症例詳細
Case detail
前に出ている前歯を引っ込めたい インビザライン矯正
治療症例の内容
- 診療科目
 
- 治療カテゴリ
 
- 担当医
 - 藤巻太一朗(ドクタープロフィール)
 
- 患者様
 - 30代女性
 
- 矯正装置
 - インビザライン
 
- 治療期間
 - 3年8ヶ月
 
- 治療回数
 - 10-30回
 
- 治療計画
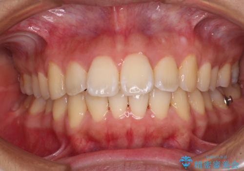
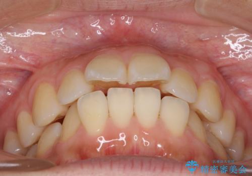
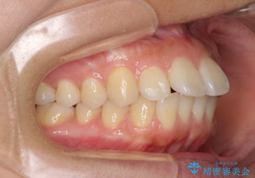
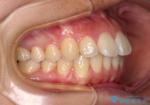
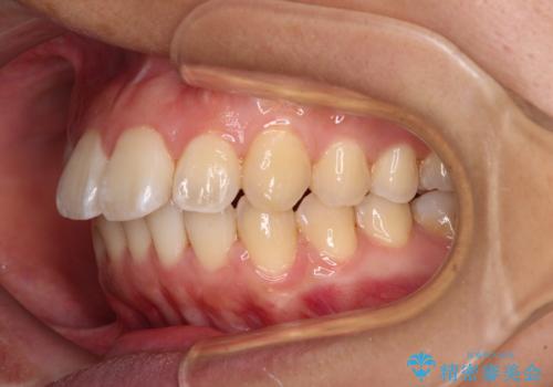
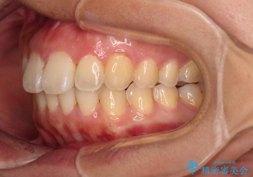
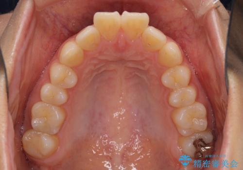
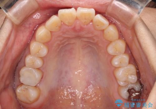
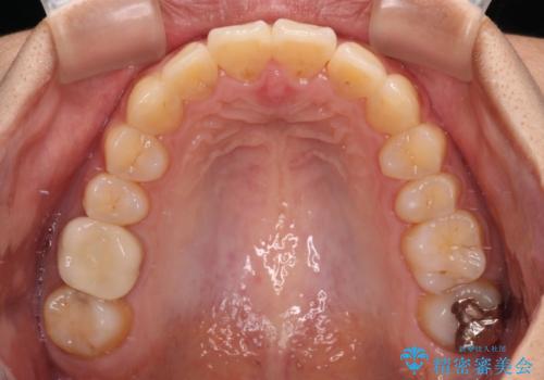
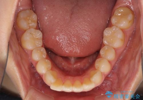
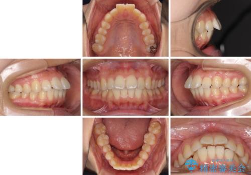
 - 前方に傾斜した上下の前歯を気にして来院された患者様です。
唇の閉じにくさや横顔のシルエットが気になるような突出感ではなかったため、インビザラインを用いて、歯列の遠心移動とIPR(歯と歯の間を削る)により前歯の傾斜を改善していくこととしました。 
- 費用(概算)
 - 治療費の目安: 90万円(税込)費用は治療当時の料金となります
 
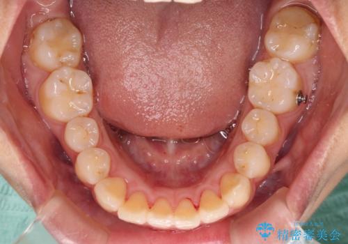
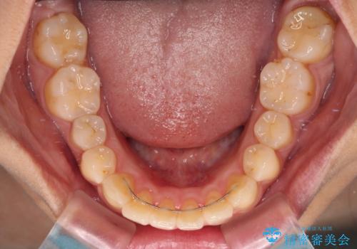
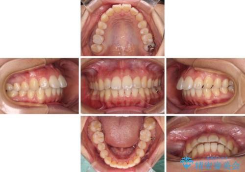
治療について
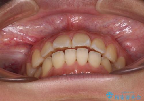
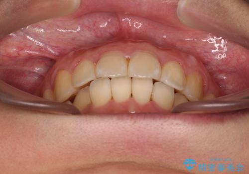
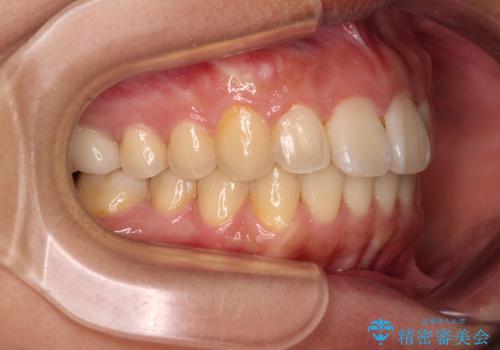
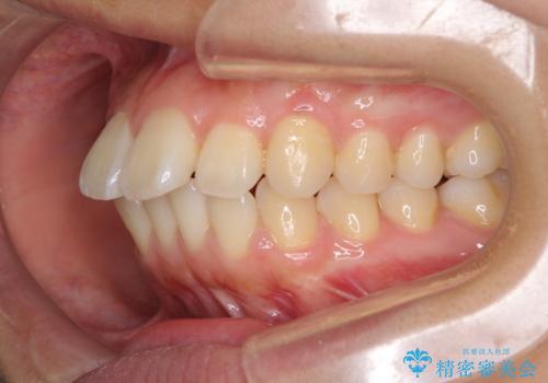
スムーズに終了すると思われましたが、インビザライン矯正独特の奥歯が咬み合わない状態が続き、更には遠方へ転居されたこともあり、治療期間は長引いてしまいました。
マウスピース矯正の注意事項(リスク・副作用など)
- 口腔内・歯並びの状態によっては対応できない場合があります
 - マウスピース型矯正装置の長時間装着(1日20時間以上)が必須です
 - 治療計画通りに進めるためには、患者様の意志が重要になります
 - 矯正治療後の保定が不十分だと後戻り(元の位置に戻ろうとする動き)をします
 - 薬機法対象外の矯正歯科装置のため医薬品副作用被害救済制度の対象外となる場合があります
 - 自費診療(保険適用外)となります
 
当サイトの内容、テキスト、画像等の無断転載、複製、複写、盗用を固く禁じます。

                      
                                                          

























