症例詳細
Case detail
奥歯のインプラント 永くもつように
治療症例の内容
- 患者様
- 60代女性
- 治療期間
- 1年
- 治療回数
- 5-10回
- 治療計画
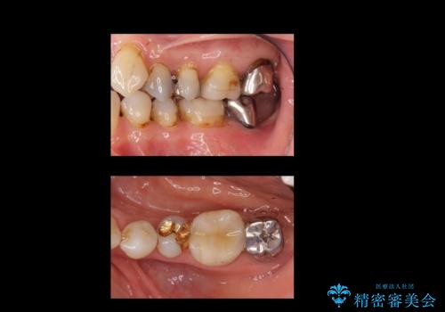
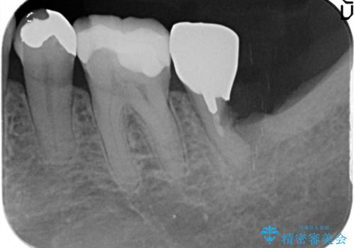
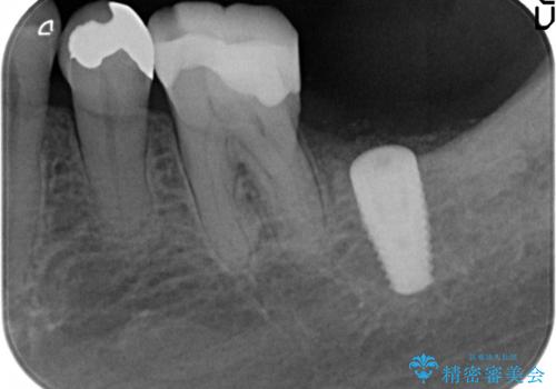
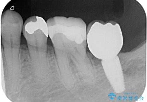
- 半分残していた奥歯の虫歯の状態が良くない為、抜歯をしてインプラントをしました。
歯肉移植時には静脈内鎮静法を併用し、手術時の不安を軽減しました。
向かい合わせの歯の治療も、神経の治療からセラミックのかぶせ物まで行っています。
- 費用(概算)
- 69.4万円 内訳:左下7(ストローマンインプラント24.2万円 インプラント用仮歯2.2万円 骨増成5.5万円 カスタムアバットメント11万円 FGG(遊離歯肉移植術)11万円 静脈内鎮静5.5万円)費用は治療当時の料金となります
治療について
歯肉移植を行うと、炎症に強く歯周病になりにくい歯周組織の状態でのインプラント補綴が可能になります。
他の歯の治療もあり治療に時間をかけることが問題なかった点、また、審美領域ではない点、患者様が時間をかけてもいいのでお手入れしやすく長持ちするインプラントを希望していたことから2回法を選択しております。一回法のメリットは今回は特にありませんでした。患者様のご希望もふまえ、無理せず抜歯後しっかり骨ができるのを待って、角化歯肉を増やすため歯肉移植も行いました。
インプラント治療の注意事項(リスク・副作用など)
- 外科手術のため、術後に痛みや腫れ、違和感を伴います
- メンテナンスを怠ったり喫煙により、お口の中に大きな悪影響を及ぼすインプラント周囲炎等にかかる可能性があります
- 糖尿病、肝硬変、心臓病等の場合、インプラント治療ができない可能性があります
- 高血圧、貧血・不整脈等の場合、インプラント治療後に治癒不全を招く可能性があります
- 自費診療(保険適用外治療)となります
セラミック治療の注意事項(リスク・副作用など)
- 天然歯を削ります
- 硬い素材は天然歯を傷つけてしまう場合があります
- かみ合わせや歯ぎしりが強すぎる方はセラミックが割れてしまう可能性があります
- 自費診療(保険適用外治療)となります
静脈内鎮静法の注意事項(リスク・副作用など)
- 回復後も多少眠気が残る可能性があります
- 治療中の記憶が残る場合があります
- 意識が完全になくなることはないため、2時間程度の治療で適応となります
- 静脈穿刺時に痛みがあります
- 治療当日は乗り物の運転は控える必要があります
- 自費診療(保険適用外)となります
当サイトの内容、テキスト、画像等の無断転載、複製、複写、盗用を固く禁じます。











