症例詳細
Case detail
ワイヤー矯正 抜歯本数を最小限にし、八重歯のない歯並びに
治療症例の内容
- 診療科目
- 担当医
- 本間玲奈(ドクタープロフィール)
- 患者様
- 20代女性
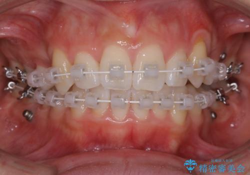
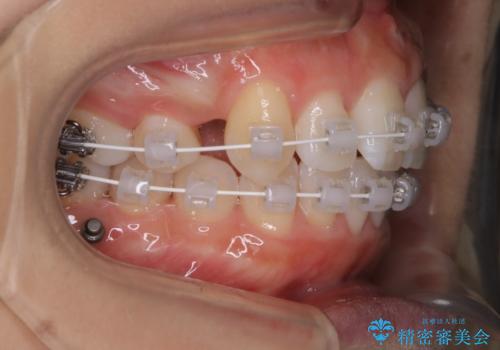
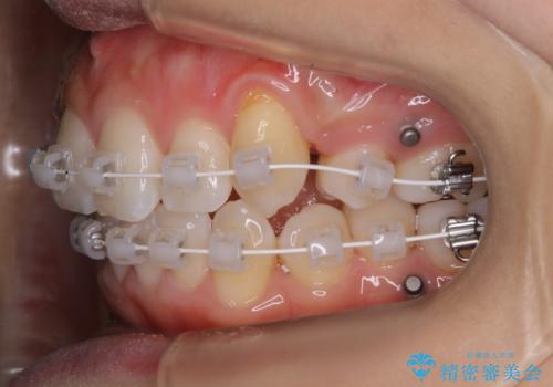
- 矯正装置
- ワイヤー矯正
- 治療期間
- 3年6ヶ月
- 治療回数
- 30回以上
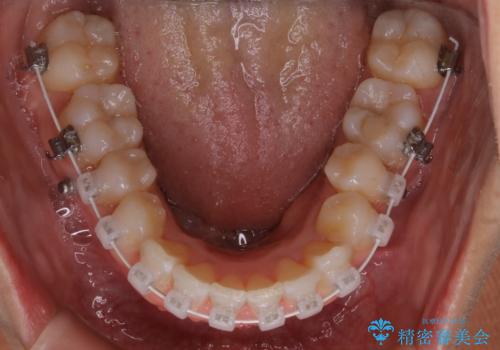
- 治療計画
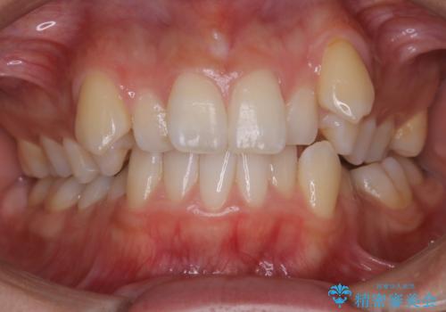
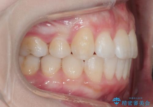
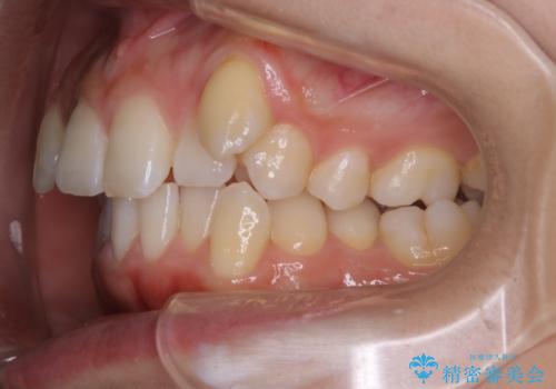
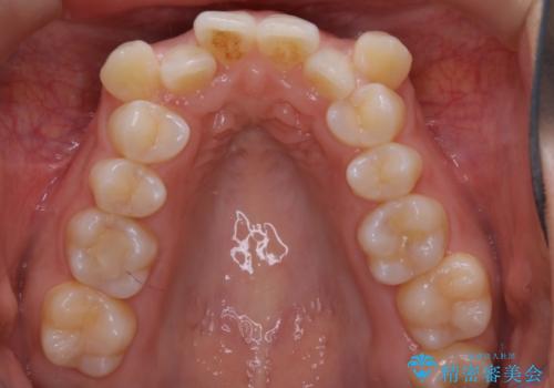
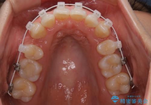
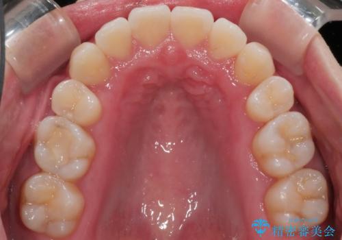
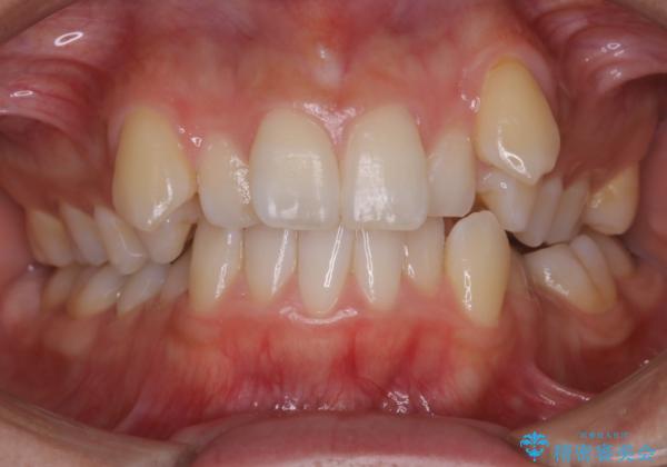
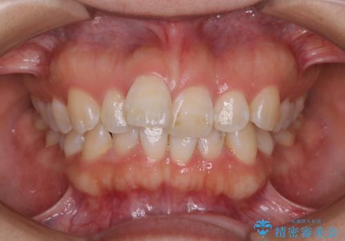
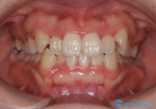
- 上顎の八重歯が気になるとのことで来院されました。
左側のかみ合わせは、歯1本分かみ合わせが前にずれていました。上顎左右の奥歯を2本抜歯しています。
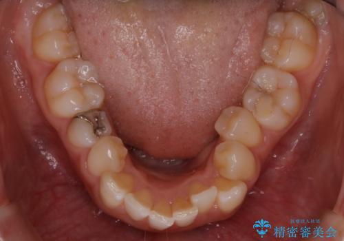
下顎は、歯の側面を少し削ることで歯並びを整えました。
上顎と下顎の奥歯の抜歯(計4本)を行う治療方法もありますが、口元のバランスのことも考え、上顎の抜歯のみで、治療を行いました。
- 費用(概算)
- 88万円費用は治療当時の料金となります
治療について
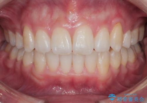
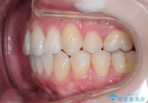
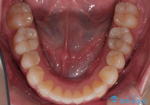
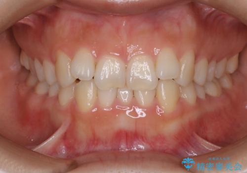
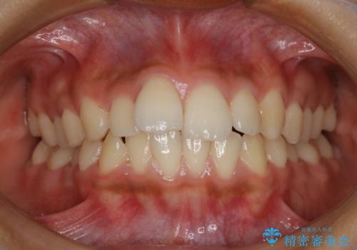
八重歯でがたつきは重度でしたが、きれいな歯並びにすることができました。
がたつきだけでなく、奥歯の噛み合わせのずれの調整もしっかり行いました。
奥歯のずれの調整は時間がかかりますが、矯正後の歯並びの安定度が向上します。
歯並びがきれいになることで、虫歯予防や歯周病予防にもつながります。
ワイヤー矯正の注意事項(リスク・副作用など)
- 治療中は違和感や痛みが起こることがあります
- 症状により、抜歯が必要な場合があります
- 治療中は歯磨きがしにくくなるため、虫歯や歯周病になりやすくなります
- 矯正治療後の保定が不十分だと後戻り(元の位置に戻ろうとする動き)をします
- 自費診療(保険適用外)となります
当サイトの内容、テキスト、画像等の無断転載、複製、複写、盗用を固く禁じます。

















