症例詳細
Case detail
歯周病の歯を残すための再生治療
治療症例の内容
- 診療科目
- 治療カテゴリ
- 担当医
- 大元洋佑(ドクタープロフィール)
- 患者様
- 50代女性
- 治療期間
- 10ヶ月
- 治療回数
- 2-5回
- 治療計画
- 銀歯や虫歯の治療を希望され来院されました。
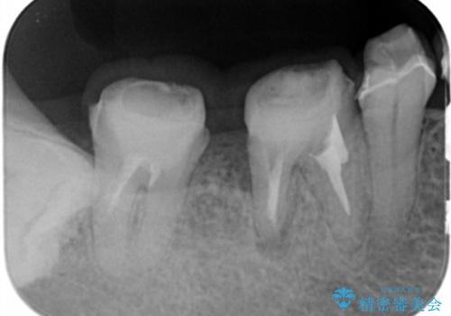
治療前にX線写真や歯周病検査を行ったところ、中等度に進行した歯周病が見つかりました。
抜歯も検討されるような骨の形態ではありますが、歯周病により溶けてしまった骨を再生させる歯周病再生治療を行うこととしました。
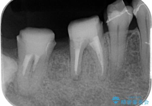
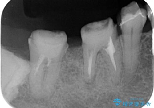
1年間他の治療を行いながら待ったのち、骨の状態確認を行う確定外科の際にしっかりと骨の再生が認められました。
- 費用(概算)
- 11万円(再生治療代として)費用は治療当時の料金となります
治療について
再生治療を行うことで歯周病により必要な抜歯の本数を減らすことができることがあります。
歯周病治療の注意事項(リスク・副作用など)
- 外科手術のため、術後に痛みや腫れ、違和感を伴います
- 歯周組織再生治療は患者様の状態によって術後の経過が異なります(見た目が改善しない場合もあります)
- 歯周組織再生治療は自費診療(保険適用外)となります
当サイトの内容、テキスト、画像等の無断転載、複製、複写、盗用を固く禁じます。







