症例詳細
Case detail
[歯と歯の間の虫歯] ジルコニアクラウン
治療症例の内容
- 診療科目
- 治療カテゴリ
- 担当医
- 青山卓弘(ドクタープロフィール)
- 患者様
- 20代女性
- 治療期間
- 1ヶ月
- 治療回数
- 2-5回
- 治療計画
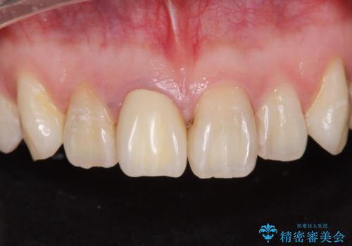
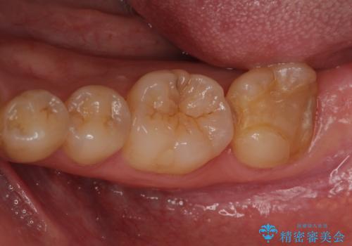
- メンテナンスの患者様です。レントゲンで歯と歯の間の虫歯が発見されたため治療を行うことになりました。
歯質全体が粗造になっており、インレー治療だと虫歯になる可能性があるので被せ物での治療となりました。
- 費用(概算)
- ジルコニアクラウン・仮歯 12.1万円費用は治療当時の料金となります
治療について
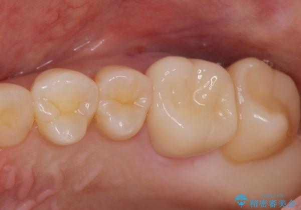
適合が良い被せ物が入りました。
毎日フロスや歯間ブラシを行うことで歯と歯の間が虫歯になるリスクが低くなります。
セラミック治療の注意事項(リスク・副作用など)
- 天然歯を削ります
- 硬い素材は天然歯を傷つけてしまう場合があります
- かみ合わせや歯ぎしりが強すぎる方はセラミックが割れてしまう可能性があります
- 自費診療(保険適用外治療)となります
その他の注意事項(リスク・副作用など)
- 担当歯科医師、歯科衛生士又は医院スタッフから受けた説明・注意事項をよくご確認ください
- 医療を提供するに当たり、適切な説明を行い、患者様の十分な理解を得るよう努めております
当サイトの内容、テキスト、画像等の無断転載、複製、複写、盗用を固く禁じます。

![[歯と歯の間の虫歯] ジルコニアクラウンの治療前](https://seimitsushinbi.jp/wp/wp-content/uploads/2024/01/IMG_9978-1-500x350.jpg?v=1704531666)
![[歯と歯の間の虫歯] ジルコニアクラウンの治療中](https://seimitsushinbi.jp/wp/wp-content/uploads/2024/01/IMG_0078-500x350.jpg?v=1704530784)
![[歯と歯の間の虫歯] ジルコニアクラウンの治療後](https://seimitsushinbi.jp/wp/wp-content/uploads/2024/01/IMG_0071-500x350.jpg?v=1704530726)
![[歯と歯の間の虫歯] ジルコニアクラウンの治療前](https://seimitsushinbi.jp/wp/wp-content/uploads/2024/01/CI20-500x350.jpg?v=1704531218)
![[歯と歯の間の虫歯] ジルコニアクラウンの治療後](https://seimitsushinbi.jp/wp/wp-content/uploads/2024/01/CI.6fe516b1ac5b11eea9b2-500x350.jpg?v=1704531230)
![[歯と歯の間の虫歯] ジルコニアクラウンの治療前](https://seimitsushinbi.jp/wp/wp-content/uploads/2024/01/IMG_9982-500x350.jpg?v=1704531689)
![[歯と歯の間の虫歯] ジルコニアクラウンの治療中](https://seimitsushinbi.jp/wp/wp-content/uploads/2024/01/IMG_0075-500x350.jpg?v=1704531248)
![[歯と歯の間の虫歯] ジルコニアクラウンの治療後](https://seimitsushinbi.jp/wp/wp-content/uploads/2024/01/IMG_0073-500x350.jpg?v=1704531260)
![[歯と歯の間の虫歯] ジルコニアクラウンの治療前](https://seimitsushinbi.jp/wp/wp-content/uploads/2024/01/IMG_9983-1-500x350.jpg?v=1704531711)
![[歯と歯の間の虫歯] ジルコニアクラウンの治療中](https://seimitsushinbi.jp/wp/wp-content/uploads/2024/01/IMG_0077-500x350.jpg?v=1704531270)
![[歯と歯の間の虫歯] ジルコニアクラウンの治療後](https://seimitsushinbi.jp/wp/wp-content/uploads/2024/01/IMG_0074-500x350.jpg?v=1704531283)
![[歯と歯の間の虫歯] ジルコニアクラウンの治療前](https://seimitsushinbi.jp/wp/wp-content/uploads/2024/01/IMG_9979-2-500x350.jpg?v=1704531725)
![[歯と歯の間の虫歯] ジルコニアクラウンの治療後](https://seimitsushinbi.jp/wp/wp-content/uploads/2024/01/IMG_0072-500x350.jpg?v=1704531299)