症例詳細
Case detail
気になる下顎歯列のみをインビザラインで部分矯正
治療症例の内容
- 診療科目
- 治療カテゴリ
- 担当医
- 藤巻太一朗(ドクタープロフィール)
- 患者様
- 40代女性
- 矯正装置
- インビザライン・モデレート
- 治療期間
- 8ヶ月
- 治療回数
- 5-10回
- 治療計画
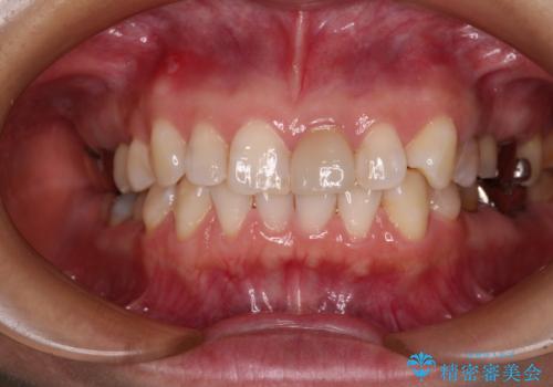
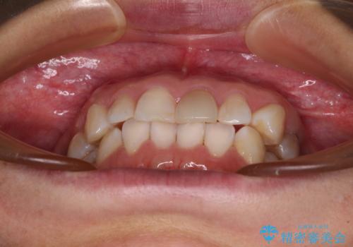
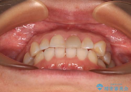
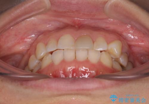
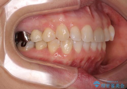
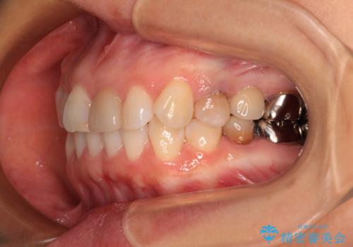
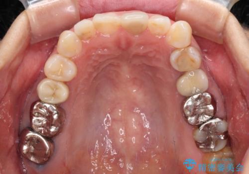
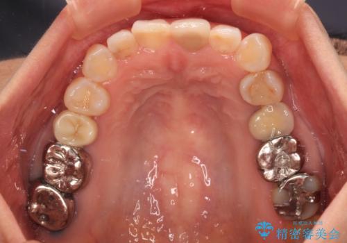
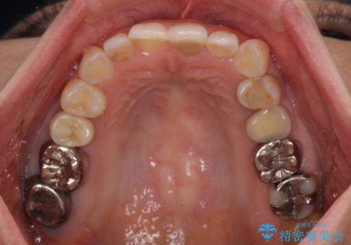
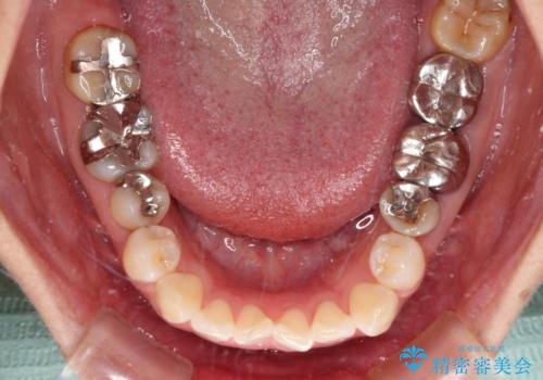
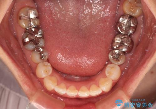
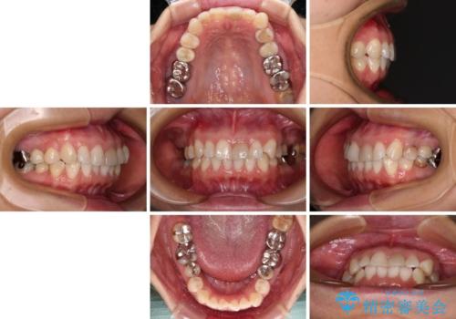
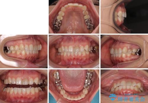
- 上下前歯のデコボコを気にして来院された患者様です。
 カウンセリングにて詳しく話を聞いたところ、一番気になっているのは下顎前歯の叢生であり、上顎犬歯はあまり気になっていないとのことでした。
 矯正治療は、歯の後戻りを抑制するために、治療終了後も保定装置をしっかりと使用していただくことが必須であるため、気になっている下顎だけを整えることで、その負担を半減できると考え、下顎のみの部分矯正として治療を行うこととしました。
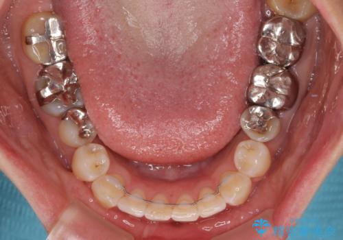
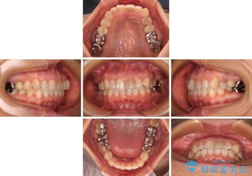
 装置としては、叢生の程度が強くなかったため、インビザラインの廉価版であるモデレート・パッケージを使用することとしました。
- 費用(概算)
- 治療費の目安: 45万円(税込)費用は治療当時の料金となります
治療について
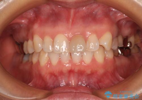
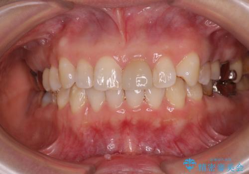
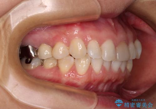
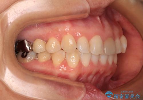
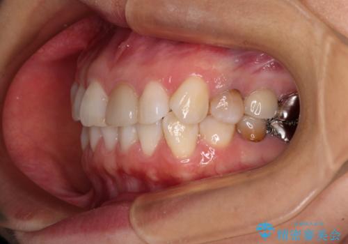
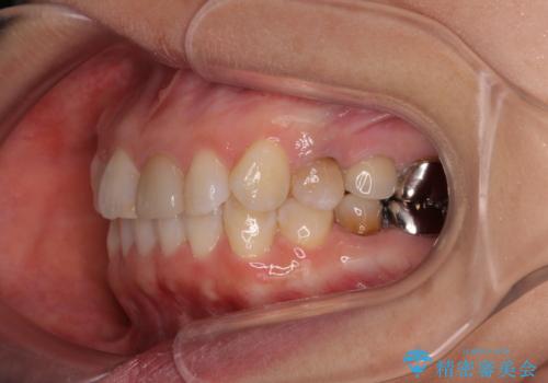
当院では治療前の歯列が整っていない限り、下顎前歯の舌側をワイヤーで固定するようにしています。下顎のみの部分矯正としたことで、マウスピース保定の負担を軽減することができました。
上顎は、失活して歯の色が変色しているため、将来的に補綴治療で自然な口元に仕上げていきたいとのことでした。
マウスピース矯正の注意事項(リスク・副作用など)
- 口腔内・歯並びの状態によっては対応できない場合があります
- マウスピース型矯正装置の長時間装着(1日20時間以上)が必須です
- 治療計画通りに進めるためには、患者様の意志が重要になります
- 矯正治療後の保定が不十分だと後戻り(元の位置に戻ろうとする動き)をします
- 薬機法対象外の矯正歯科装置のため医薬品副作用被害救済制度の対象外となる場合があります
- 自費診療(保険適用外)となります
当サイトの内容、テキスト、画像等の無断転載、複製、複写、盗用を固く禁じます。








 
                       
                                                          






















 
                   
                   
                  