症例詳細
Case detail
奥歯の高さがない 歯周外科処置で解決 (クラウンレングスニング)
治療症例の内容
- 診療科目
- 治療カテゴリ
- 担当医
- 井上季実子(ドクタープロフィール)
- 患者様
- 20代女性
- 治療期間
- 6ヶ月
- 治療回数
- 5-10回
- 治療計画
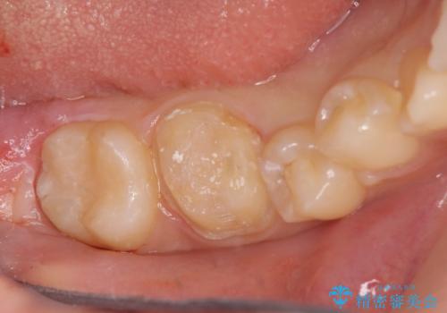
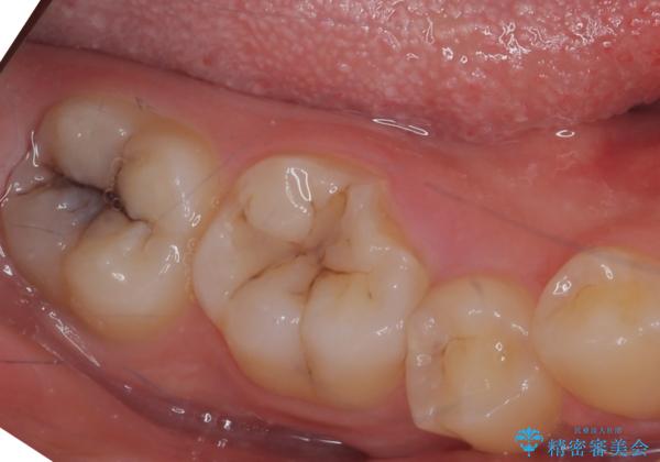
- 奥歯のかけおよび、虫歯の治療を行いました。
右下6番はかけの程度が大きく、詰め物ですと金属でないと難しいとお伝えしました(アンレー)。
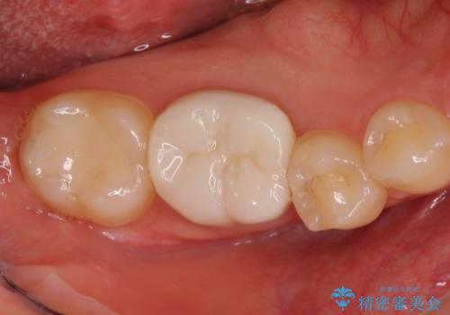
金属ではなく、白い修復物を希望されたため、セラミッククラウンで治療することにしました。
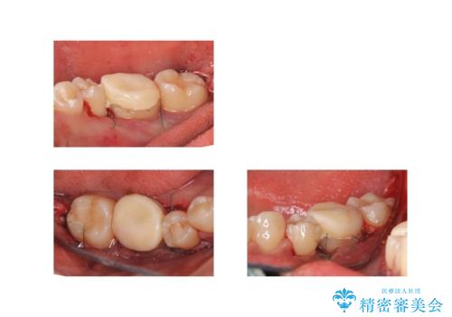
その際、舌側の歯の高さがなく歯肉に埋もれ気味だったっため、奥の親知らずをぬくついでに予め歯周外科処置(要は歯の周りの組織の手術という意味です)を行い、歯ぐきの高さを下げました。
右下7番の虫歯の範囲は咬合面だけだったため、詰め物(セラミックインレー)で治療しました。
- 費用(概算)
- 右下7:セラミックインレー 7.7万円 右下6:ジルコニアクラウン12.1万円、仮歯1.1万円、歯周外科処置16.5万円費用は治療当時の料金となります
治療について
下に親知らずがある場合、奥歯の高さを出す手術は親知らずを抜くのと同時に行うことができますので1度で大きく歯ぐきを下げることができます。
セラミック治療の注意事項(リスク・副作用など)
- 天然歯を削ります
- 硬い素材は天然歯を傷つけてしまう場合があります
- かみ合わせや歯ぎしりが強すぎる方はセラミックが割れてしまう可能性があります
- 自費診療(保険適用外治療)となります
外科処置の注意事項(リスク・副作用など)
- 外科手術のため、術後に出血、痛みや腫れ、違和感を伴います
- 口腔内の状態によっては適応できないことがあります
当サイトの内容、テキスト、画像等の無断転載、複製、複写、盗用を固く禁じます。








