症例詳細
Case detail
50代女性 部分矯正で 前歯の見た目改善 気になるところだけ
治療症例の内容
- 診療科目
- 担当医
- 井上季実子(ドクタープロフィール)
- 患者様
- 50代女性
- 矯正装置
- ワイヤー矯正
- 治療期間
- 8ヶ月
- 治療回数
- 10-30回
- 治療計画
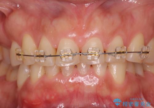
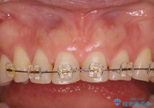
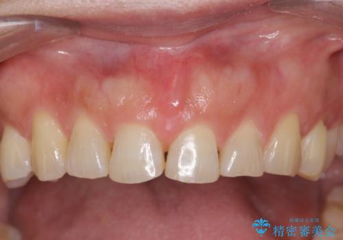
- 前歯の隙間を気にして来院。
ずっと今までこれだったのでそこまで気にしてないのですがと初めはおっしゃっていました。
部分矯正により隙間が閉じてきて大変よろこんでいただきました。
- 費用(概算)
- 40万円費用は治療当時の料金となります
治療について
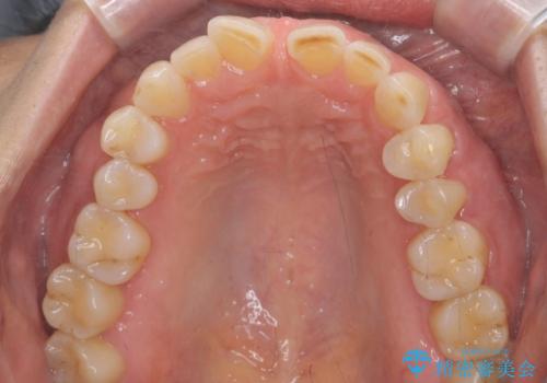
かみしめが強く歯は削れて短い状態。前歯は噛みこんでいる状態からのスタートで上のみ大きな隙間がある状態でした。
隙間を目立たないように歯を横にすることは簡単ですが、閉じ切るというのが部分矯正では大変難しい状態でした。
なかなか難しかったですが工夫をして治療しました。
ワイヤー矯正の注意事項(リスク・副作用など)
- 治療中は違和感や痛みが起こることがあります
- 症状により、抜歯が必要な場合があります
- 治療中は歯磨きがしにくくなるため、虫歯や歯周病になりやすくなります
- 矯正治療後の保定が不十分だと後戻り(元の位置に戻ろうとする動き)をします
- 自費診療(保険適用外)となります
当サイトの内容、テキスト、画像等の無断転載、複製、複写、盗用を固く禁じます。










