症例詳細
Case detail
海外転居前にむし歯を治療したい 精密なむし歯治療
治療症例の内容
- 診療科目
- 治療カテゴリ
- 担当医
- 藤巻太一朗(ドクタープロフィール)
- 患者様
- 20代女性
- 治療期間
- 1ヶ月
- 治療回数
- 2-5回
- 治療計画
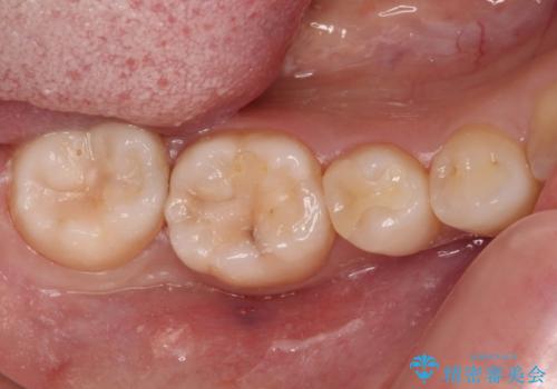
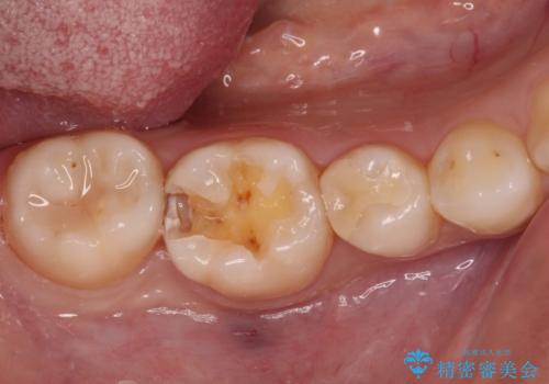
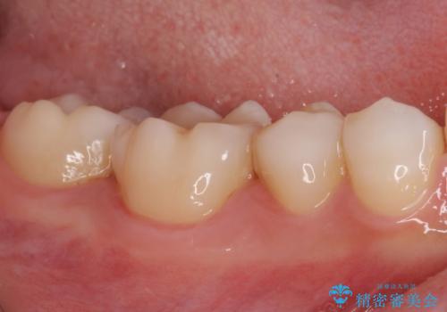
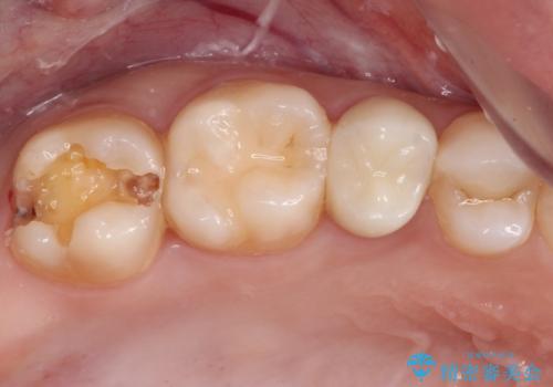
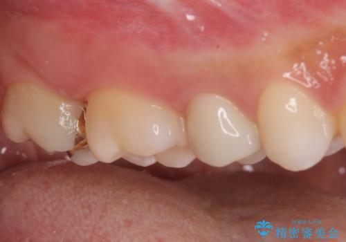
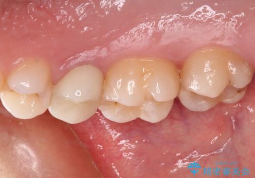
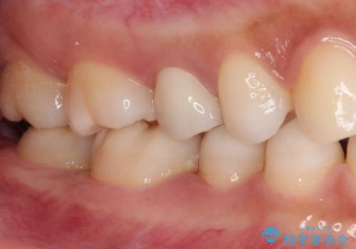
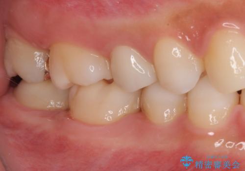
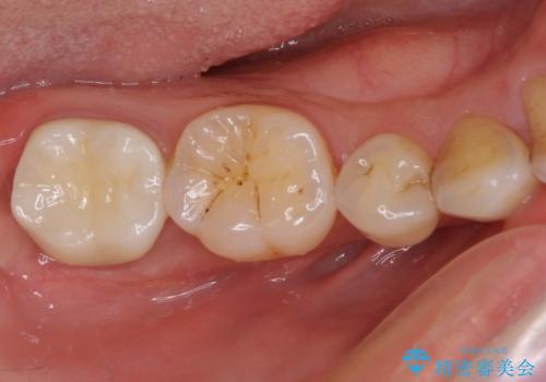
- 近々海外へ転居するとのことで、事前に処置をしておくべきむし歯がないか、気にして来院された患者様です。
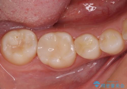
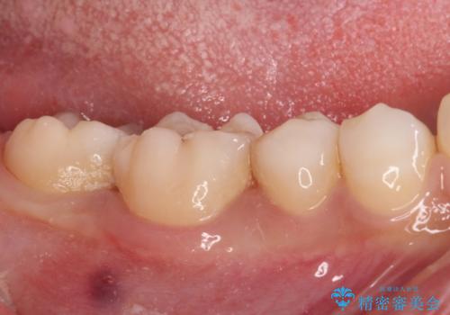
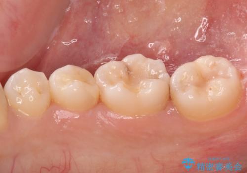
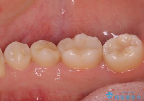
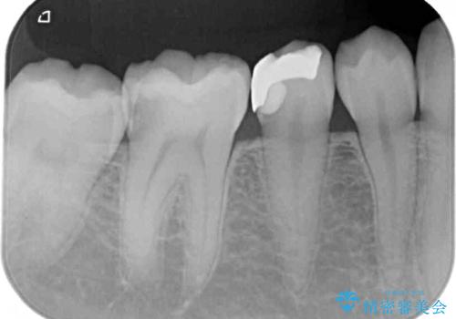
レントゲン写真などから、速やかに処置を行うべき歯が2歯あったため、それぞれセラミックインレーとPGAインレー(ゴールドインレー)にて修復治療を行うこととしました。
- 費用(概算)
- 治療費の目安: 16万円(税込)費用は治療当時の料金となります
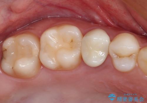
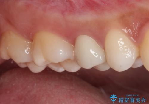
治療について
どちらの歯も痛みなどの症状はなく、治療後も異常所見なく経過をたどっています。
上顎大臼歯は向かい合った人から見えることはほとんどないため、切削量が少なく、適合の良いゴールドインレーが大変おすすめとなります。
セラミック治療の注意事項(リスク・副作用など)
- 天然歯を削ります
- 硬い素材は天然歯を傷つけてしまう場合があります
- かみ合わせや歯ぎしりが強すぎる方はセラミックが割れてしまう可能性があります
- 自費診療(保険適用外治療)となります
PGA(ゴールド)クラウン、インレーの注意事項(リスク・副作用など)
- インレーおよびクラウンは脱離するリスクがあります
- 形成量はセラミックより少ないですが、歯の形成、修復後に歯に症状が出ることがあります
- 自費診療(保険適用外治療)となります
当サイトの内容、テキスト、画像等の無断転載、複製、複写、盗用を固く禁じます。




















