症例詳細
Case detail
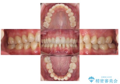
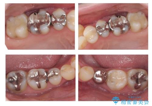
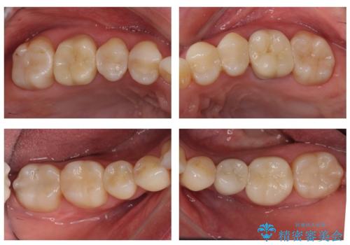
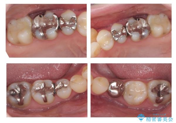
全体的な虫歯治療 銀歯をセラミックに
治療症例の内容
- 担当医
- 井上季実子(ドクタープロフィール)
- 患者様
- 30代女性
- 治療期間
- 6ヶ月
- 治療回数
- 10-30回
- 治療計画
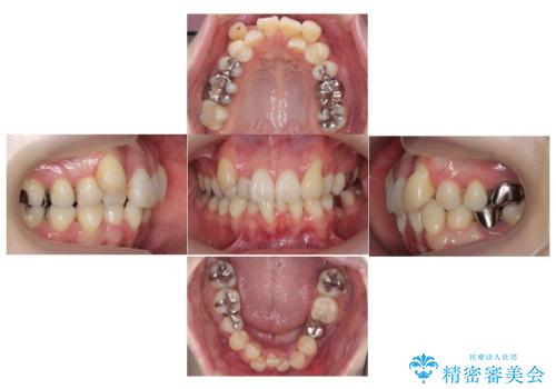
- 当院で矯正治療後、虫歯治療を一通り行いました。
矯正治療後はリテーナーを使用する必要がありますが、両方同じ病院で行うことにより、リテーナーの再作成や修理もしっかり対応できます。
- 費用(概算)
- およそ100万円費用は治療当時の料金となります
治療について
虫歯にならないようにするためにはしっかり精度の高い治療を行うことが大事です。
それと同時に歯ブラシをしっかりおこなうことや、食生活にも気を付けることが重要です。
毎食後の歯ブラシ、フロス、歯間ブラシをしっかり行うようにすると効果的です。
セラミック治療の注意事項(リスク・副作用など)
- 天然歯を削ります
- 硬い素材は天然歯を傷つけてしまう場合があります
- かみ合わせや歯ぎしりが強すぎる方はセラミックが割れてしまう可能性があります
- 自費診療(保険適用外治療)となります
当サイトの内容、テキスト、画像等の無断転載、複製、複写、盗用を固く禁じます。







