症例詳細
Case detail
前歯の変色 神経のない歯の再治療
治療症例の内容
- 担当医
- 井上季実子(ドクタープロフィール)
- 患者様
- 20代男性
- 治療期間
- 2ヶ月
- 治療回数
- 5-10回
- 治療計画
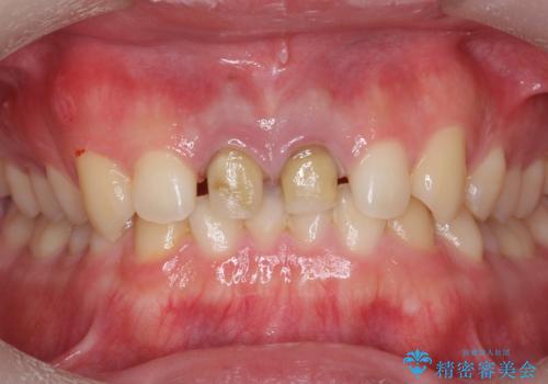
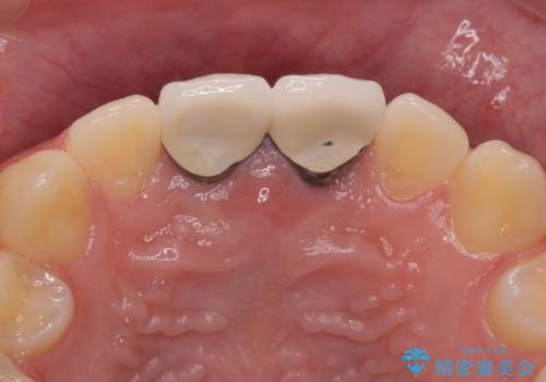
- 前歯の変色を気にして来院。
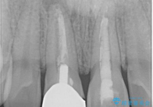
過去に神経の治療を行ったとのことでした。
特に右上の前歯の膿は大きくなって歯ぐきから排膿している状態でした。(フィステルといいます)
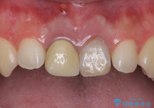
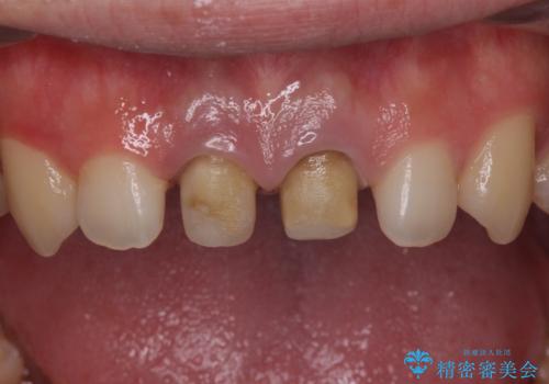
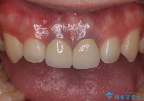
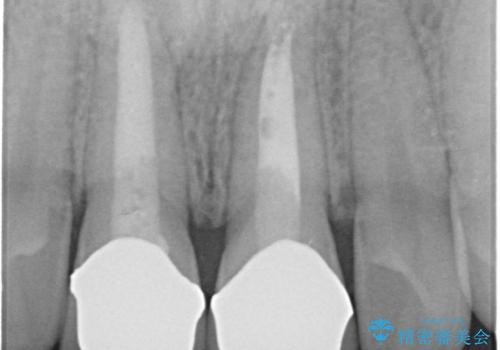
二本とも神経の治療のやり直し(再治療)を行ってからセラミックを入れています。
- 費用(概算)
- 52.8万円 セラミッククラウン(メタルボンドクラウン11万円×2 仮歯1万円×2 ファイバーコア2万円×2 再根管治療9万円×2)費用は治療当時の料金となります
治療について
今回は、前歯のかみ合わせが深く、下の前歯が根元にかみこむような状態だったため、オールセラミックは難しく、メタルボンドクラウン(金属の裏打ちにセラミックが盛ってあるクラウン)となりました。
神経の治療をした歯は変色してくるため、歯ぐきから歯の根が透けて見えるのは治療はむずかしいです。
セラミック治療の注意事項(リスク・副作用など)
- 天然歯を削ります
- 硬い素材は天然歯を傷つけてしまう場合があります
- かみ合わせや歯ぎしりが強すぎる方はセラミックが割れてしまう可能性があります
- 自費診療(保険適用外治療)となります
根管治療の注意事項(リスク・副作用など)
- 根管治療により類似の全ての症例の問題が解決するわけではなく、症例はあくまでも一例です
- 根管治療により痛みや腫れがひかない事や、術後に痛みや腫れが生じる事、治療によるファイル破折やパーフォレーションなどの偶発症、術後の歯根破折を生じる可能性もあります
- 自費診療(保険適用外)となります
当サイトの内容、テキスト、画像等の無断転載、複製、複写、盗用を固く禁じます。











