症例詳細
Case detail
ねじれた前歯を改善するマウスピース矯正
治療症例の内容
- 診療科目
- 担当医
- 大元洋佑(ドクタープロフィール)
- 患者様
- 20代女性
- 矯正装置
- インビザライン
- 治療期間
- 2年
- 治療回数
- 10-30回
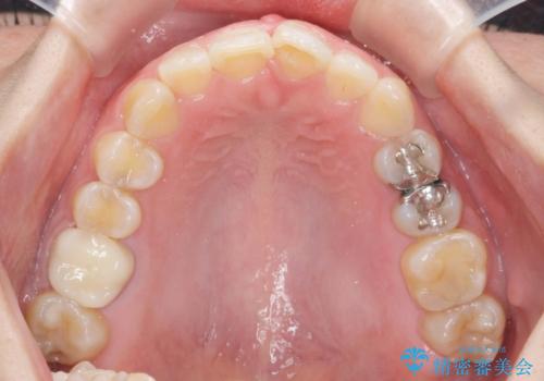
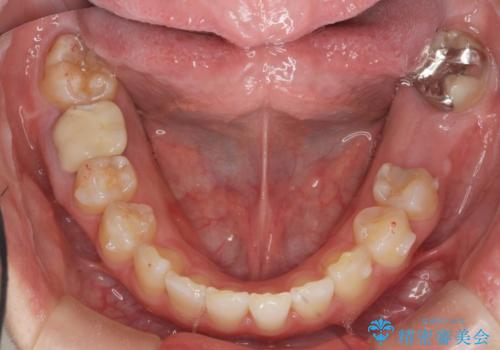
- 治療計画
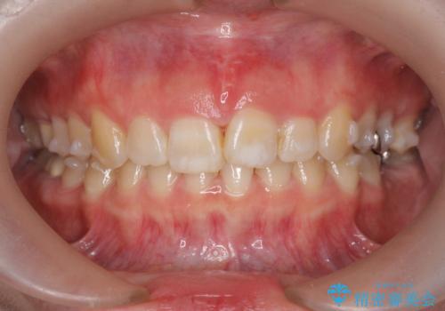
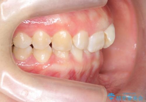
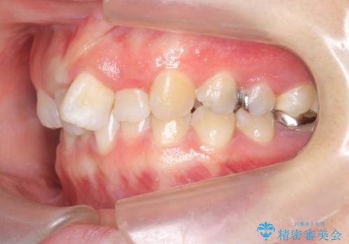
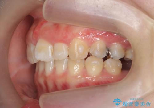
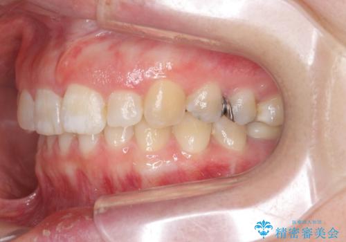
- 大きくねじれた前歯をまっすぐに並べたい。と矯正治療を希望され来院されました。
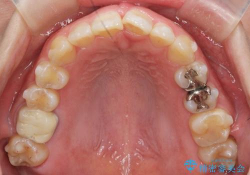
前歯をきっちり並べるには奥歯の噛み合わせの調整を行い上下の前後的関係を治し、ねじれを取るスペースを確保していきます。
- 費用(概算)
- 110万円費用は治療当時の料金となります
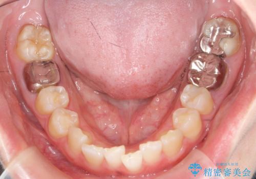
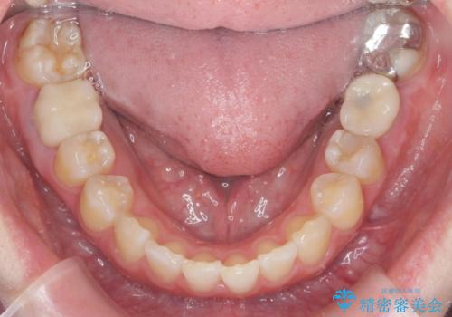
治療について
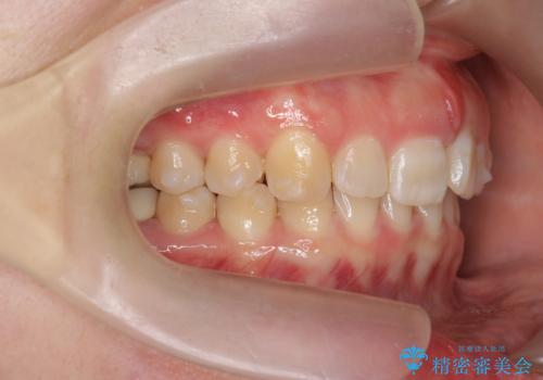
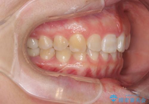
当初前歯だけ治れば良い、という心算で来院されましたが奥歯の噛み合わせも負担が大きく問題の起きやすいことをお伝えし上顎の奥歯をきっちりと後方移動行い噛み合わせの調整を行いました。・
マウスピース矯正の注意事項(リスク・副作用など)
- 口腔内・歯並びの状態によっては対応できない場合があります
- マウスピース型矯正装置の長時間装着(1日20時間以上)が必須です
- 治療計画通りに進めるためには、患者様の意志が重要になります
- 矯正治療後の保定が不十分だと後戻り(元の位置に戻ろうとする動き)をします
- 薬機法対象外の矯正歯科装置のため医薬品副作用被害救済制度の対象外となる場合があります
- 自費診療(保険適用外)となります
当サイトの内容、テキスト、画像等の無断転載、複製、複写、盗用を固く禁じます。















