症例詳細
Case detail
奥歯の高さがない 歯周外科で解決
治療症例の内容
- 診療科目
- 治療カテゴリ
- 担当医
- 井上季実子(ドクタープロフィール)
- 患者様
- 40代女性
- 治療期間
- 1年
- 治療回数
- 5-10回
- 治療計画
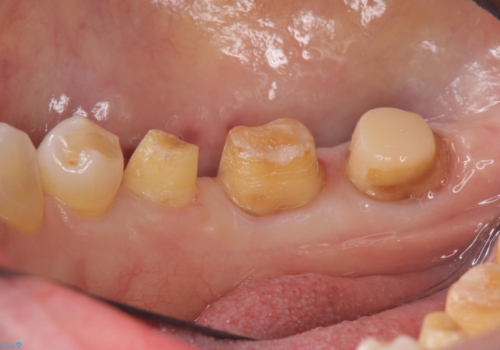
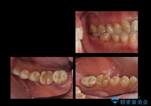
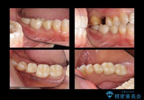
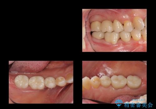
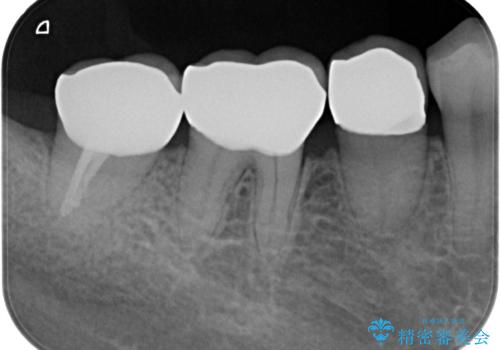
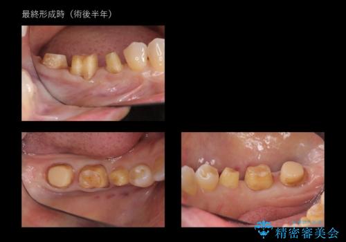
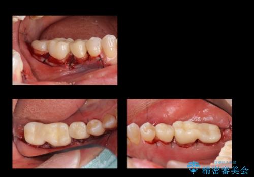
- 右下奥歯(7番)の高さがなく、かぶせ物(クラウン)にするためにあらかじめ歯周外科手術を行いました。(クラウンレングスニング)
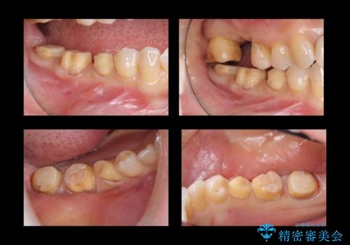
右下5番は歯ぐき付近までWSD(くさび状欠損)で削れていたため、患者様と相談してクラウンにしました。その際、削れていたのが歯肉縁下に及んでいたため、一緒に手術範囲に含めました。
特に根尖に症状がなかったため、右下7番の根管治療はやり直していません。
- 費用(概算)
- 56.1万円(右下567 ジルコニアクラウン11万円×3 歯周外科手術APF 15万円 仮歯1万円×3)費用は治療当時の料金となります
治療について
歯の高さを出すとかぶせ物(クラウン)がはずれにくくなります。
今回は右下7番が神経のない歯だったため、クラウンにして割れにくくしています。
WSD(くさび状欠損)
歯の根元に近い部分(歯頸部)がくさび形に削れてしまう症状をWSD(くさび状欠損)といいます。
固い歯ブラシで強くこするなどの誤ったブラッシングや加齢、食いしばりなどによって摩耗することが原因と考えられています。
程度にもよりますが、冷たいものが染みる知覚過敏や、歯が欠けてしまうことがあります。
セラミック治療の注意事項(リスク・副作用など)
- 天然歯を削ります
- 硬い素材は天然歯を傷つけてしまう場合があります
- かみ合わせや歯ぎしりが強すぎる方はセラミックが割れてしまう可能性があります
- 自費診療(保険適用外治療)となります
外科処置の注意事項(リスク・副作用など)
- 外科手術のため、術後に出血、痛みや腫れ、違和感を伴います
- 口腔内の状態によっては適応できないことがあります
当サイトの内容、テキスト、画像等の無断転載、複製、複写、盗用を固く禁じます。













