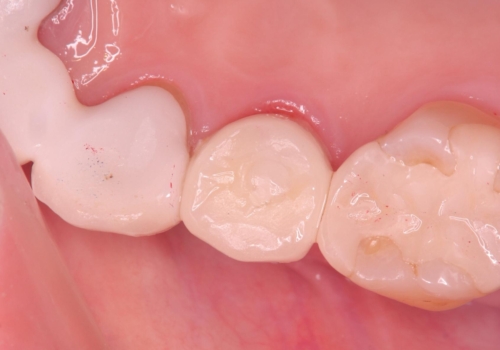
1日で抜歯、インプラント埋入、骨補填材を填入し仮歯【1DAYインプラント】までを数時間で行いました。
術後もほとんど痛みがなく経過も良好です。
3ヶ月後には、オールセラミック治療も終わり、短期間治療の為とても楽でしたと喜んでいただけました。
セラミック治療の注意事項(リスク・副作用など)
- 天然歯を削ります
- 硬い素材は天然歯を傷つけてしまう場合があります
- かみ合わせや歯ぎしりが強すぎる方はセラミックが割れてしまう可能性があります
- 自費診療(保険適用外治療)となります
インプラント治療の注意事項(リスク・副作用など)
- 外科手術のため、術後に痛みや腫れ、違和感を伴います
- メンテナンスを怠ったり喫煙により、お口の中に大きな悪影響を及ぼすインプラント周囲炎等にかかる可能性があります
- 糖尿病、肝硬変、心臓病等の場合、インプラント治療ができない可能性があります
- 高血圧、貧血・不整脈等の場合、インプラント治療後に治癒不全を招く可能性があります
- 自費診療(保険適用外治療)となります
当サイトの内容、テキスト、画像等の無断転載、複製、複写、盗用を固く禁じます。










