症例詳細
Case detail
奥歯の高さがない 20代で入れ歯もインプラントも難しい ブリッジで歯を残す治療
治療症例の内容
- 患者様
- 20代女性
- 治療期間
- 1年6ヶ月
- 治療回数
- 10-30回
- 治療計画
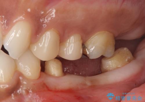
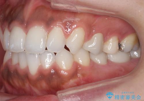
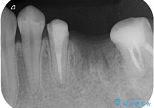
- 他院で奥歯を抜歯してインプラントにしようといわれたとのことで来院。
虫歯を放置したため、左下奥歯の上下の歯の隙間が全くなく入れ歯もインプラントも難しい状態でした。
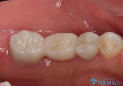
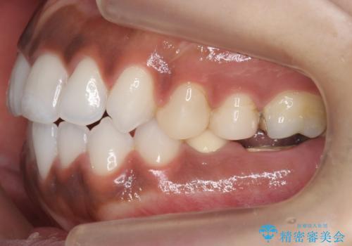
左下6番は残根状態だったため、やむなく抜歯を行い、⑤6⑦ブリッジとしました。
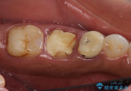
歯周外科手術を併用し、骨の高さを調整して歯の高さをしっかり出す手術(クラウンレングスニング)も行いました。
また、左下を含めて全体的な虫歯治療も行いました。
https://seimitsushinbi.jp/case/118769/
- 費用(概算)
- 74.8万円(左下567歯周外科手術 15万円、左下⑤6⑦ブリッジ ジルコニアクラウン11万円×3本 仮歯1万円×3本 左下7 精密根管再治療15万円×1 ファイバーコア2万円×2)費用は治療当時の料金となります
治療について
左下7番(一番奥)の歯の根管治療は横浜桜木町歯科院長大元が担当しています。
左下5番の根管治療は井上が担当しました。
セラミック治療の注意事項(リスク・副作用など)
- 天然歯を削ります
- 硬い素材は天然歯を傷つけてしまう場合があります
- かみ合わせや歯ぎしりが強すぎる方はセラミックが割れてしまう可能性があります
- 自費診療(保険適用外治療)となります
根管治療の注意事項(リスク・副作用など)
- 根管治療により類似の全ての症例の問題が解決するわけではなく、症例はあくまでも一例です
- 根管治療により痛みや腫れがひかない事や、術後に痛みや腫れが生じる事、治療によるファイル破折やパーフォレーションなどの偶発症、術後の歯根破折を生じる可能性もあります
- 自費診療(保険適用外)となります
外科処置の注意事項(リスク・副作用など)
- 外科手術のため、術後に出血、痛みや腫れ、違和感を伴います
- 口腔内の状態によっては適応できないことがあります
当サイトの内容、テキスト、画像等の無断転載、複製、複写、盗用を固く禁じます。











