症例詳細
Case detail
前歯のかぶせもののやり直し、根の治療も
治療症例の内容
- 診療科目
- 治療カテゴリ
- 担当医
- 井上季実子(ドクタープロフィール)
- 患者様
- 40代女性
- 治療期間
- 3ヶ月
- 治療回数
- 2-5回
- 治療計画
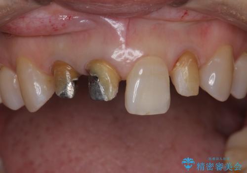
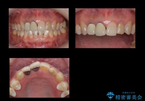
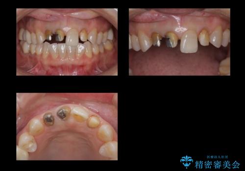
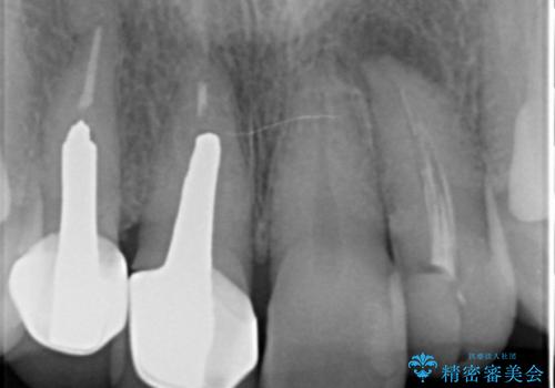
- 前歯のかぶせ物の際が黒いことを気にされて来院。
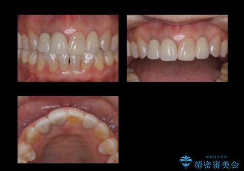
左上のかぶせ物になっていない歯は根の先に膿がたまっていたので根の治療をし、プラスチックでつぎはぎになっていたためセラミッククラウンでかぶせました。
- 費用(概算)
- 61.6万円 内訳:右上12および左上2(ジルコニアクラウン14万円×3 仮歯1万円×3) 左上2(再根管治療 9万円、ファイバーコア2万円) 費用は治療当時の料金となります
治療について
右上12の二本の根の治療は特に行っておらずクラウンのみやり替えを行いました。
セラミック治療の注意事項(リスク・副作用など)
- 天然歯を削ります
- 硬い素材は天然歯を傷つけてしまう場合があります
- かみ合わせや歯ぎしりが強すぎる方はセラミックが割れてしまう可能性があります
- 自費診療(保険適用外治療)となります
根管治療の注意事項(リスク・副作用など)
- 根管治療により類似の全ての症例の問題が解決するわけではなく、症例はあくまでも一例です
- 根管治療により痛みや腫れがひかない事や、術後に痛みや腫れが生じる事、治療によるファイル破折やパーフォレーションなどの偶発症、術後の歯根破折を生じる可能性もあります
- 自費診療(保険適用外)となります
当サイトの内容、テキスト、画像等の無断転載、複製、複写、盗用を固く禁じます。








