症例詳細
Case detail
八重歯の抜歯矯正 補助装置とワイヤーを併用したインビザライン矯正治療
治療症例の内容
- 診療科目
- 治療カテゴリ
- 担当医
- 藤巻太一朗(ドクタープロフィール)
- 患者様
- 20代女性
- 矯正装置
- インビザライン・審美装置
- 治療期間
- 2年10ヶ月
- 治療回数
- 10-30回
- 治療計画
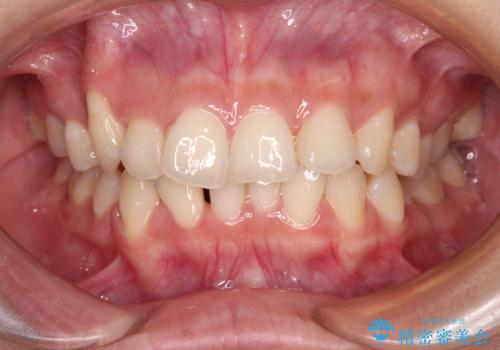
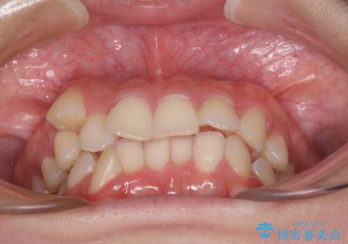
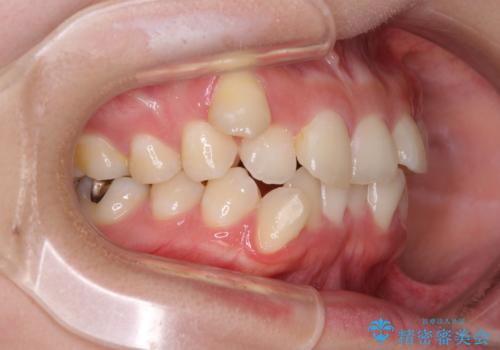
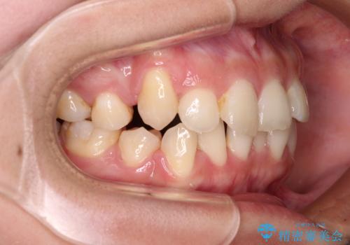
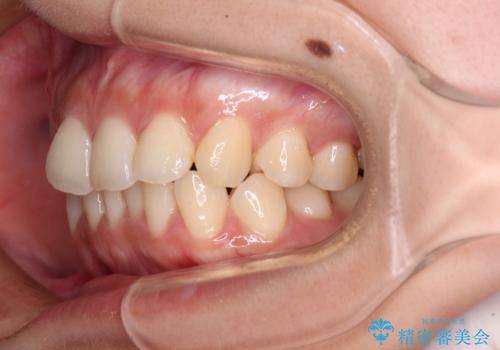
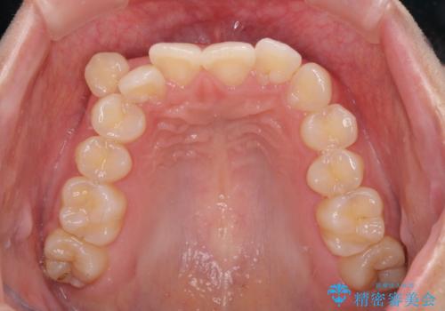
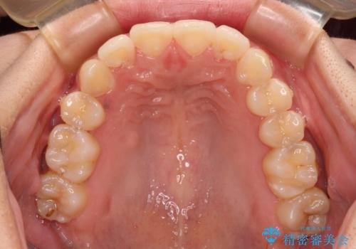
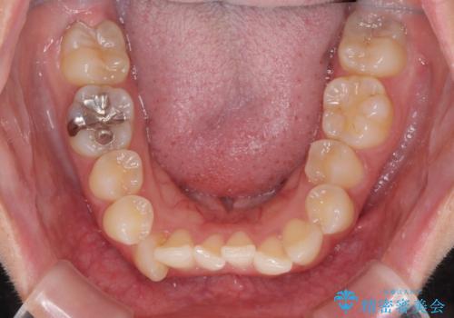
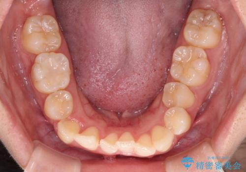
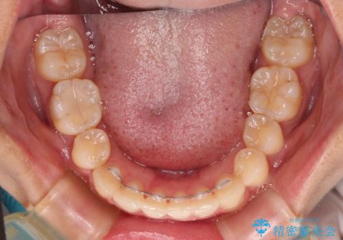
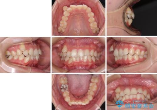
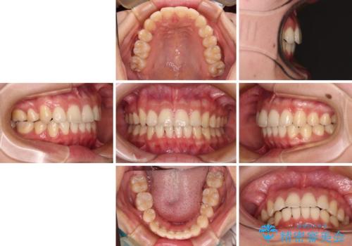
- 八重歯と上顎正中のズレを気にして来院された患者様です。
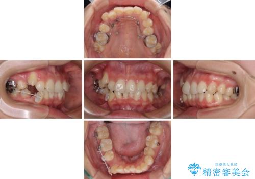
インビザラインによる矯正治療を希望されたため、八重歯改善のための抜歯矯正部分や上顎正中の大幅に位置移動は、補助装置やワイヤー矯正を併用し、その後はインビザラインにて行うこととしました。
ワイヤー矯正単体の方が期間や仕上がりは優位であるとご説明しましたが、インビザラインでの治療を希望されたため、補助装置併用の矯正治療を行うこととしました。
- 費用(概算)
- 治療費の目安: 100万円(税込)費用は治療当時の料金となります
治療について
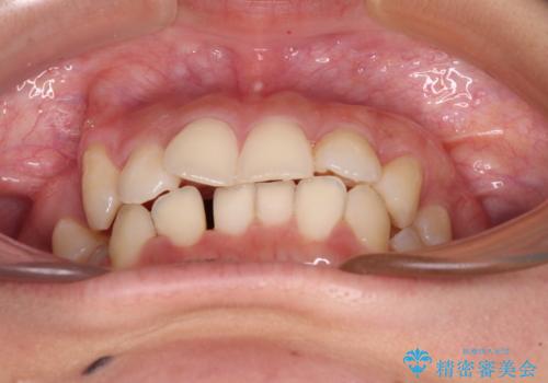
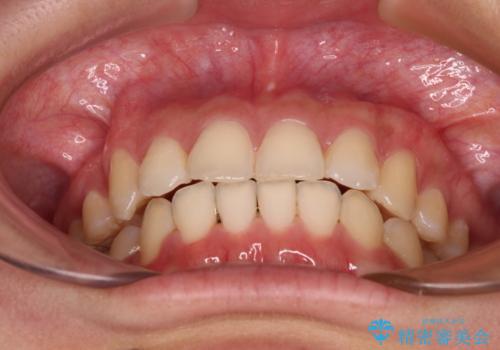
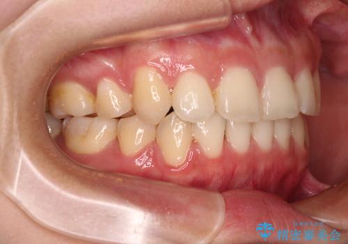
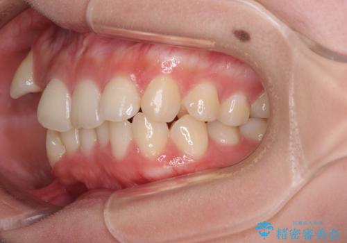
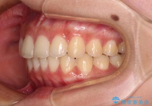
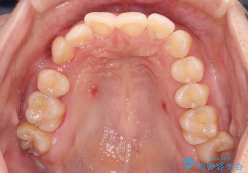
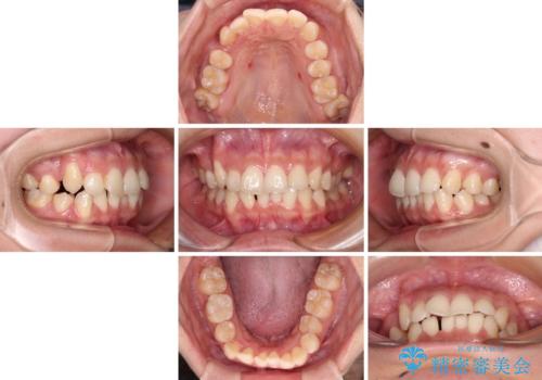
骨格的に下顎が左側に変位していたため、上下正中を合わせることは困難であることは分かっていましたが、可能な限り合わせることができました。
骨格的なズレがあると仕上げの段階で奥歯の咬み合わせが不安定となるため、予定よりやや長期間となりました。
マウスピース矯正の注意事項(リスク・副作用など)
- 口腔内・歯並びの状態によっては対応できない場合があります
- マウスピース型矯正装置の長時間装着(1日20時間以上)が必須です
- 治療計画通りに進めるためには、患者様の意志が重要になります
- 矯正治療後の保定が不十分だと後戻り(元の位置に戻ろうとする動き)をします
- 薬機法対象外の矯正歯科装置のため医薬品副作用被害救済制度の対象外となる場合があります
- 自費診療(保険適用外)となります
当サイトの内容、テキスト、画像等の無断転載、複製、複写、盗用を固く禁じます。




























