症例詳細
Case detail
【セラミックインレー】詰め物が外れた 白くしたい
治療症例の内容
- 診療科目
- 治療カテゴリ
- 担当医
- 町田睦月(ドクタープロフィール)
- 患者様
- 50代男性
- 治療期間
- 1ヶ月
- 治療回数
- 2-5回
- 治療計画
- 主訴:詰め物が外れた これを機に白い詰め物にやり替えたい
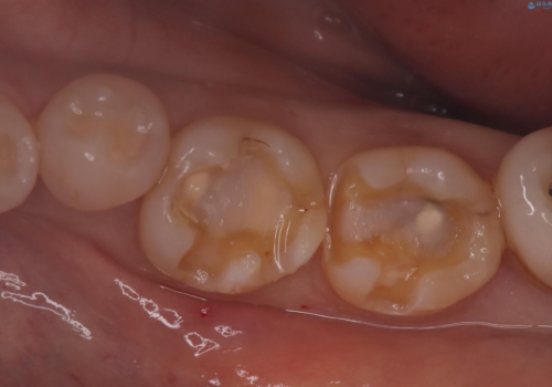
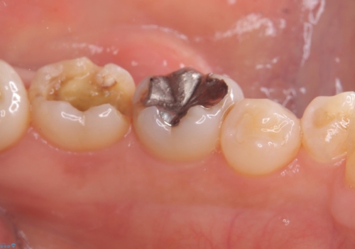
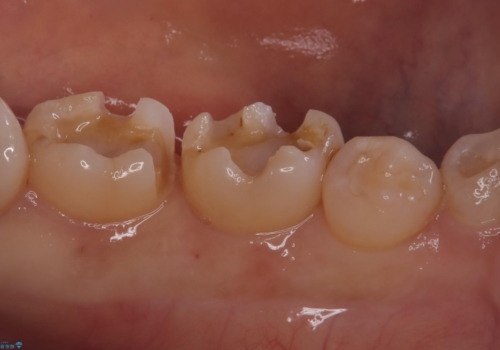
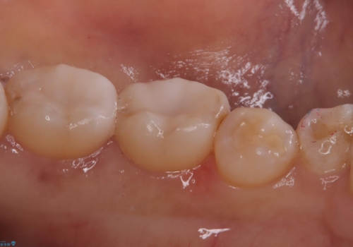
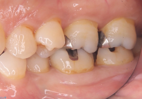
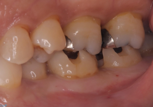
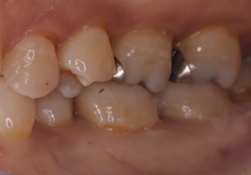
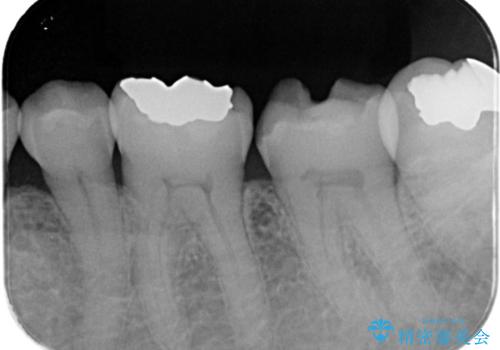
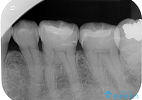
左下7番目の歯の詰め物が外れ、セラミックインレーでのやり替えとなりました。
隣在歯にも保険適用もメタルインレーが入っており、咬合面のインレーと歯質の境目が虫歯になっていたこともあり、合わせてのやり替えとなりました。
- 費用(概算)
- 154,000円費用は治療当時の料金となります
治療について
左下7番めの歯、フロスを通したらインレーが外れてしまったとのことで、適合具合の精密さや、これを機に白い詰め物にしたいとのことからセラミックインレーでのやり替えとなりました。
また、6番目の歯にも保険適用のメタルインレーが入っており、咬合面インレーと歯質境目にう蝕を認め合わせてのやり替えとなりました。
セラミック治療の注意事項(リスク・副作用など)
- 天然歯を削ります
- 硬い素材は天然歯を傷つけてしまう場合があります
- かみ合わせや歯ぎしりが強すぎる方はセラミックが割れてしまう可能性があります
- 自費診療(保険適用外治療)となります
当サイトの内容、テキスト、画像等の無断転載、複製、複写、盗用を固く禁じます。











