症例詳細
Case detail
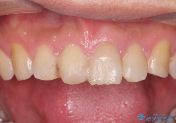
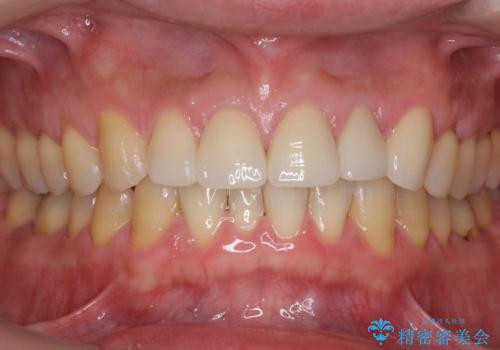
転んで前歯が欠けてぐらぐらに 歯の神経も死んでしまった
治療症例の内容
- 診療科目
- 治療カテゴリ
- 担当医
- 井上季実子(ドクタープロフィール)
- 患者様
- 30代男性
- 治療期間
- 6ヶ月
- 治療回数
- 10-30回
- 治療計画
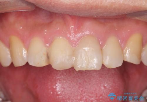
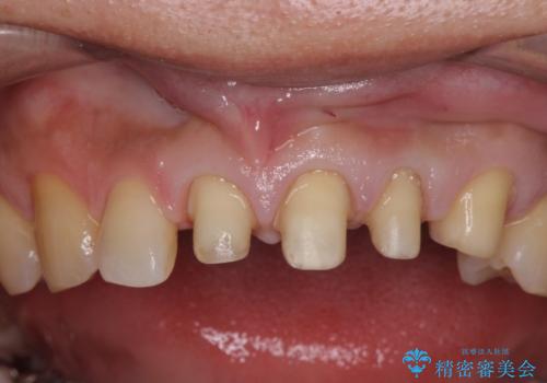
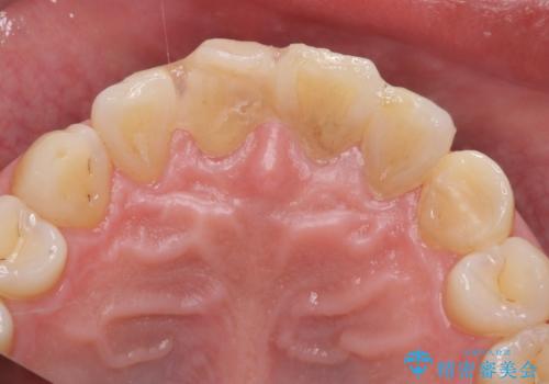
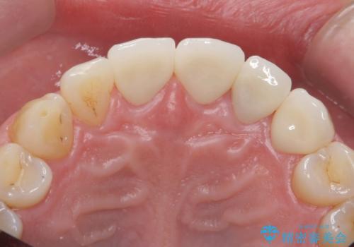
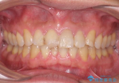
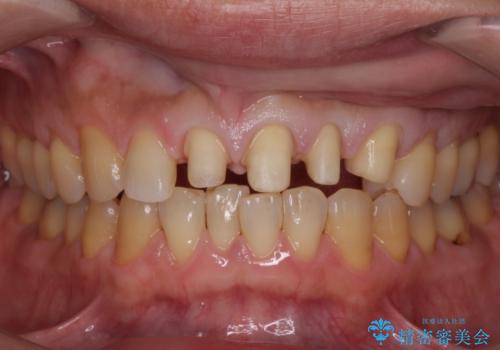
- 転倒して前歯を強打してかけてしまった、ぐらつくとのことで来院。
 応急でみてもらった歯科医院で隣の歯と接着剤で留めてもらったとのこと。
 
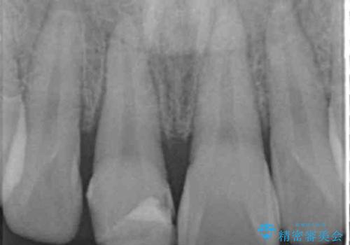
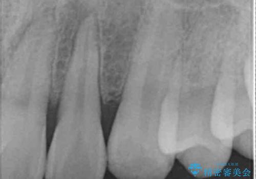
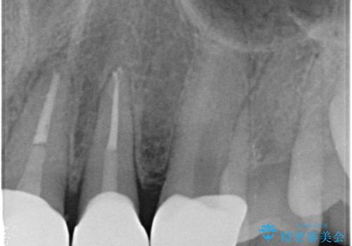
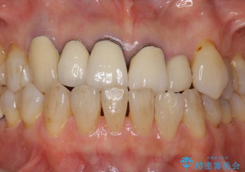
 歯の神経の状態を見たところ、前歯3本とも神経が死んでしまっていました。
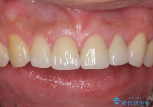
 また、左上犬歯の詰め物は途中で脱離し、セラミックでの修復をご希望されたため、一緒に治療しました。
 
 根の治療を行い、ぐらつきに関しては様子を見て連結をするとのお話をさせていただきました。
 結果ナイトガードの使用によりぐらつきはだいぶ回復してきたため連結はしていません。
 
 
 
- 費用(概算)
- 81.4万円 内訳:ジルコニアクラウン(スタンダード)11万円×4本 /精密根管治療 前歯、イニシャル 6万円×3本 /ファイバーコア 2万円×3本 /仮歯 1万円×3本/フラットタイプナイトガード 3万円費用は治療当時の料金となります
治療について
今後事故の影響でほかの歯の神経が死んでしまったり、状態が変化する可能性があるため経過観察が大事になってきます。
セラミック治療の注意事項(リスク・副作用など)
- 天然歯を削ります
- 硬い素材は天然歯を傷つけてしまう場合があります
- かみ合わせや歯ぎしりが強すぎる方はセラミックが割れてしまう可能性があります
- 自費診療(保険適用外治療)となります
根管治療の注意事項(リスク・副作用など)
- 根管治療により類似の全ての症例の問題が解決するわけではなく、症例はあくまでも一例です
- 根管治療により痛みや腫れがひかない事や、術後に痛みや腫れが生じる事、治療によるファイル破折やパーフォレーションなどの偶発症、術後の歯根破折を生じる可能性もあります
- 自費診療(保険適用外)となります
当サイトの内容、テキスト、画像等の無断転載、複製、複写、盗用を固く禁じます。








 
                       
                                                          












 
                   
                   
                  