症例詳細
Case detail
抜歯矯正で八重歯を改善 インビザライン矯正治療
治療症例の内容
- 診療科目
- 治療カテゴリ
- 担当医
- 藤巻太一朗(ドクタープロフィール)
- 患者様
- 30代男性
- 矯正装置
- インビザライン
- 治療期間
- 1年8ヶ月
- 治療回数
- 5-10回
- 治療計画
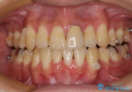
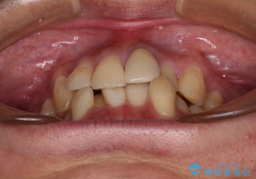
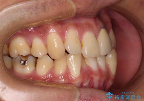
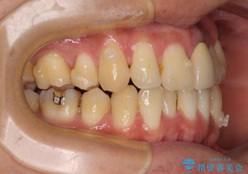
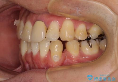
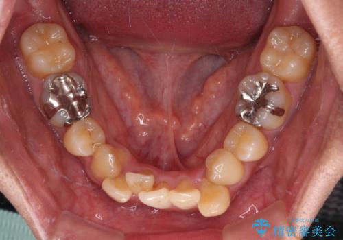
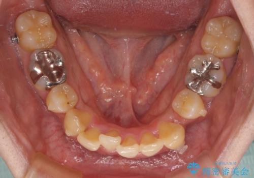
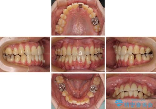
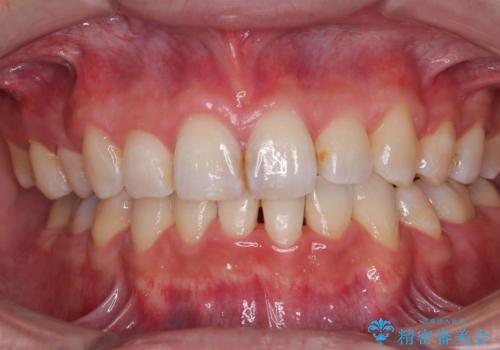
- 下顎の八重歯を気にして来院された患者様です。
左下以外、3本の第一小臼歯が既に抜去されており、左下は八重歯になっている状態でした。
左下の八重歯は手前に傾斜していたため、インビザラインによる抜歯矯正が可能と判断し、後方にある第一小臼歯を抜歯してインビザラインにて矯正治療を行うこととしました。
- 費用(概算)
- 治療費の目安: 100万円(税込)費用は治療当時の料金となります
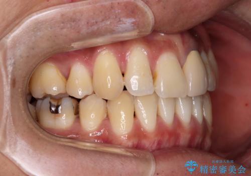
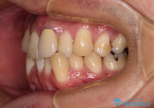
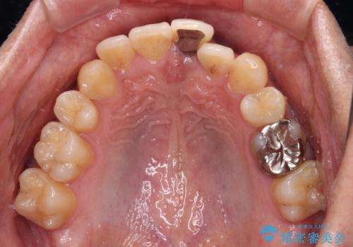
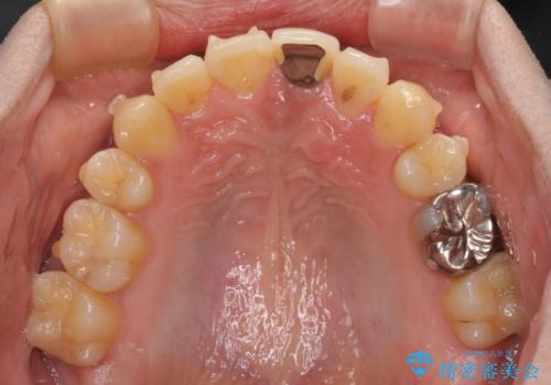
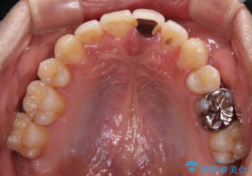
治療について
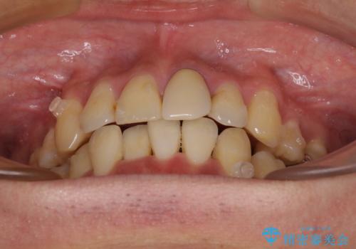
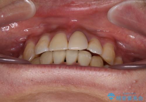
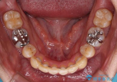
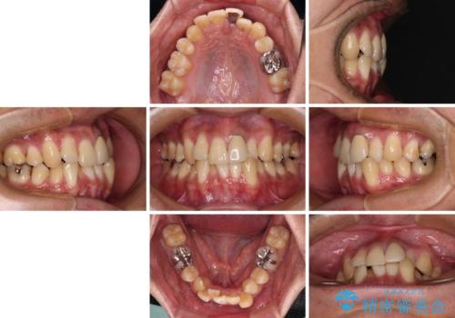
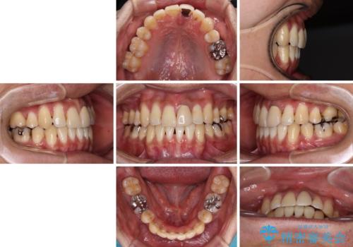
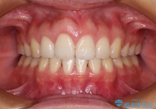
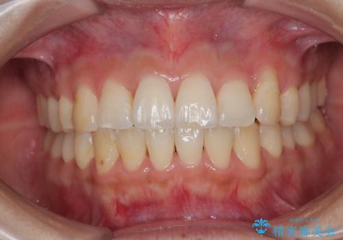
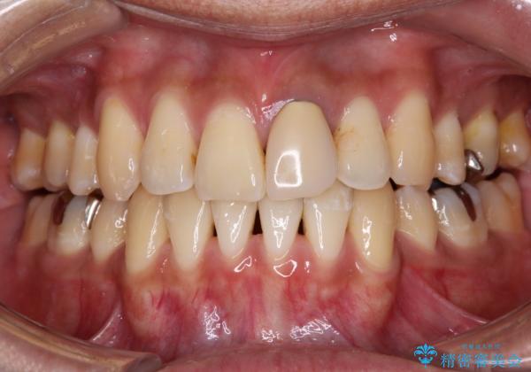
ワイヤー矯正と比較すると、八重歯が後方に傾斜した仕上がりとなりましたが、患者様ご希望のインビザラインにて十分な歯列を達成することができました。
マウスピース矯正の注意事項(リスク・副作用など)
- 口腔内・歯並びの状態によっては対応できない場合があります
- マウスピース型矯正装置の長時間装着(1日20時間以上)が必須です
- 治療計画通りに進めるためには、患者様の意志が重要になります
- 矯正治療後の保定が不十分だと後戻り(元の位置に戻ろうとする動き)をします
- 薬機法対象外の矯正歯科装置のため医薬品副作用被害救済制度の対象外となる場合があります
- 自費診療(保険適用外)となります
当サイトの内容、テキスト、画像等の無断転載、複製、複写、盗用を固く禁じます。



























