症例詳細
Case detail
前歯の並び モニター治療で
治療症例の内容
- 患者様
- 20代女性
- 矯正装置
- インビザライン
- 治療期間
- 1年9ヶ月
- 治療回数
- 30回以上
- 治療計画
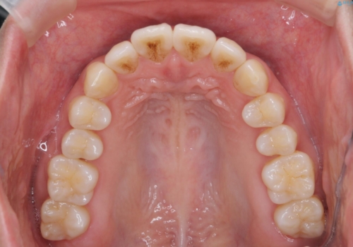
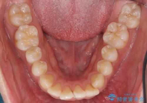
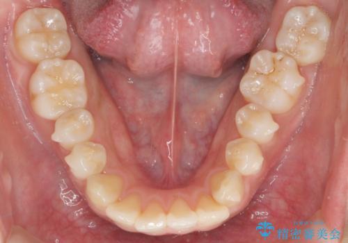
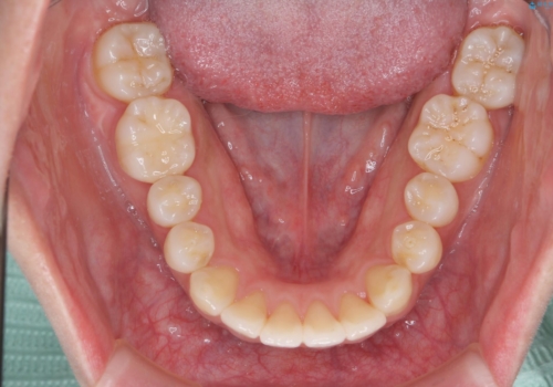
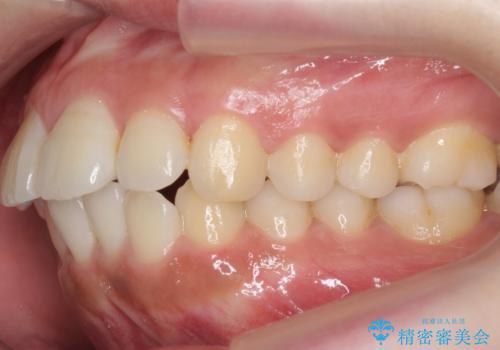
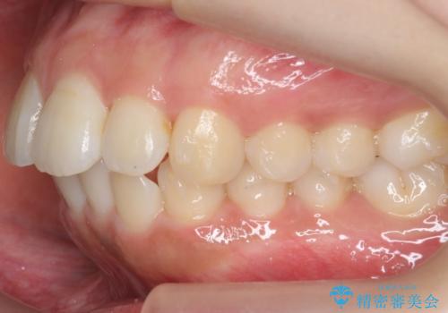
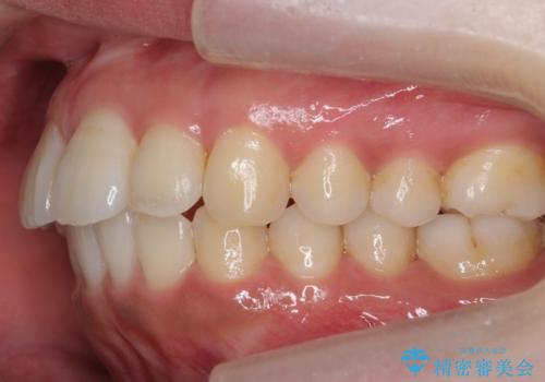
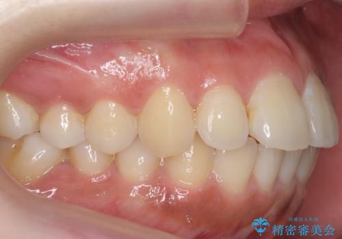
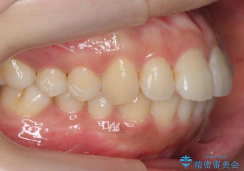
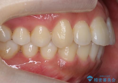
- 前歯の並びと前歯を下げたいとのことで来院。
歯を少し削りながら歯列を拡大、後ろに若干下げる治療を行いました。
軽症だったため、モニター治療を行っています。
- 費用(概算)
- 66万円費用は治療当時の料金となります
※顔写真掲載にあたり、患者様の了解を得ております
治療について
上の前歯2本と両脇の歯に段差があるとどうしても前に出て見えます。また、歯列弓といって歯並びの形がとがっていると余計出っ歯に見えてしまうことがあります。
歯を抜くまで行わなくても、これらを行うことでカモフラージュすることが可能です。
途中ご来院が途絶えたため治療期間は若干長くなっています。
マウスピース矯正の注意事項(リスク・副作用など)
- 口腔内・歯並びの状態によっては対応できない場合があります
- マウスピース型矯正装置の長時間装着(1日20時間以上)が必須です
- 治療計画通りに進めるためには、患者様の意志が重要になります
- 矯正治療後の保定が不十分だと後戻り(元の位置に戻ろうとする動き)をします
- 薬機法対象外の矯正歯科装置のため医薬品副作用被害救済制度の対象外となる場合があります
- 自費診療(保険適用外)となります
当サイトの内容、テキスト、画像等の無断転載、複製、複写、盗用を固く禁じます。

















