症例詳細
Case detail
前歯と奥歯の反対咬合 部分ワイヤーとインビザラインで
治療症例の内容
- 患者様
- 30代女性
- 矯正装置
- インビザライン
- 治療期間
- 1年9ヶ月
- 治療回数
- 30回以上
- 治療計画
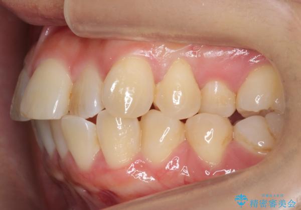
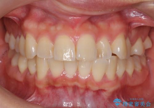
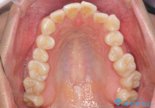
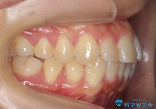
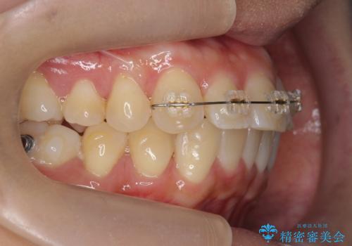
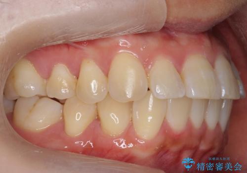
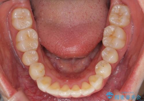
- 前歯の並びを気にして来院。
 左上の前歯が内側に入って反対咬合になっていました。
 また、左上5番も反対咬合でした。
 
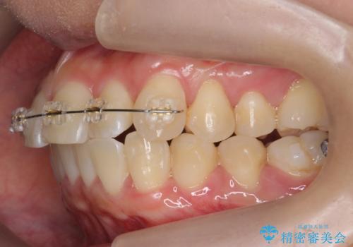
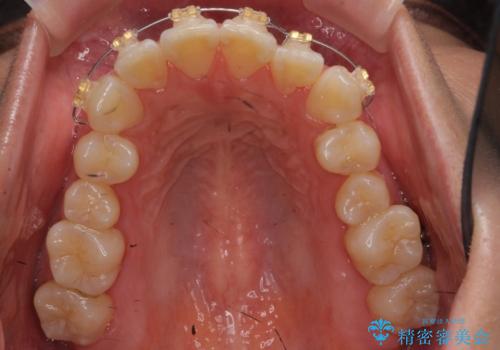
 上のワイヤー矯正を半年ほど行い反対咬合を改善してから、上下インビザライン治療を行いました。
- 費用(概算)
- 93.5万円費用は治療当時の料金となります
治療について
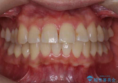
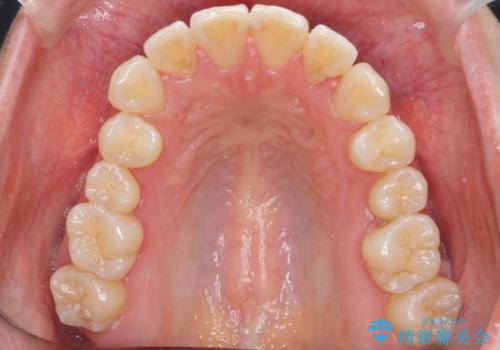
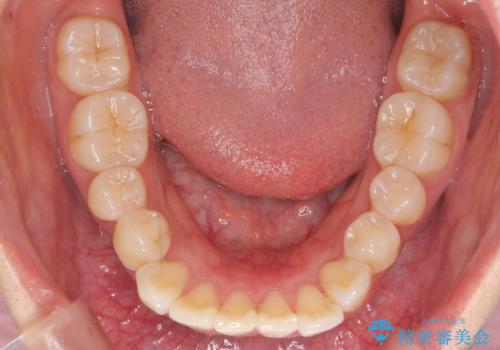
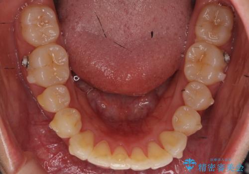
下の前歯を中に入れるためにIPR(歯をわずかに削る処置)を行いました。
左上の反対咬合になっていた歯の頬側咬頭は、すでに削れて短くなっていましたがそのまま並べています。
マウスピース矯正の注意事項(リスク・副作用など)
- 口腔内・歯並びの状態によっては対応できない場合があります
- マウスピース型矯正装置の長時間装着(1日20時間以上)が必須です
- 治療計画通りに進めるためには、患者様の意志が重要になります
- 矯正治療後の保定が不十分だと後戻り(元の位置に戻ろうとする動き)をします
- 薬機法対象外の矯正歯科装置のため医薬品副作用被害救済制度の対象外となる場合があります
- 自費診療(保険適用外)となります
ワイヤー矯正の注意事項(リスク・副作用など)
- 治療中は違和感や痛みが起こることがあります
- 症状により、抜歯が必要な場合があります
- 治療中は歯磨きがしにくくなるため、虫歯や歯周病になりやすくなります
- 矯正治療後の保定が不十分だと後戻り(元の位置に戻ろうとする動き)をします
- 自費診療(保険適用外)となります
当サイトの内容、テキスト、画像等の無断転載、複製、複写、盗用を固く禁じます。








 
                       
                                                          
















 
                   
                   
                  