症例詳細
Case detail
【セラミックインレー】銀の詰め物を白くしたい
治療症例の内容
- 診療科目
- 治療カテゴリ
- 担当医
- 町田睦月(ドクタープロフィール)
- 患者様
- 30代女性
- 治療期間
- 1年1ヶ月
- 治療回数
- 2-5回
- 治療計画
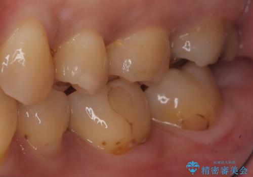
- 主訴:左上の銀の詰め物、笑うと見えそうで気になるので白くしたい。
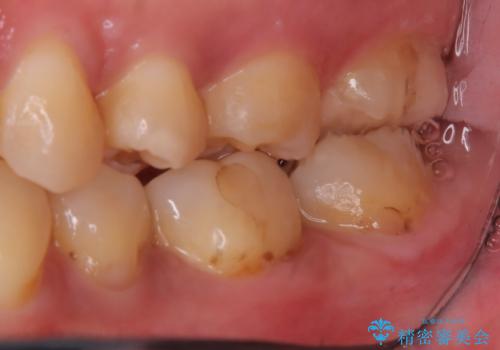
保険適応のメタルインレーが入っていたため、適合性・審美性の良いセラミックインレーでのやり替えとなりました。
- 費用(概算)
- 77,000円費用は治療当時の料金となります
治療について
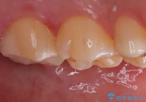
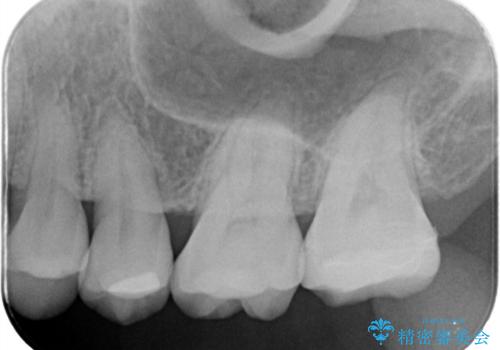
保険適用のメタルインレーを除去したところ、歯質との境目部分にカリエスを認めたため、カリエス除去しCR裏層の後、セラミックインレーを形成しました。
セラミック治療の注意事項(リスク・副作用など)
- 天然歯を削ります
- 硬い素材は天然歯を傷つけてしまう場合があります
- かみ合わせや歯ぎしりが強すぎる方はセラミックが割れてしまう可能性があります
- 自費診療(保険適用外治療)となります
当サイトの内容、テキスト、画像等の無断転載、複製、複写、盗用を固く禁じます。








