症例詳細
Case detail
60代女性 奥歯のインプラント
治療症例の内容
- 担当医
- 井上季実子(ドクタープロフィール)
- 患者様
- 60代女性
- 治療期間
- 9ヶ月
- 治療回数
- 5-10回
- 治療計画
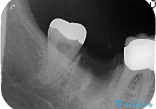
- 右下の歯を抜いた箇所に親知らずを矯正治療で移動できないかというご相談で来院。
親知らずを一本分前には基本的には難しいという説明をしました。
また、受け口のかみ合わせのため、下の親知らずは上の7番目の歯に咬合して機能しているため、そのままの位置の方が良さそうでした。
欠損の部分にはブリッジまたはインプラント、義歯の選択肢がありますが、インプラント治療をご希望されました。
- 費用(概算)
- 68.2万円 内訳(ストローマンインプラント22万円、カスタムアバットメント11万円、ジルコニアクラウン11万円、マイナーGBR5.5万円、FGG(遊離歯肉移植)11万円、静脈内鎮静5.5万円、矯正用仮歯2.2万円)(旧料金)費用は治療当時の料金となります
治療について
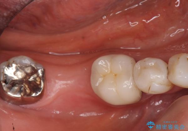
他院で抜歯後いらしたため、骨ができるのを待って、オペは2回法で行っております。
2回法の利点は、骨増成が確実であることと、FGGが可能で長期に安定した歯ぐきが得られることです。
インプラント治療の注意事項(リスク・副作用など)
- 外科手術のため、術後に痛みや腫れ、違和感を伴います
- メンテナンスを怠ったり喫煙により、お口の中に大きな悪影響を及ぼすインプラント周囲炎等にかかる可能性があります
- 糖尿病、肝硬変、心臓病等の場合、インプラント治療ができない可能性があります
- 高血圧、貧血・不整脈等の場合、インプラント治療後に治癒不全を招く可能性があります
- 自費診療(保険適用外治療)となります
セラミック治療の注意事項(リスク・副作用など)
- 天然歯を削ります
- 硬い素材は天然歯を傷つけてしまう場合があります
- かみ合わせや歯ぎしりが強すぎる方はセラミックが割れてしまう可能性があります
- 自費診療(保険適用外治療)となります
当サイトの内容、テキスト、画像等の無断転載、複製、複写、盗用を固く禁じます。











