症例詳細
Case detail
前歯が反対にかんでいる 部分ワイヤーとインビザラインの併用で短期治療
治療症例の内容
- 診療科目
- 担当医
- 井上季実子(ドクタープロフィール)
- 患者様
- 30代男性
- 矯正装置
- インビザライン
- 治療期間
- 11ヶ月
- 治療回数
- 10-30回
- 治療計画
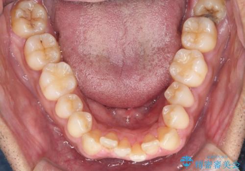
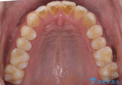
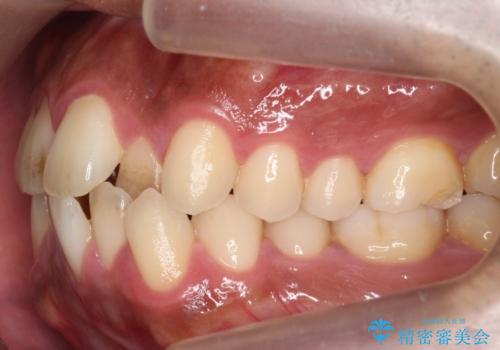
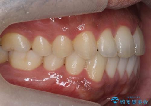
- 前歯の並びを気にして来院。
前歯が一本奥に入っているのを乗り越えるにはワイヤー矯正が治療期間も短く、歯に負担が少なく有利と説明しました。
- 費用(概算)
- 60.5万円費用は治療当時の料金となります
治療について
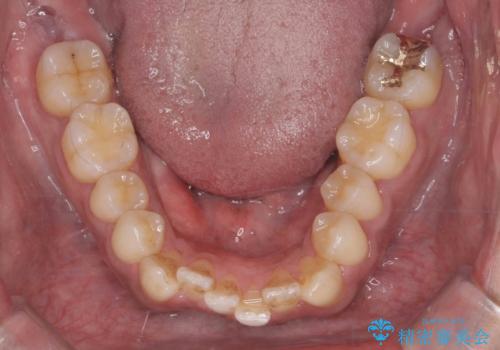
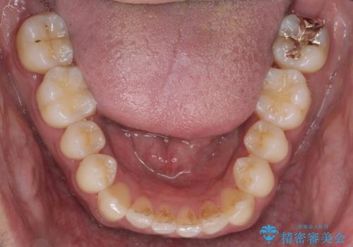
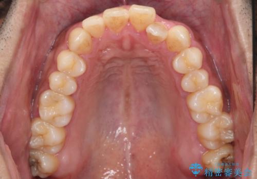
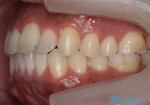
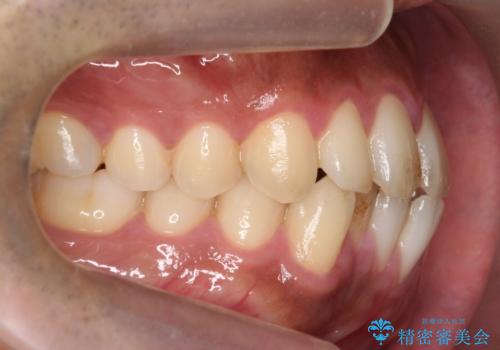
上はワイヤー部分矯正、下はインビザラインの部分矯正コースを行いました。
インビザラインだけでも治療は可能ではあると思いますが、ライトパッケージでは難しいと思います。
また、入れ替えを行う間左上の前歯だけで咬まなくてはならない状況になるため、マウスピース矯正単独で行うと時間がかかり、最悪神経が失活することもありますのでワイヤーがお勧めです。
マウスピース矯正の注意事項(リスク・副作用など)
- 口腔内・歯並びの状態によっては対応できない場合があります
- マウスピース型矯正装置の長時間装着(1日20時間以上)が必須です
- 治療計画通りに進めるためには、患者様の意志が重要になります
- 矯正治療後の保定が不十分だと後戻り(元の位置に戻ろうとする動き)をします
- 薬機法対象外の矯正歯科装置のため医薬品副作用被害救済制度の対象外となる場合があります
- 自費診療(保険適用外)となります
ワイヤー矯正の注意事項(リスク・副作用など)
- 治療中は違和感や痛みが起こることがあります
- 症状により、抜歯が必要な場合があります
- 治療中は歯磨きがしにくくなるため、虫歯や歯周病になりやすくなります
- 矯正治療後の保定が不十分だと後戻り(元の位置に戻ろうとする動き)をします
- 自費診療(保険適用外)となります
当サイトの内容、テキスト、画像等の無断転載、複製、複写、盗用を固く禁じます。

















