症例詳細
Case detail
八重歯 インビザラインで抜歯矯正 ただし1本のみの抜歯で済みます
治療症例の内容
- 診療科目
- 担当医
- 井上季実子(ドクタープロフィール)
- 患者様
- 20代女性
- 矯正装置
- インビザライン
- 治療期間
- 2年4ヶ月
- 治療回数
- 30回以上
- 治療計画
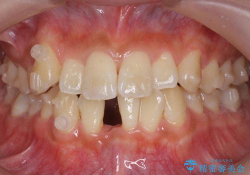
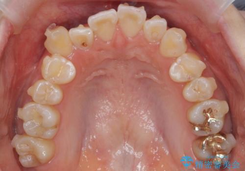
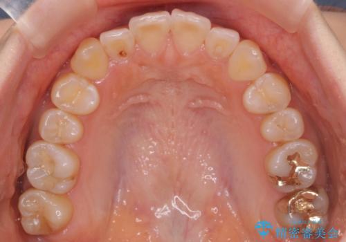
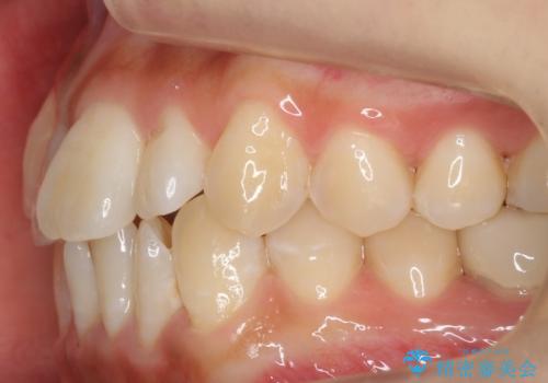
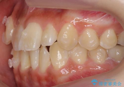
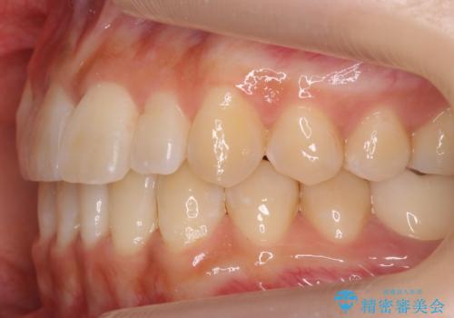
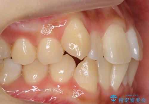
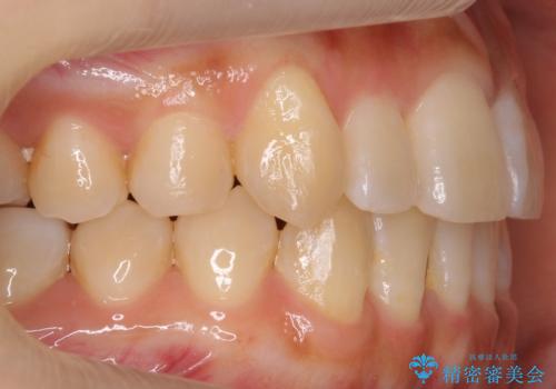
- 八重歯を治したいと来院。
古典的な治し方ですと上下左右4本抜歯してワイヤー矯正です。
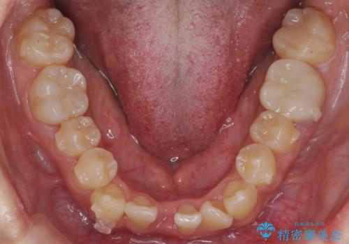
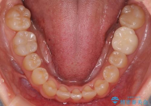
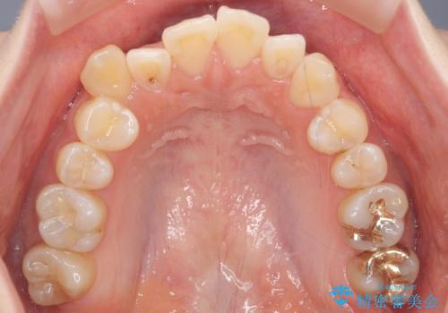
今回は口元も出ていないうえに、右上のみの八重歯のため奥歯を後ろに下げて治療しました。
ただし、下の前歯は入りきらない為1本のみ抜歯しています。
- 費用(概算)
- 104.5万円費用は治療当時の料金となります
治療について
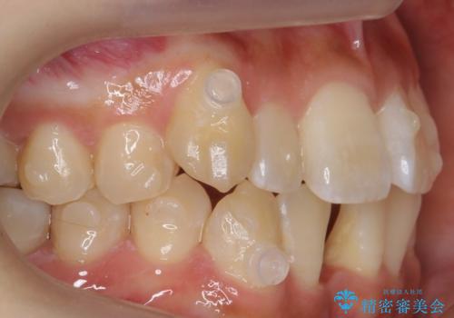
右上の犬歯をおろしてくるのに、顎間ゴムを使用しています。
マウスピース矯正の注意事項(リスク・副作用など)
- 口腔内・歯並びの状態によっては対応できない場合があります
- マウスピース型矯正装置の長時間装着(1日20時間以上)が必須です
- 治療計画通りに進めるためには、患者様の意志が重要になります
- 矯正治療後の保定が不十分だと後戻り(元の位置に戻ろうとする動き)をします
- 薬機法対象外の矯正歯科装置のため医薬品副作用被害救済制度の対象外となる場合があります
- 自費診療(保険適用外)となります
当サイトの内容、テキスト、画像等の無断転載、複製、複写、盗用を固く禁じます。



















