症例詳細
Case detail
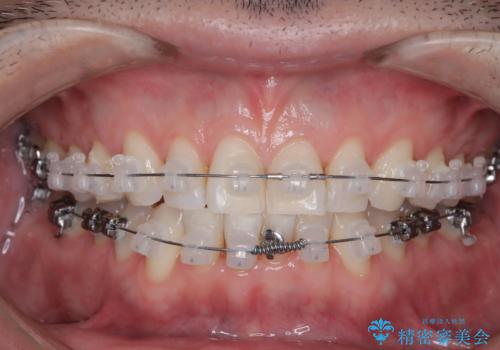
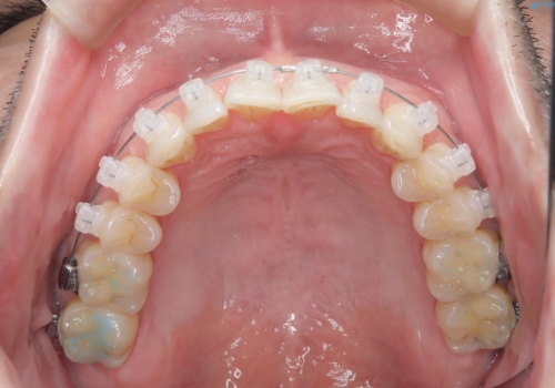
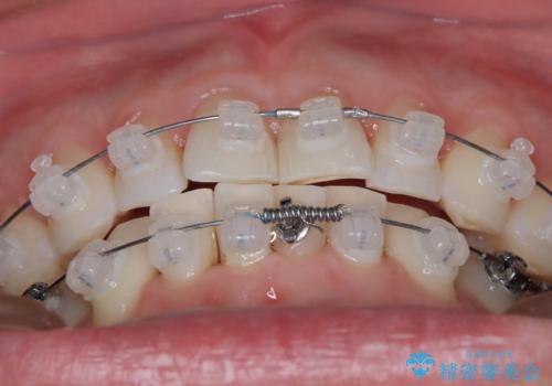
定期健診で歯並びを相談 セラミックブラケットでのワイヤー矯正例
治療症例の内容
- 診療科目
- 担当医
- 高悠莉(ドクタープロフィール)
- 患者様
- 40代男性
- 矯正装置
- インシグニア デイモンクリア
- 治療期間
- 2年
- 治療回数
- 10-30回
- 治療計画
- 定期健診の際に、下顎前歯のガタつきが年々悪化しているとの相談を患者様より頂戴しました。下顎前歯の叢生(ガタつき)程度や患者様の希望もあり、非抜歯でも無理のない範囲と考えワイヤー矯正にて治療計画を立案しました。着色の少ないセラミックブラケットを使用しています。
- 費用(概算)
- 935,000円(税込)費用は治療当時の料金となります
年々、歯のガタつきの程度が大きくなっていく理由について
日常生活において歯は1本ずつ独立した動きをします。コンタクト部分(隣の歯と触れ合っている接触点のこと)が擦り減っていくことで、一般に歯は少しずつ前歯の方に傾斜していきます。要因は様々ですが、このことにより特に前歯において叢生(ガタつき)の程度が大きくなっていくことが考えられます。他にも、歯周組織の状態も歯の配列に大きな影響を与えます。ワイヤー矯正中はブラッシングの難易度が上がりますが、磨きにくい部分は毎回診療中に患者様と一緒に鏡を見ながら確認しました。
ワイヤー矯正の注意事項(リスク・副作用など)
- 治療中は違和感や痛みが起こることがあります
- 症状により、抜歯が必要な場合があります
- 治療中は歯磨きがしにくくなるため、虫歯や歯周病になりやすくなります
- 矯正治療後の保定が不十分だと後戻り(元の位置に戻ろうとする動き)をします
- 自費診療(保険適用外)となります
当サイトの内容、テキスト、画像等の無断転載、複製、複写、盗用を固く禁じます。





















