症例詳細
Case detail
歯の高さがない 被せ物のやりなおし
治療症例の内容
- 患者様
 - 30代女性
 
- 治療期間
 - 8ヶ月
 
- 治療回数
 - 5-10回
 
- 治療計画
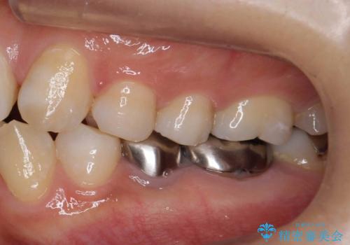
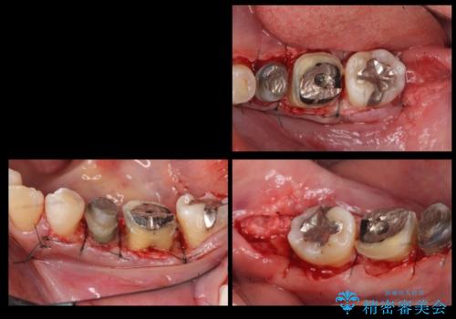
 - 左下の銀歯二本のやりかえを希望。(左下5および左下6)
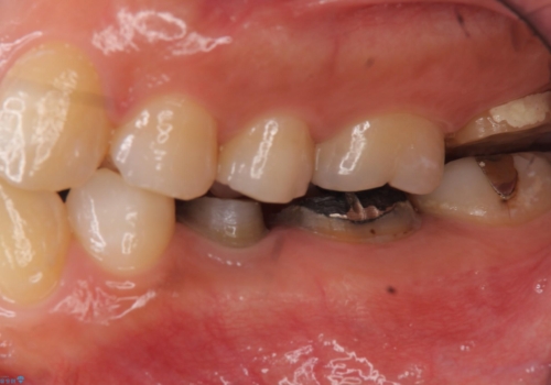
高さがないため、歯肉と歯槽骨の手術(歯周外科手術)APFを行ってから、最終的な被せ物にしました。
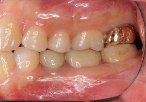
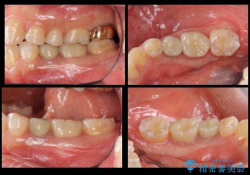
手術後は半年仮歯で過ごしていただいた後、歯肉の高さが決まってからセラミッククラウンを装着していきます。
全体矯正治療については以下のリンクをご覧ください。
https://seimitsushinbi.jp/case/115827/
 
- 費用(概算)
 - 44万円 左下5:仮歯、セラミッククラウン 左下6:精密根管治療(再治療)ファイバーコア、仮歯、セラミッククラウン費用は治療当時の料金となります
 
治療について
高さがない場合は、被せ物が外れやすくなります。高さを出すには向かいの歯を低くするか、まわりの歯茎を下げるか、になります。
今回は歯周外科処置を行い、歯の周りの歯肉の高さをさげるようにしました。
骨からしっかり処置をしないと、歯肉は容易に増殖します。
このような処置は保険適用ではなく自費治療となります。
外科処置の注意事項(リスク・副作用など)
- 外科手術のため、術後に出血、痛みや腫れ、違和感を伴います
 - 口腔内の状態によっては適応できないことがあります
 
セラミック治療の注意事項(リスク・副作用など)
- 天然歯を削ります
 - 硬い素材は天然歯を傷つけてしまう場合があります
 - かみ合わせや歯ぎしりが強すぎる方はセラミックが割れてしまう可能性があります
 - 自費診療(保険適用外治療)となります
 
当サイトの内容、テキスト、画像等の無断転載、複製、複写、盗用を固く禁じます。

                      
                                                          













