症例詳細
Case detail
詰め物が突然とれた
治療症例の内容
- 診療科目
- 治療カテゴリ
- 担当医
- 河野裕二(ドクタープロフィール)
- 患者様
- 30代女性
- 治療期間
- 1ヶ月
- 治療回数
- 2-5回
- 治療計画
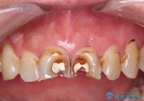
- 白い詰め物が急に外れたとの事で来院された患者様です。前歯にデンタルフロスも出来ず気になっていたとの事でした。
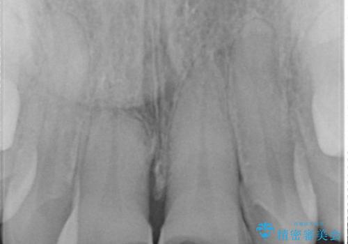
神経の検査をした所、問題ないので神経を残して被せ物の処置を行いました。
- 費用(概算)
- 30万円(税込)費用は治療当時の料金となります
治療について
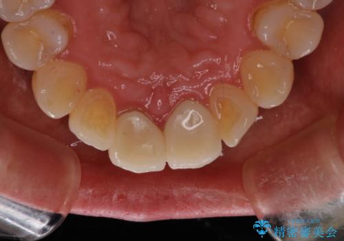
被せ物の治療と歯肉のお掃除にも通っていただいたので、短期間で全体的に綺麗になったと喜んでいました。
セラミック治療の注意事項(リスク・副作用など)
- 天然歯を削ります
- 硬い素材は天然歯を傷つけてしまう場合があります
- かみ合わせや歯ぎしりが強すぎる方はセラミックが割れてしまう可能性があります
- 自費診療(保険適用外治療)となります
当サイトの内容、テキスト、画像等の無断転載、複製、複写、盗用を固く禁じます。







