症例詳細
Case detail
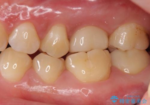
不適合な被せ物 ジルコニアクラウンでの再治療
治療症例の内容
- 担当医
 - 岡田康成(ドクタープロフィール)
 
- 患者様
 - 20代女性
 
- 治療期間
 - 2ヶ月
 
- 治療回数
 - 5-10回
 
- 治療計画
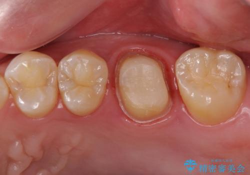
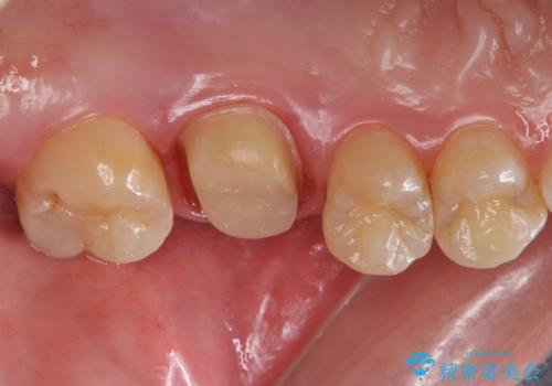
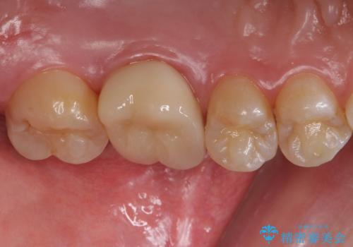
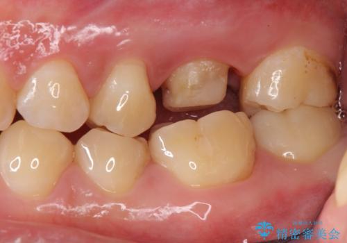
 - 検査の結果被せ物の不適合が見つかった患者様です。
ご妊娠中で安定期に治療を終わらせたいとのご希望があったため、大掛かりな外科処置は避けた治療方針で進めていきます。
被せ物を除去し、根管治療を進めた後に新しい被せ物を装着していきます。 
- 費用(概算)
 - 左上6:仮歯+ジルコニアクラウン/11,000円+121,000円 , 再根管治療(リトリートメント)+土台(ファイバーコア)/143,000円+22,000円費用は治療当時の料金となります
 
治療について
本来は歯茎をしっかりと下げる外科処置が適応となるケースでしたが、ご希望がなかったため最小限の侵襲に抑えて治療を行いました。
根の中を洗浄し、結果的に適合の良い被せ物をセットすることができました。
セラミック治療の注意事項(リスク・副作用など)
- 天然歯を削ります
 - 硬い素材は天然歯を傷つけてしまう場合があります
 - かみ合わせや歯ぎしりが強すぎる方はセラミックが割れてしまう可能性があります
 - 自費診療(保険適用外治療)となります
 
根管治療の注意事項(リスク・副作用など)
- 根管治療により類似の全ての症例の問題が解決するわけではなく、症例はあくまでも一例です
 - 根管治療により痛みや腫れがひかない事や、術後に痛みや腫れが生じる事、治療によるファイル破折やパーフォレーションなどの偶発症、術後の歯根破折を生じる可能性もあります
 - 自費診療(保険適用外)となります
 
当サイトの内容、テキスト、画像等の無断転載、複製、複写、盗用を固く禁じます。

                      
                                                          















