症例詳細
Case detail
【根管治療】物が当たるだけで痛い
治療症例の内容
- 患者様
- 30代男性
- 治療期間
- 2ヶ月
- 治療回数
- 2-5回
- 治療計画
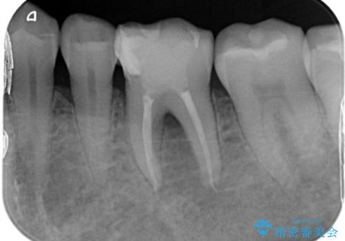
- 1ヶ月前から急に物が当たるだけでも痛いとの事で来院した患者様です。
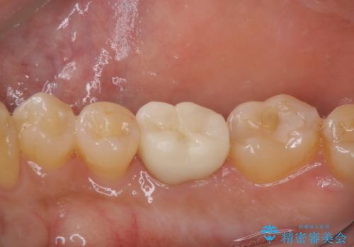
精密根管治療とオールセラミックで補綴治療を行いました
- 費用(概算)
- 275,000円費用は治療当時の料金となります
治療について
精密根管治療で痛みはすぐに消退しました。
数ヶ月後には根分岐部の病変もなくなっていました。
セラミック治療の注意事項(リスク・副作用など)
- 天然歯を削ります
- 硬い素材は天然歯を傷つけてしまう場合があります
- かみ合わせや歯ぎしりが強すぎる方はセラミックが割れてしまう可能性があります
- 自費診療(保険適用外治療)となります
根管治療の注意事項(リスク・副作用など)
- 根管治療により類似の全ての症例の問題が解決するわけではなく、症例はあくまでも一例です
- 根管治療により痛みや腫れがひかない事や、術後に痛みや腫れが生じる事、治療によるファイル破折やパーフォレーションなどの偶発症、術後の歯根破折を生じる可能性もあります
- 自費診療(保険適用外)となります
当サイトの内容、テキスト、画像等の無断転載、複製、複写、盗用を固く禁じます。





