症例詳細
Case detail
ワイヤー矯正で確実にガタつきを治したい セラミックブラケットによる治療
治療症例の内容
- 診療科目
- 担当医
- 高悠莉(ドクタープロフィール)
- 患者様
- 20代女性
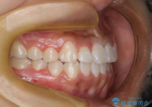
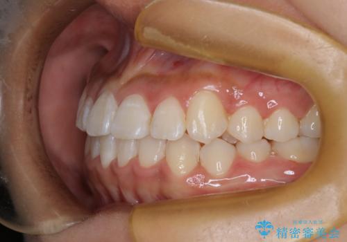
- 矯正装置
- インシグニア デイモンクリア
- 治療期間
- 10ヶ月
- 治療回数
- 10-30回
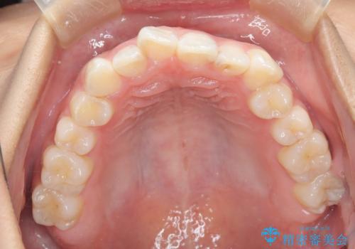
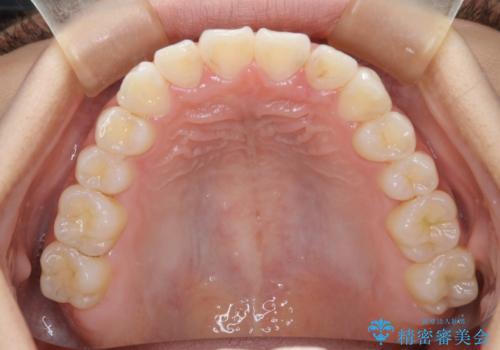
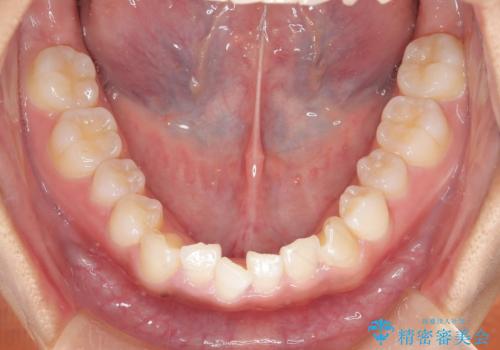
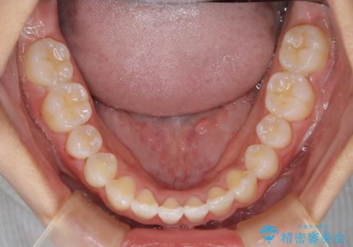
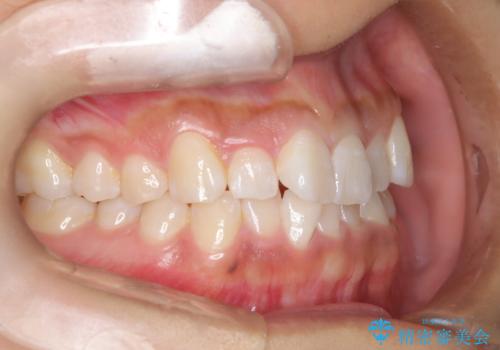
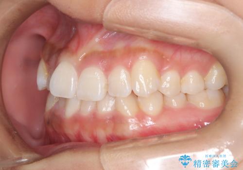
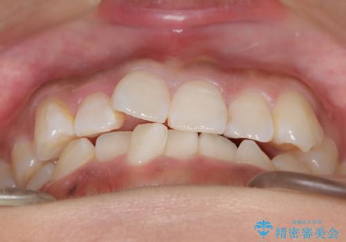
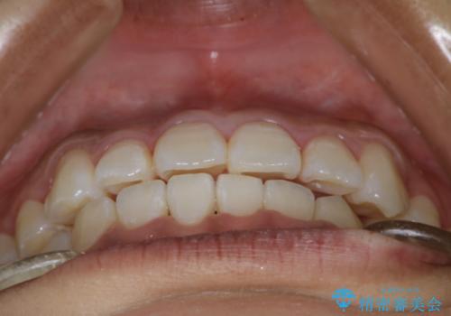
- 治療計画
- 前歯の叢生(がたつき)を主訴に来院された患者様です。以前マウスピース矯正をされていたそうでしたが、自身での継続が難しいことなどを理由に、ワイヤー矯正にて改めて矯正治療を希望されました。非抜歯にて治療を計画し治療を行いました。
- 費用(概算)
- 935,000円(税込)費用は治療当時の料金となります
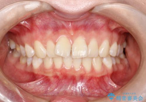
治療について
歯の動きが良く、スムーズに治療を終了しました。一般的にワイヤー矯正はブラッシングが難しいのですが、毎回一生懸命セルフケアをされていたのが印象的です。治療においては、歯の衛生状態も一緒にチェック致します。
ワイヤー矯正の注意事項(リスク・副作用など)
- 治療中は違和感や痛みが起こることがあります
- 症状により、抜歯が必要な場合があります
- 治療中は歯磨きがしにくくなるため、虫歯や歯周病になりやすくなります
- 矯正治療後の保定が不十分だと後戻り(元の位置に戻ろうとする動き)をします
- 自費診療(保険適用外)となります
当サイトの内容、テキスト、画像等の無断転載、複製、複写、盗用を固く禁じます。


















