症例詳細
Case detail
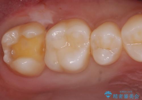
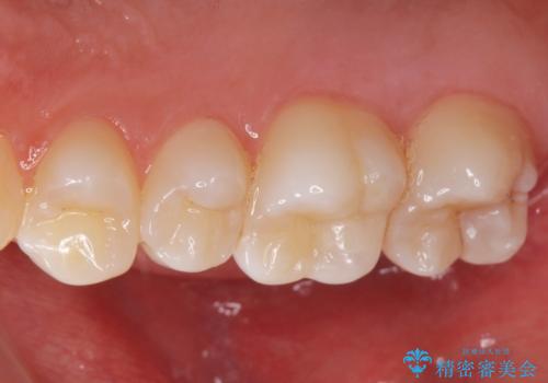
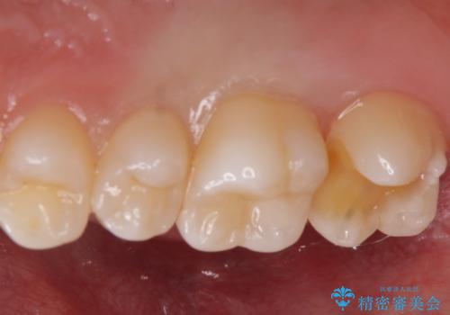
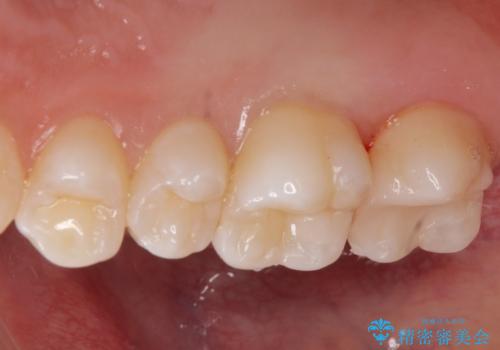
歯と歯の間の虫歯 e-maxインレーで修復
治療症例の内容
- 診療科目
- 治療カテゴリ
- 担当医
- 青山卓弘(ドクタープロフィール)
- 患者様
- 20代男性
- 治療期間
- 1ヶ月
- 治療回数
- 2-5回
- 治療計画
- 歯と歯の間に虫歯が見られたために、拡大鏡下でう蝕を取り除き、e-maxインレーで治療しました。
- 費用(概算)
- e-maxインレー 7.7万円 費用は治療当時の料金となります
治療について
セラミックの素材は樹脂の素材に比べて虫歯の再発のリスクが低いです。
セラミック治療の注意事項(リスク・副作用など)
- 天然歯を削ります
- 硬い素材は天然歯を傷つけてしまう場合があります
- かみ合わせや歯ぎしりが強すぎる方はセラミックが割れてしまう可能性があります
- 自費診療(保険適用外治療)となります
PGA(ゴールド)クラウン、インレーの注意事項(リスク・副作用など)
- インレーおよびクラウンは脱離するリスクがあります
- 形成量はセラミックより少ないですが、歯の形成、修復後に歯に症状が出ることがあります
- 自費診療(保険適用外治療)となります
当サイトの内容、テキスト、画像等の無断転載、複製、複写、盗用を固く禁じます。








