症例詳細
Case detail
【モニター】開咬を治したい インビザラインによる矯正治療
治療症例の内容
- 診療科目
- 担当医
- 藤巻太一朗(ドクタープロフィール)
- 患者様
- 20代女性
- 矯正装置
- インビザライン
- 治療期間
- 2年3ヶ月
- 治療回数
- 5-10回
- 治療計画
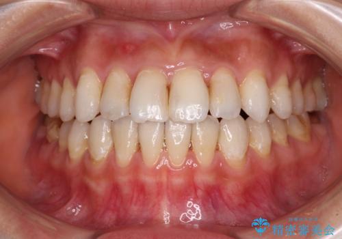
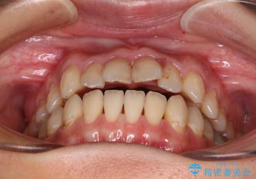
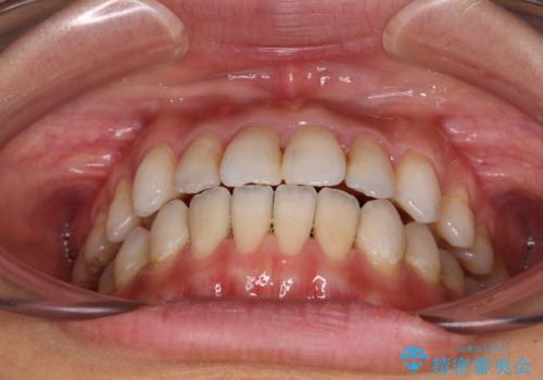
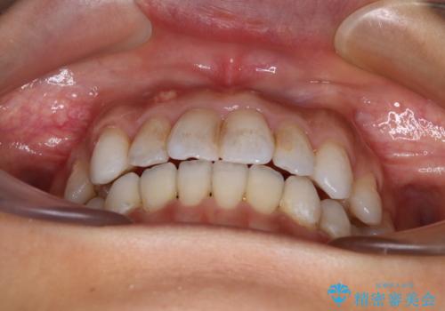
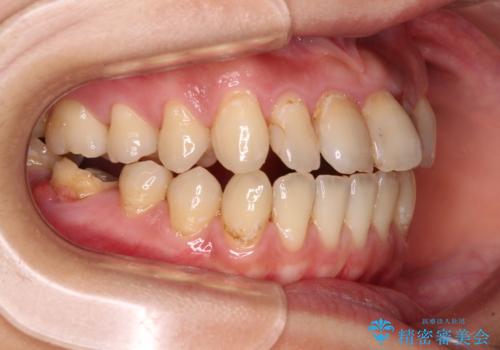
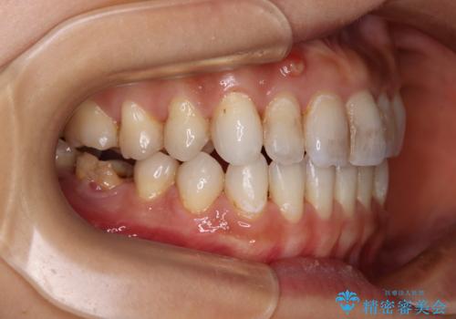
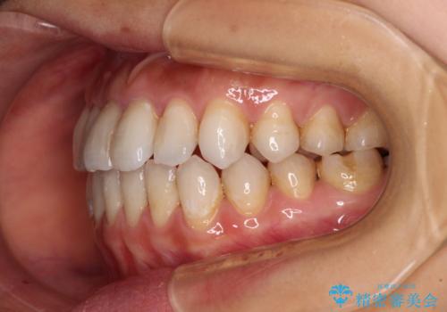
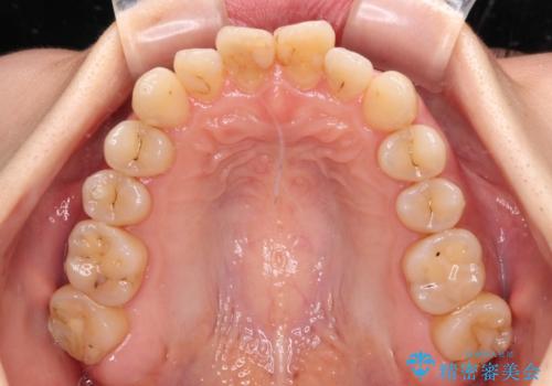
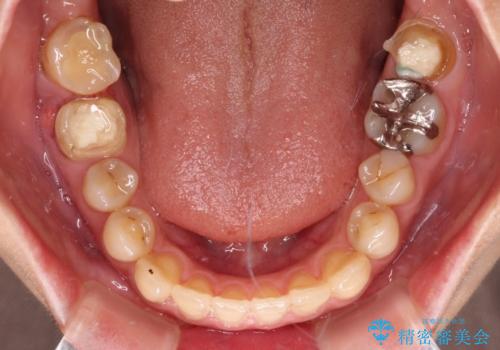
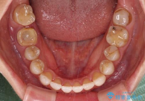
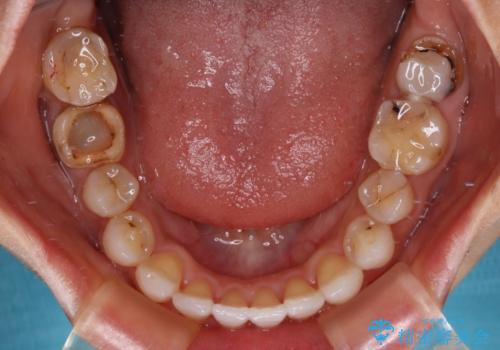
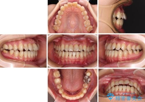
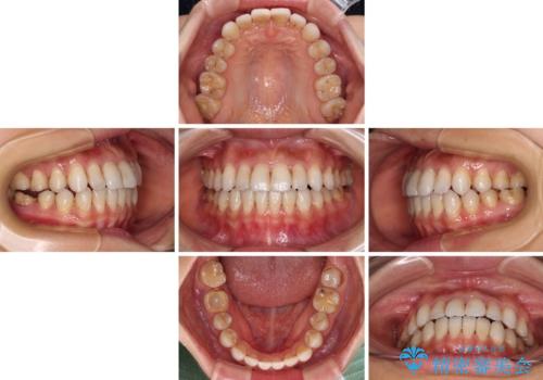
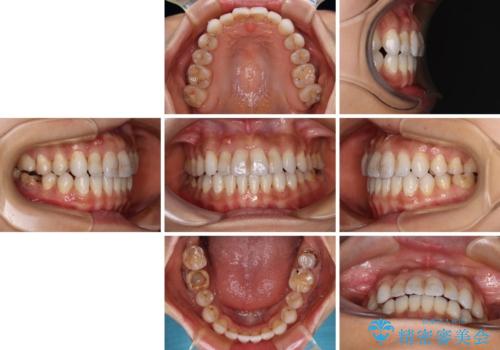
- 上下前歯の開咬とデコボコを気にして来院された患者様です。
開咬(オープンバイト)はインビザラインによる矯正治療がワイヤー装置と比べて圧倒的に有利であるため、インビザラインによる矯正治療を行うこととしました。
- 費用(概算)
- 治療費の目安: 72万円(税込)費用は治療当時の料金となります
※顔写真掲載にあたり、患者様の了解を得ております
治療について
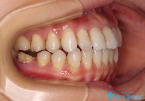
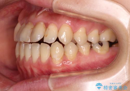
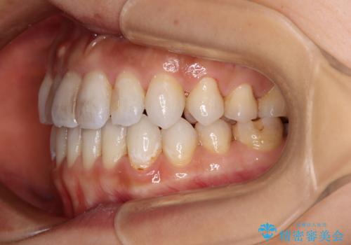
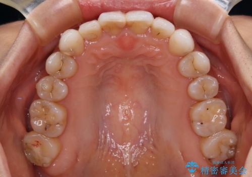
通院されなかった時期があって治療期間が長くなったり、奥歯に抜歯が必要な歯があったりと、治療は一筋縄にはいきませんでしたが、何とか治療を終えることができました。
今後はインプラント治療やむし歯治療を進めて行く予定です。
マウスピース矯正の注意事項(リスク・副作用など)
- 口腔内・歯並びの状態によっては対応できない場合があります
- マウスピース型矯正装置の長時間装着(1日20時間以上)が必須です
- 治療計画通りに進めるためには、患者様の意志が重要になります
- 矯正治療後の保定が不十分だと後戻り(元の位置に戻ろうとする動き)をします
- 薬機法対象外の矯正歯科装置のため医薬品副作用被害救済制度の対象外となる場合があります
- 自費診療(保険適用外)となります
当サイトの内容、テキスト、画像等の無断転載、複製、複写、盗用を固く禁じます。



























