症例詳細
Case detail
前歯のセラミック 神経の再治療から
治療症例の内容
- 担当医
- 井上季実子(ドクタープロフィール)
- 患者様
- 60代女性
- 治療期間
- 4ヶ月
- 治療回数
- 10-30回
- 治療計画
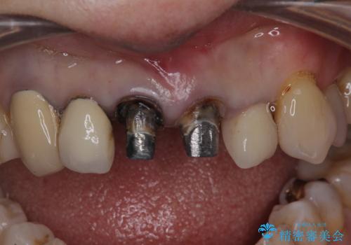
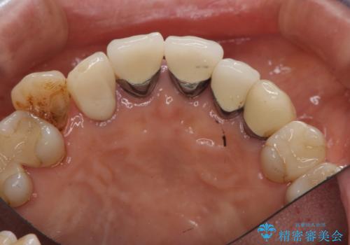
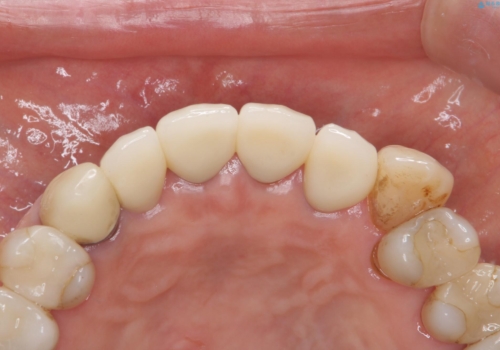
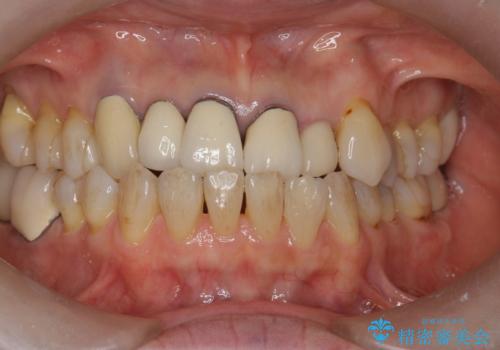
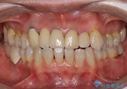
- 他の部位の治療で来院されていましたが、30年以上前に行った前歯のかぶせ物のきわがあっておらず虫歯になってきていました。
神経の治療から念のためやり直ししてからセラミックでかぶせました。
金属の土台が入っていましたがすべて外し、ファイバーコアでやり替えています。
- 費用(概算)
- 101.2万円(ジルコニアクラウン12.1万円×4 仮歯1.1万円×4 ファイバーコア2.2万円×4 精密根管治療9.9万円×4)費用は治療当時の料金となります
治療について
受け口の程度がある程度あったため、歯軸を無理にかえてかみ合わせを変えると前歯が折れる可能性があるため反対咬合は変えておりません。
セラミック治療の注意事項(リスク・副作用など)
- 天然歯を削ります
- 硬い素材は天然歯を傷つけてしまう場合があります
- かみ合わせや歯ぎしりが強すぎる方はセラミックが割れてしまう可能性があります
- 自費診療(保険適用外治療)となります
根管治療の注意事項(リスク・副作用など)
- 根管治療により類似の全ての症例の問題が解決するわけではなく、症例はあくまでも一例です
- 根管治療により痛みや腫れがひかない事や、術後に痛みや腫れが生じる事、治療によるファイル破折やパーフォレーションなどの偶発症、術後の歯根破折を生じる可能性もあります
- 自費診療(保険適用外)となります
当サイトの内容、テキスト、画像等の無断転載、複製、複写、盗用を固く禁じます。













