症例詳細
Case detail
歯の形が気になる セラミックでキレイな歯に!
治療症例の内容
- 診療科目
- 担当医
- 榊原康平(ドクタープロフィール)
- 患者様
- 20代女性
- 治療期間
- 1ヶ月
- 治療回数
- 2-5回
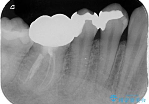
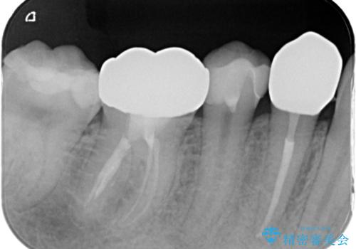
- 治療計画
- 右下が痛くて噛めないとの理由で来院された患者様です。レントゲン撮影、歯髄の診断等から、根管治療、歯髄保存療法が必要と判断し、治療後に丈夫で審美性に優れたセラミックインレー、フルジルコニアクラウンを被せました。
- 費用(概算)
- 165,000円費用は治療当時の料金となります
治療について
治療後は痛みもなくなり、経過も良好でキレイな被せ物にも満足いただけました。
セラミック治療の注意事項(リスク・副作用など)
- 天然歯を削ります
- 硬い素材は天然歯を傷つけてしまう場合があります
- かみ合わせや歯ぎしりが強すぎる方はセラミックが割れてしまう可能性があります
- 自費診療(保険適用外治療)となります
当サイトの内容、テキスト、画像等の無断転載、複製、複写、盗用を固く禁じます。







