症例詳細
Case detail
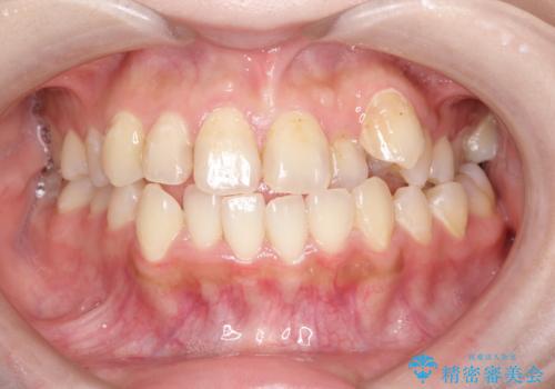
20代女性 非抜歯をオーソドックスなワイヤー矯正で
治療症例の内容
- 診療科目
- 治療カテゴリ
- 担当医
- 患者様
- 20代女性
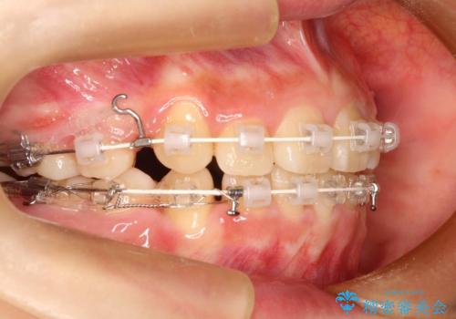
- 矯正装置
- 審美装置
- 治療期間
- 10ヶ月
- 治療回数
- 10-30回
- 治療計画
- 非抜歯or 抜歯にて悩まれましたが、非抜歯にて早めに終了することで合意
→ワイヤーにて治療をすすめることとなった
- 費用(概算)
- 約80万円費用は治療当時の料金となります
口元と矯正
矯正をすれば口元もきれいになる という都市伝説のようなものがありますが、実際には大きな誤解だといえます。
口元は前歯による裏打ち以上に、口元を構成する筋肉・脂肪組織などによる影響を強く受けます。抜歯矯正ですらダイナミックな口元の変化が得られないこともあるのです。
口元と非抜歯矯正
したがって、非抜歯矯正では特殊な例を除いて「ほぼ口元は変わらない」事をよくご理解していただく必要があります。
加齢変化により口元の脂肪組織が減少することや、民族的素質としての顔面骨の形態的特性を無視しないという意味においても、無暗に抜歯をして前歯を下げることが得策ではないのは自明の事実といえます。
ワイヤー矯正の注意事項(リスク・副作用など)
- 治療中は違和感や痛みが起こることがあります
- 症状により、抜歯が必要な場合があります
- 治療中は歯磨きがしにくくなるため、虫歯や歯周病になりやすくなります
- 矯正治療後の保定が不十分だと後戻り(元の位置に戻ろうとする動き)をします
- 自費診療(保険適用外)となります
当サイトの内容、テキスト、画像等の無断転載、複製、複写、盗用を固く禁じます。





















