症例詳細
Case detail
奥歯で咬むと痛い
治療症例の内容
- 患者様
- 50代女性
- 治療期間
- 2年
- 治療回数
- 10-30回
- 治療計画
- 噛むと右の奥歯が痛い、何度も腫れを繰り返すとの事で来院された患者様です。
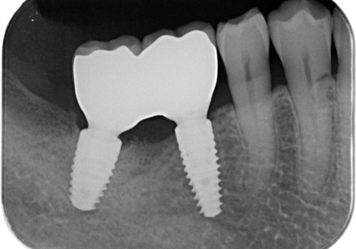
上顎は歯根破折と排膿が認められ、下顎も骨吸収により残せる状態ではないと判断し、抜歯後にインプラント治療(右上567、右下67)を行うことになりました。
骨吸収により上顎の骨量が少なかったため、インプラント埋入時にソケットリフトで骨補填材を填入も行いました。
- 費用(概算)
- 279万円費用は治療当時の料金となります
治療について
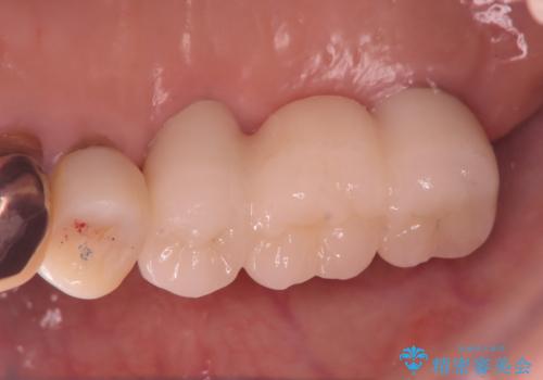
上下のインプラント治療する事によりしっかり奥歯で咬めるようになり、患者様は大変喜ばれていました。
インプラント治療の注意事項(リスク・副作用など)
- 外科手術のため、術後に痛みや腫れ、違和感を伴います
- メンテナンスを怠ったり喫煙により、お口の中に大きな悪影響を及ぼすインプラント周囲炎等にかかる可能性があります
- 糖尿病、肝硬変、心臓病等の場合、インプラント治療ができない可能性があります
- 高血圧、貧血・不整脈等の場合、インプラント治療後に治癒不全を招く可能性があります
- 自費診療(保険適用外治療)となります
セラミック治療の注意事項(リスク・副作用など)
- 天然歯を削ります
- 硬い素材は天然歯を傷つけてしまう場合があります
- かみ合わせや歯ぎしりが強すぎる方はセラミックが割れてしまう可能性があります
- 自費診療(保険適用外治療)となります
当サイトの内容、テキスト、画像等の無断転載、複製、複写、盗用を固く禁じます。












