症例詳細
Case detail
前歯のすき間、犬歯の異所萌出 乳歯を抜かずに矯正
治療症例の内容
- 診療科目
- 担当医
- 井上季実子(ドクタープロフィール)
- 患者様
- 30代男性
- 矯正装置
- インビザライン
- 治療期間
- 9ヶ月
- 治療回数
- 10-30回
- 治療計画
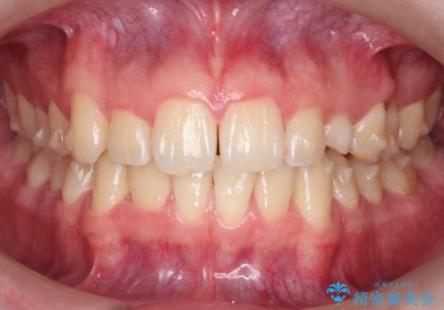
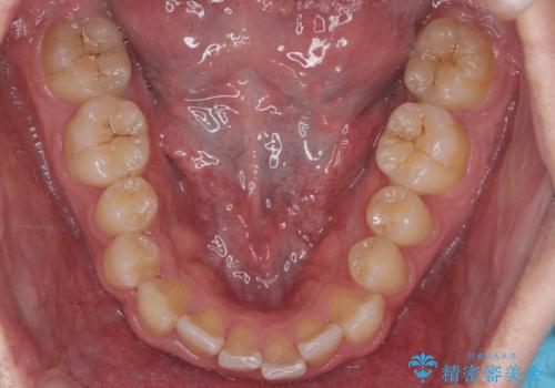
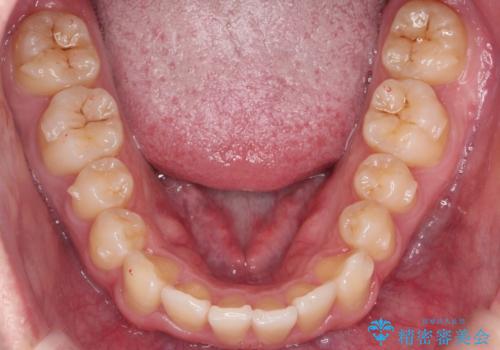
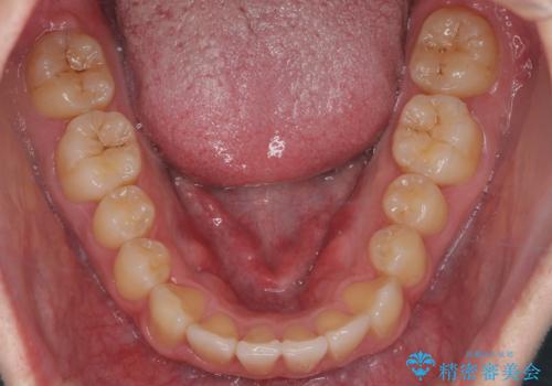
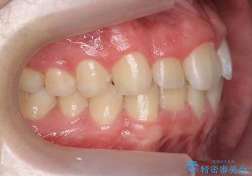
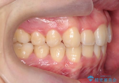
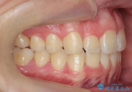
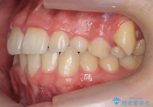
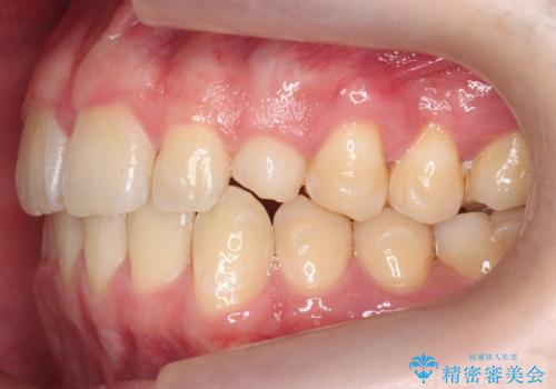
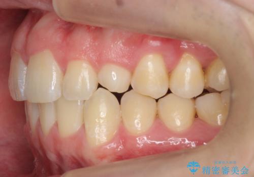
- 前歯のすきまと八重歯を主訴に来院。
左上の乳犬歯が残っており、その下から生えてくるはずの犬歯(永久歯)が左上小臼歯部に萌出していました。
左上の乳犬歯は根もしっかりしていたため、
➀そのまま矯正する。乳歯がいずれダメになったときにそこはブリッジかインプラントを検討する
②乳歯は抜歯し、ブリッジかインプラントを矯正後に入れる
を提案し、➀を選択されました。
- 費用(概算)
- 82.5万円費用は治療当時の料金となります
治療について
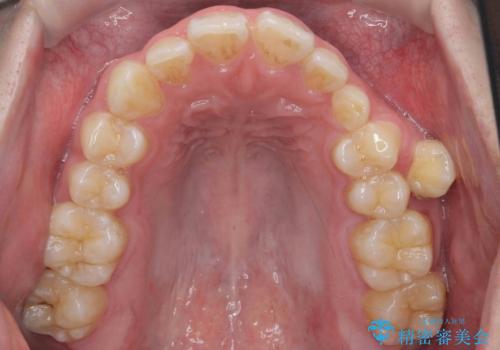
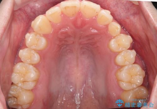
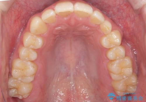
将来的にインプラントは希望されないとのことだったため、乳歯の部分は隙間を開けてインプラントを入れる用のすき間を確保するということは特に行いませんでした。
乳歯をそのまま並べたため、上顎の左右の犬歯の幅は非対称になっています。
マウスピース矯正の注意事項(リスク・副作用など)
- 口腔内・歯並びの状態によっては対応できない場合があります
- マウスピース型矯正装置の長時間装着(1日20時間以上)が必須です
- 治療計画通りに進めるためには、患者様の意志が重要になります
- 矯正治療後の保定が不十分だと後戻り(元の位置に戻ろうとする動き)をします
- 薬機法対象外の矯正歯科装置のため医薬品副作用被害救済制度の対象外となる場合があります
- 自費診療(保険適用外)となります
当サイトの内容、テキスト、画像等の無断転載、複製、複写、盗用を固く禁じます。

















