症例詳細
Case detail
正中のズレ、引っ込んだ前歯の矯正
治療症例の内容
- 担当医
- 大元洋佑(ドクタープロフィール)
- 患者様
- 20代女性
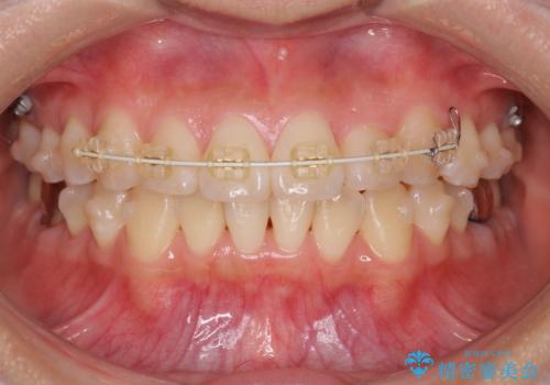
- 矯正装置
- インビザライン +部分ワイヤー矯正
- 治療期間
- 2年
- 治療回数
- 10-30回
- 治療計画
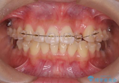
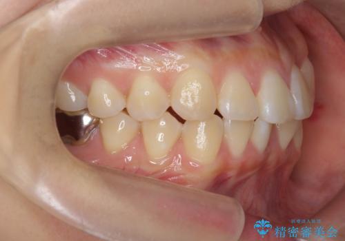
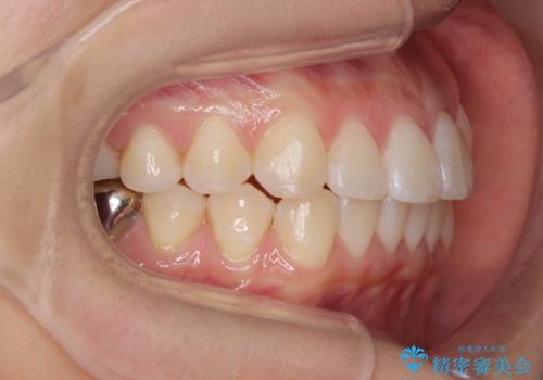
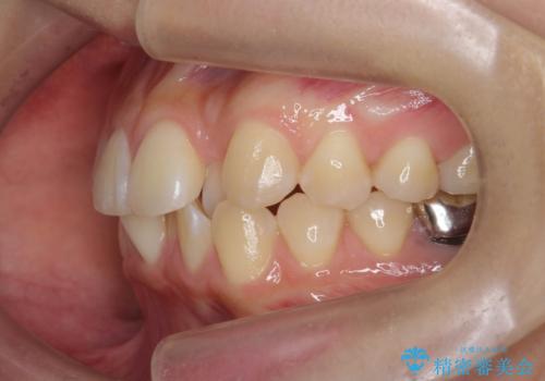
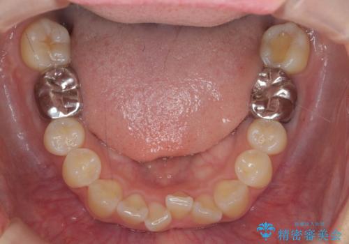
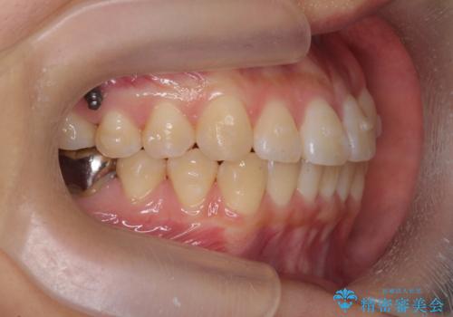
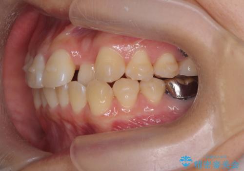
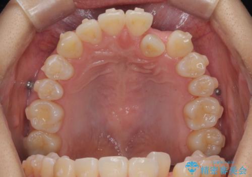
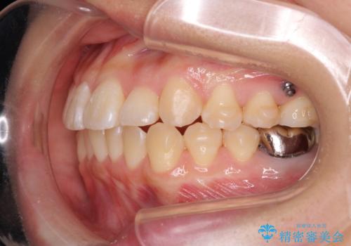
- 噛んだ時の前歯正中のズレ、引っ込んでいる前歯を治したい。と矯正治療を希望され来院されました。
左上2の前歯はスペースが足りないため、後方に引っ込んでしまっている状態です。
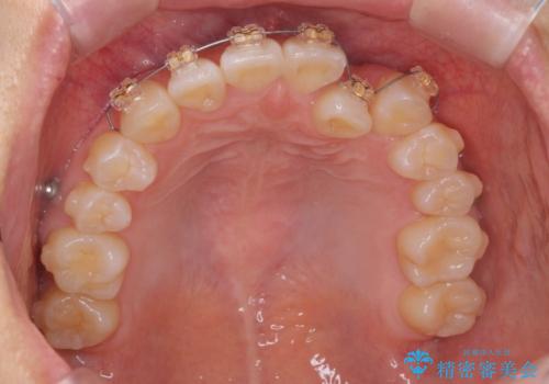
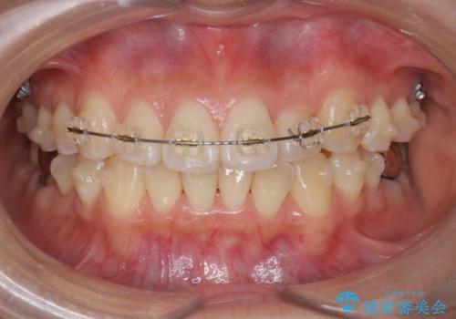
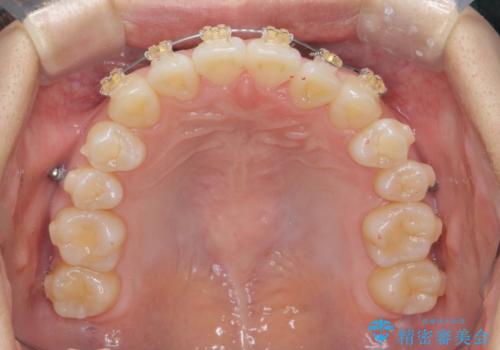
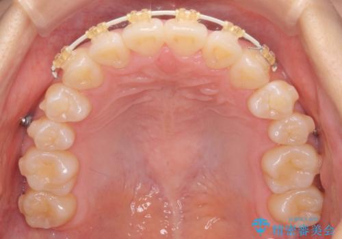
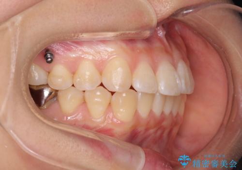
マウスピース矯正システムインビザラインで歯の後方移動、咬合関係の修正を行ったのち、引っ込んでいる左上2をワイヤーを用いて短時間で引き出す治療計画としました。
- 費用(概算)
- 99万円費用は治療当時の料金となります
治療について
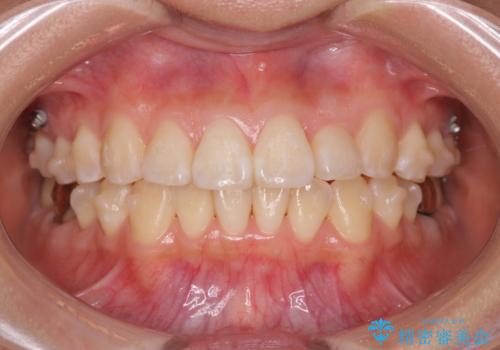
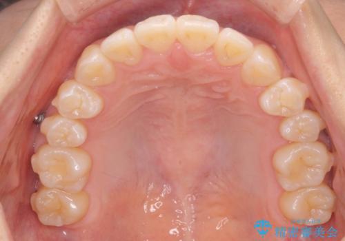
部分ワイヤー矯正を行なったことで約3ヶ月という短期間で前歯を綺麗に並べることができました。
マウスピース矯正の注意事項(リスク・副作用など)
- 口腔内・歯並びの状態によっては対応できない場合があります
- マウスピース型矯正装置の長時間装着(1日20時間以上)が必須です
- 治療計画通りに進めるためには、患者様の意志が重要になります
- 矯正治療後の保定が不十分だと後戻り(元の位置に戻ろうとする動き)をします
- 薬機法対象外の矯正歯科装置のため医薬品副作用被害救済制度の対象外となる場合があります
- 自費診療(保険適用外)となります
当サイトの内容、テキスト、画像等の無断転載、複製、複写、盗用を固く禁じます。


























