症例詳細
Case detail
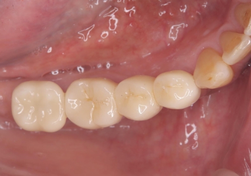
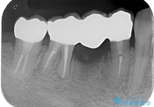
被せ物がとれた オールセラミックによるブリッジ治療
治療症例の内容
- 診療科目
- 治療カテゴリ
- 担当医
- 六郷亮太(ドクタープロフィール)
- 患者様
- 60代女性
- 治療期間
- 2ヶ月
- 治療回数
- 2-5回
- 治療計画
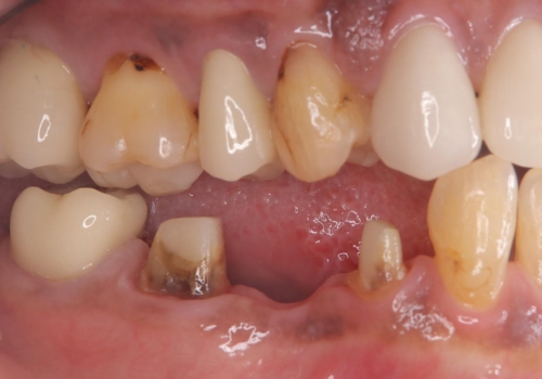
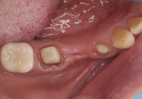
- 被せ物がとれたため来院し、新しくコアを立てられないため抜歯をしブリッジにて治療することになった。
- 費用(概算)
- 363,000円費用は治療当時の料金となります
被せ物がとれた オールセラミックによるブリッジ治療
コアごと脱離して来院し、フェルールの獲得が厳しいためコアが立てられないので抜歯することになりました。
インプラントとブリッジの治療を提案し早く噛めるようにしてほしいという要望があったためブリッジにて治療をすることになりました。
セラミック治療の注意事項(リスク・副作用など)
- 天然歯を削ります
- 硬い素材は天然歯を傷つけてしまう場合があります
- かみ合わせや歯ぎしりが強すぎる方はセラミックが割れてしまう可能性があります
- 自費診療(保険適用外治療)となります
当サイトの内容、テキスト、画像等の無断転載、複製、複写、盗用を固く禁じます。











