症例詳細
Case detail
不安定な噛み合わせを改善 マウスピース矯正治療
治療症例の内容
- 担当医
- 大元洋佑(ドクタープロフィール)
- 患者様
- 20代女性
- 矯正装置
- インビザライン
- 治療期間
- 1年10ヶ月
- 治療回数
- 5-10回
- 治療計画
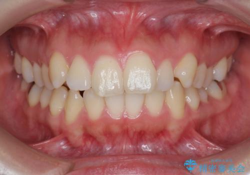
- 「噛み合わせがなんとなく不安定で、物が噛みづらい。矯正治療をしたい。」と希望され来院されました。
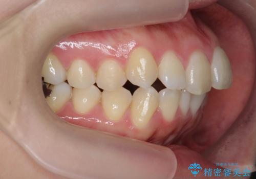
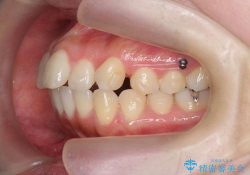
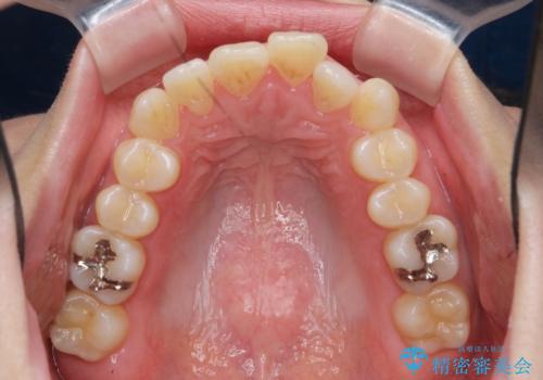
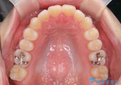
上顎の奥歯が理想的な咬合関係よりも、前にある状態です。
マイクロインプラントを併用したマウスピース矯正インビザラインで上顎の歯をしっかりと後方に送り、咬合関係、がたつき、前歯の角度の改善を計画します。
- 費用(概算)
- 88万円費用は治療当時の料金となります
治療について
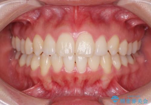
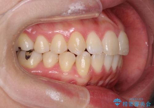
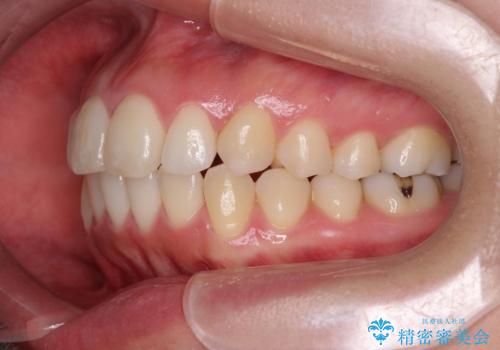
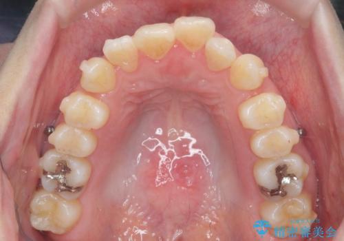
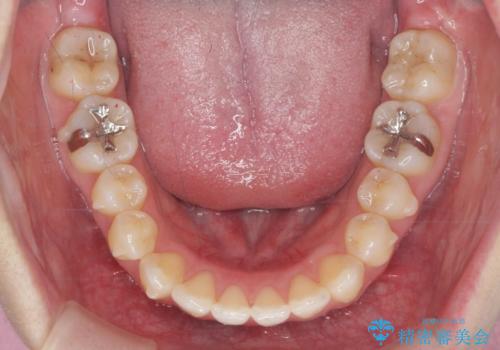
マイクロインプラントからマウスピースへのゴムかけを積極的に行っていただき、上顎の奥歯をしっかりと後方へ送ることができました。
マウスピース矯正の注意事項(リスク・副作用など)
- 口腔内・歯並びの状態によっては対応できない場合があります
- マウスピース型矯正装置の長時間装着(1日20時間以上)が必須です
- 治療計画通りに進めるためには、患者様の意志が重要になります
- 矯正治療後の保定が不十分だと後戻り(元の位置に戻ろうとする動き)をします
- 薬機法対象外の矯正歯科装置のため医薬品副作用被害救済制度の対象外となる場合があります
- 自費診療(保険適用外)となります
当サイトの内容、テキスト、画像等の無断転載、複製、複写、盗用を固く禁じます。


















