症例詳細
Case detail
やや難ケース 上の歯を抜かずに歯列を後ろに下げて治療 4本ではなく下1本のみの抜歯できれいに
治療症例の内容
- 患者様
- 20代女性
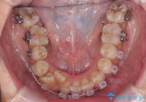
- 矯正装置
- ワイヤー矯正
- 治療期間
- 1年7ヶ月
- 治療回数
- 10-30回
- 治療計画
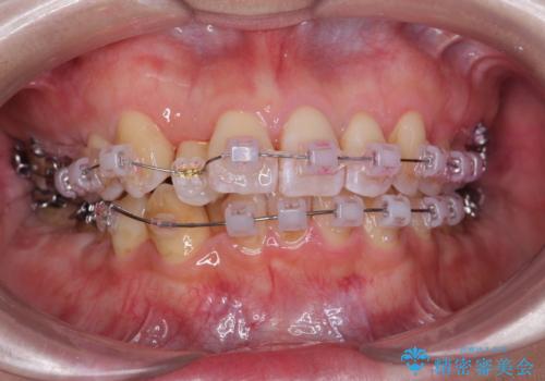
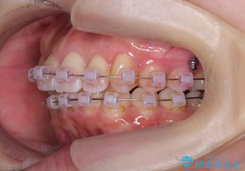
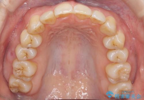
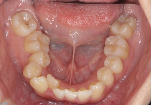
- 前歯のがたつき 歯並びを主訴に来院。
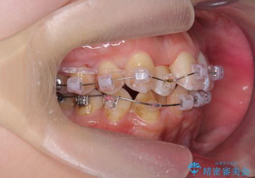
右の上下の混雑が激しく、通常は上下左右4本抜歯も相当する症状でした。
最初から4本抜歯と方針が決まった方が治療期間が長いのか正直分からないような状況でしたが、矯正開始し並べながら判断をしていきました。
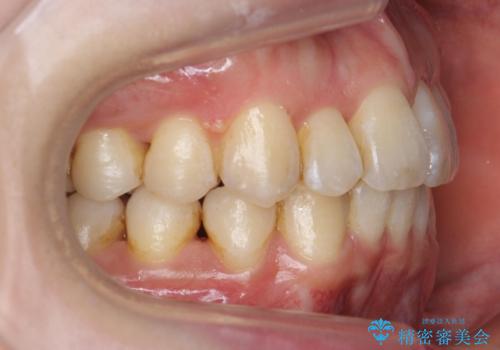
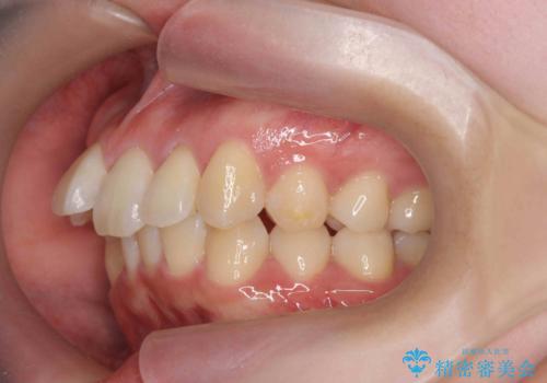
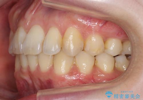
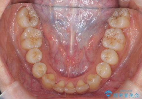
結果下の前歯一本抜歯ですみ、治療期間も想定よりも短く終わり、無事うまく治療することができました。
前歯の角度もよくなり、奥歯のかみ合わせも問題なく、上は非抜歯で口元も閉じやすくなりました。
- 費用(概算)
- 140万円費用は治療当時の料金となります
治療について
最初から治療方針が決まらない難しい症状でしたが、患者様の理解度が非常に高く、進めながら判断するというのがうまくいったと思います。治療に関してお任せいただき、こちらも大変感謝しております。
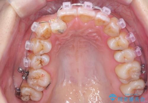
上の歯列を後ろに下げるのに、矯正用ミニスクリューを使用しています(インプラント矯正)
下の前歯を1本の抜歯にしていますので上下の正中は合わない仕上がりとなっております。その代わり奥歯のかみ合わせと抜歯の本数削減を優先しています。
右の上下の混雑が激しく、通常は上下左右4本抜歯も相当する症状でした。
右のみ上下1本ずつ抜歯した場合、上の正中がずれる恐れもあります。
詳しく解説すると、
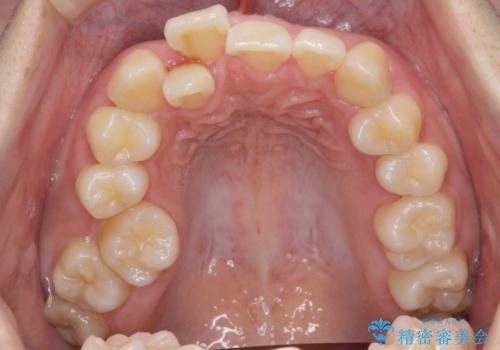
右下の臼歯が内側に倒れこみ、小臼歯部分はすれ違い咬合、大臼歯も反対咬合となっていました。
歯の大きさを計測したところ、下の歯がとても大きく、4本抜歯したとしても奥歯のかみ合わせを交互にするのが難しい状態でした。
この状態からうまく治療ができれば右下を頬側に起こすことができればある程度スペースが確保できそうでした。
下については、まずは動かして起こしてみて抜歯の本数は治療をすすめながら1本、右上下2本、上下左右4本の選択肢のうちどれかになるという方針としました。
初めから抜歯をしてしまうと戻れない為です。
また、上の前歯を下げるために抜歯という選択肢もありましたが、前歯の大きさを若干小さく削り、奥歯を後ろに下げるというのを試みて、難しいようなら抜歯という形で進めました。
結果、遠心移動もスムーズに進み大きく前歯を下げることができました。
ワイヤー矯正の注意事項(リスク・副作用など)
- 治療中は違和感や痛みが起こることがあります
- 症状により、抜歯が必要な場合があります
- 治療中は歯磨きがしにくくなるため、虫歯や歯周病になりやすくなります
- 矯正治療後の保定が不十分だと後戻り(元の位置に戻ろうとする動き)をします
- 自費診療(保険適用外)となります
当サイトの内容、テキスト、画像等の無断転載、複製、複写、盗用を固く禁じます。





















