症例詳細
Case detail
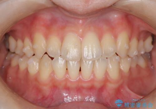
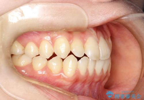
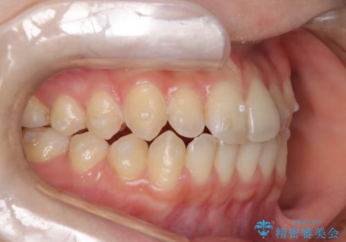
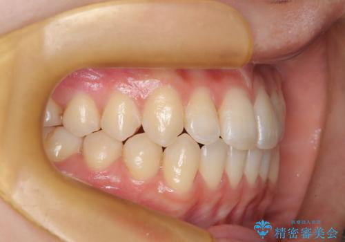
前歯のガタつき、下顎の前突感を治したい インビザライン矯正例
治療症例の内容
- 診療科目
- 担当医
- 高悠莉(ドクタープロフィール)
- 患者様
- 20代女性
- 矯正装置
- インビザライン
- 治療期間
- 11ヶ月
- 治療回数
- 5-10回
- 治療計画
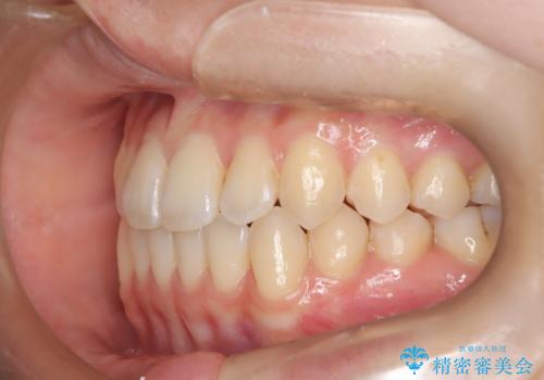
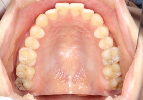
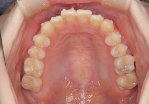
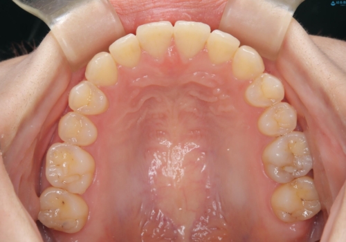
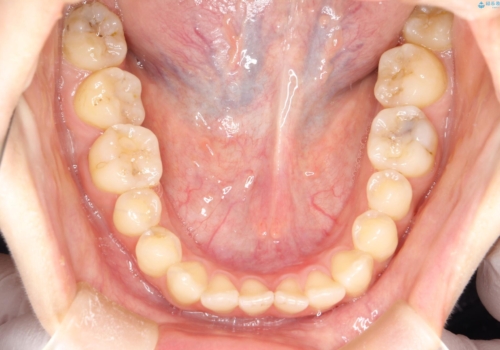
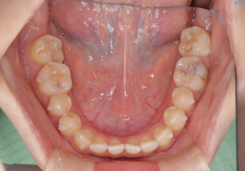
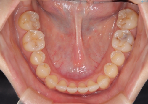
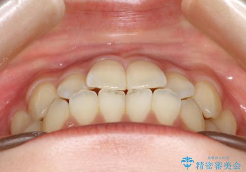
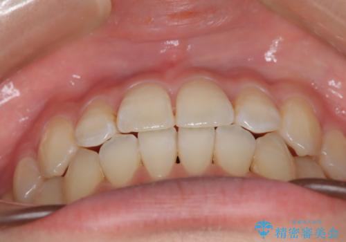
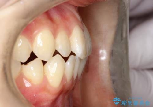
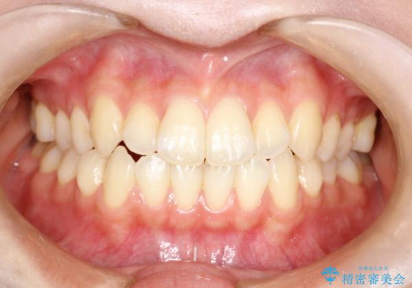
- 学生時代に矯正治療を経験されていましたが、その後の後戻りによる前歯の叢生・下顎の前突感を主訴に来院されました。叢生や口元の突出感が軽度であった為、非抜歯にて側方拡大やIPRを組み込んでインビザラインにて治療を計画しました。前歯部にクロスバイトがあり、治療途中に上顎前歯が下顎前歯を乗り越えなければならない時期もありましたが、患者様の協力的なマウスピース装着もあり、良好な配列を達成しました。上下左右の親知らずは、当院にて矯正開始前に抜歯しました。
- 費用(概算)
- 660,000円(税込)費用は治療当時の料金となります
IPRについて
歯を配列する為のスペース作りとして、抜歯や遠心移動、側方拡大の他によく用いられる手段がIPRです。簡単に説明すると、研磨用のバーにて歯と歯の間に隙間を作る行為です。歯牙の形態を考慮しながら行います。IPRの直後は部分的に食事の際食渣が詰まりやすいですが、矯正が終了してスペースが閉鎖すればこれは解消されます。
マウスピース矯正の注意事項(リスク・副作用など)
- 口腔内・歯並びの状態によっては対応できない場合があります
- マウスピース型矯正装置の長時間装着(1日20時間以上)が必須です
- 治療計画通りに進めるためには、患者様の意志が重要になります
- 矯正治療後の保定が不十分だと後戻り(元の位置に戻ろうとする動き)をします
- 薬機法対象外の矯正歯科装置のため医薬品副作用被害救済制度の対象外となる場合があります
- 自費診療(保険適用外)となります
当サイトの内容、テキスト、画像等の無断転載、複製、複写、盗用を固く禁じます。



















