症例詳細
Case detail
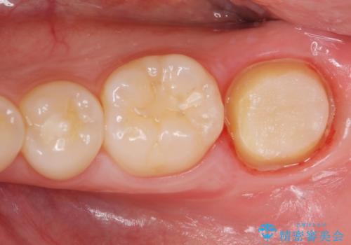
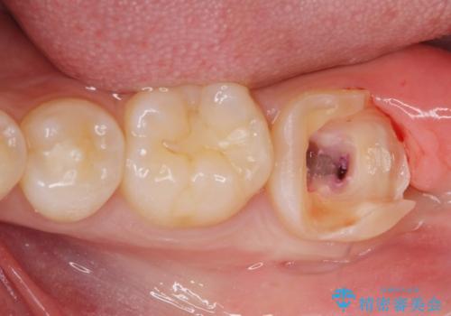
他院での治療に不信感 虫歯除去後のジルコニアクラウン
治療症例の内容
- 担当医
- 青山卓弘(ドクタープロフィール)
- 患者様
- 20代男性
- 治療期間
- 1ヶ月
- 治療回数
- 2-5回
- 治療計画
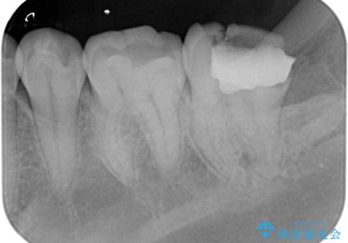
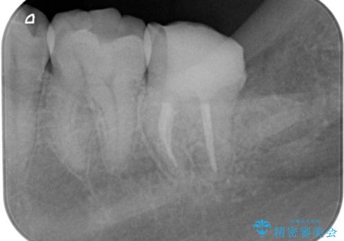
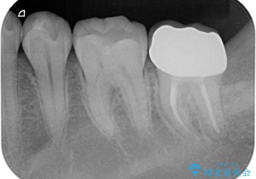
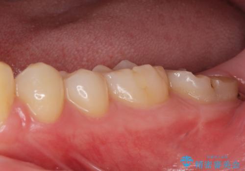
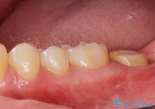
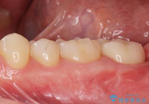
- 歯が痛くなり、他院で治療してもらったところ不信感があり、当院に受診に来られました。
神経をとる処置をされた形跡がありましたがまだ虫歯が残っていたので全て取り除き、壁を立てて根管治療ができる状態にして、根管治療・ジルコニアクラウンで治療を行いました。
- 費用(概算)
- ジルコニアクラウン・仮歯 12.1万円 根管治療(イニシャル)・ファイバーコア 13.2万円費用は治療当時の料金となります
治療について
虫歯除去、根管治療は拡大鏡やマイクロスコープを用いて治療を行っています。
セラミック治療の注意事項(リスク・副作用など)
- 天然歯を削ります
- 硬い素材は天然歯を傷つけてしまう場合があります
- かみ合わせや歯ぎしりが強すぎる方はセラミックが割れてしまう可能性があります
- 自費診療(保険適用外治療)となります
根管治療の注意事項(リスク・副作用など)
- 根管治療により類似の全ての症例の問題が解決するわけではなく、症例はあくまでも一例です
- 根管治療により痛みや腫れがひかない事や、術後に痛みや腫れが生じる事、治療によるファイル破折やパーフォレーションなどの偶発症、術後の歯根破折を生じる可能性もあります
- 自費診療(保険適用外)となります
当サイトの内容、テキスト、画像等の無断転載、複製、複写、盗用を固く禁じます。










