症例詳細
Case detail
前歯のデコボコとクロスバイト インビザライン矯正治療
治療症例の内容
- 診療科目
- 担当医
- 藤巻太一朗(ドクタープロフィール)
- 患者様
- 30代男性
- 矯正装置
- インビザライン
- 治療期間
- 4年
- 治療回数
- 5-10回
- 治療計画
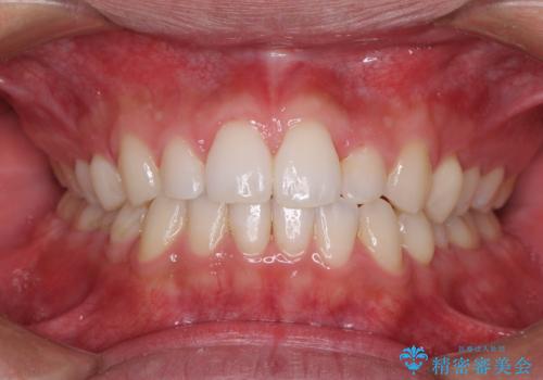
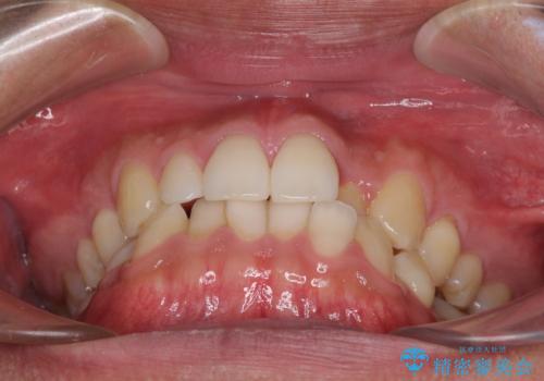
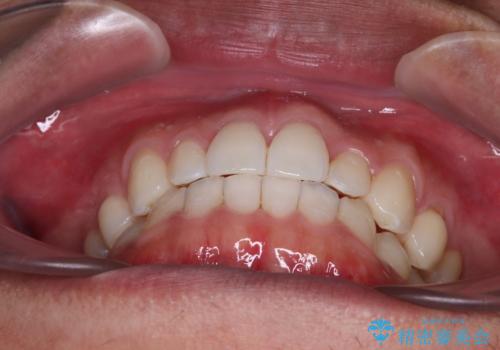
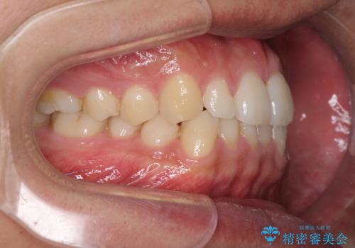
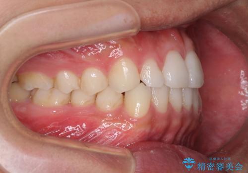
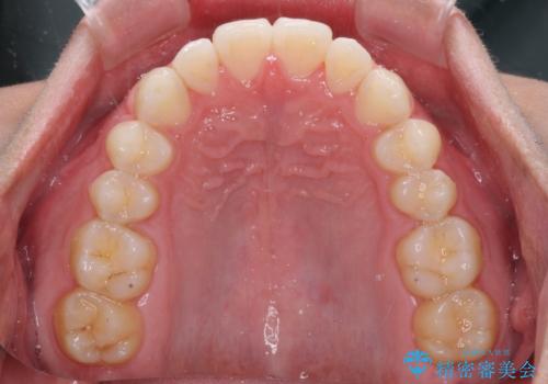
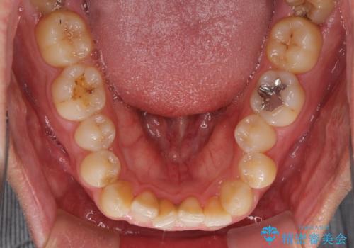
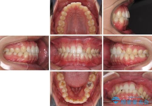
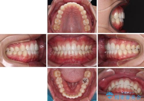
- 前歯のデコボコとクロスバイトを治したいとのことで来院された患者様です。
上下顎ともに歯列全体の側方拡大を行い、下顎前歯はIPR(歯と歯の間を削る)によってデコボコとクロスバイトが解消するように設計し、インビザラインにより治療を行うこととしました。
- 費用(概算)
- 治療費の目安: 90万円(税込)費用は治療当時の料金となります
治療について
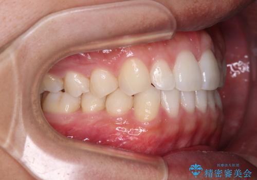
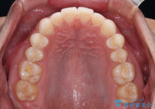
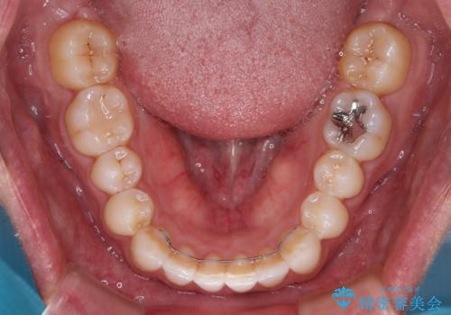
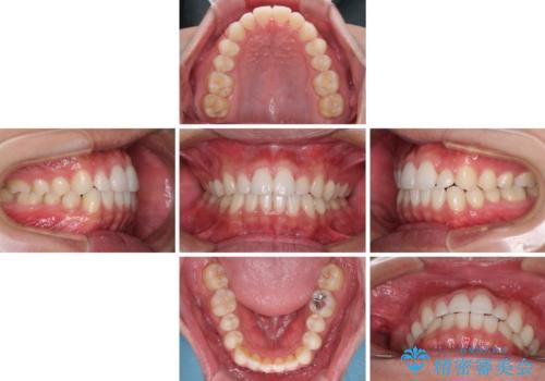
2年弱で終了する予定でしたが、途中来院されなかった時期があり、その後舌側転位している前歯を動かせるところまで動かしたいとのことで4年ほど治療を継続されました。
マウスピース矯正の注意事項(リスク・副作用など)
- 口腔内・歯並びの状態によっては対応できない場合があります
- マウスピース型矯正装置の長時間装着(1日20時間以上)が必須です
- 治療計画通りに進めるためには、患者様の意志が重要になります
- 矯正治療後の保定が不十分だと後戻り(元の位置に戻ろうとする動き)をします
- 薬機法対象外の矯正歯科装置のため医薬品副作用被害救済制度の対象外となる場合があります
- 自費診療(保険適用外)となります
当サイトの内容、テキスト、画像等の無断転載、複製、複写、盗用を固く禁じます。



























